IV edycja Kongresu HPV już 12-13 czerwca! Poznaj najnowsze trendy w profilaktyce, diagnostyce i leczeniu raka szyjki macicy i innych schorzeń związanych z HPV | Sprawdź >
Opis przypadku
Radiochirurgia CyberKnife zmian ogniskowych w wątrobie u 77-letniego chorego na nieresekcyjnego raka wątrobowokomórkowego
dr n. med. Katarzyna Pędziwiatr, lek. Dobromira Tyc-Szczepaniak, lek. Magdalena Hevelke, dr n. med. Piotr Hevelke, lek. Edward Skrocki, dr n. med. Norbert Piotrkowicz, mgr Anna Rygielska, mgr Anna Semaniak, mgr Marek Rygielski, dr hab. n. med. Mariusz Frączek, prof. dr hab. n. med. Waldemar Koszewski
Obiecującą i nieinwazyjną metodą leczenia miejscowego jest radioterapia stereotaktyczna, będąca przedmiotem niniejszego opracowania.
Chory w wieku 77 lat został przyjęty na Oddział Chorób Wewnętrznych i Hepatologii w celu diagnostyki zmian ogniskowych w wątrobie stwierdzonych w kontrolnym badaniu ultrasonograficznym jamy brzusznej wykonanym z powodu monitorowania przebiegu marskości wątroby. Był w dobrym stanie ogólnym, nie zgłaszał dolegliwości, nie stwierdzono u niego istotnych odchyleń w badaniu przedmiotowym. Schorzenia współistniejące to alkoholowa marskość wątroby, nadciśnienie tętnicze i dna moczanowa.
W badaniach laboratoryjnych zwracało uwagę znaczne zwiększenie stężenia α-fetoproteiny (AFP) do 1064 ng/ml (wartości prawidłowe 0-5,8) oraz nieznaczne zwiększenie aktywności aminotransferaz: alaninowej (AlAT) do 63 j.m./l i asparaginowej (AspAT) do 73 j.m./l. W tomografii komputerowej (TK) jamy brzusznej wykonanej po podaniu środka cieniującego uwidoczniono dwa ogniska wzmacniające się w fazie tętniczej położone w segmentach 4a i 6, osiągające wielkość odpowiednio 3 i 1,8 cm. Wątroba była marska, ale niepowiększona. Pod kontrolą TK wykonano biopsję jednej ze zmian. W badaniu histopatologicznym uzyskanego materiału rozpoznano raka wątrobowokomórkowego (HCC – hepatocellular carcinoma).
Wymagany zakres wycięcia tkanki wątrobowej nie pozwolił zakwalifikować chorego do resekcji wątroby. Skierowano go zatem do Instytutu Chirurgii Cybernetycznej w podwarszawskim Wieliszewie w celu rozważenia możliwości zastosowania radiochirurgii aparatem CyberKnife.
Badaniem mającym zadecydować o możliwości takiego leczenia był rezonans magnetyczny (MR) wykonany po czterech miesiącach od ustalenia rozpoznania (ryc. 1).
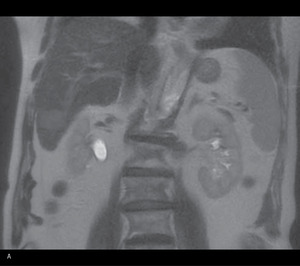
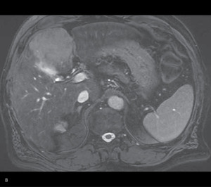
Rycina 1. Obraz MR przed leczeniem. (A) W projekcji osiowej widoczna zmiana w segmencie 6. (B) Na przekroju poprzecznym w segmencie 4 widoczna zmiana w okolicy pęcherzyka żółciowego
Stwierdzono powiększenie rozmiarów opisywanych wcześniej ognisk w wątrobie. Zmiana położona w segmencie 4a, w okolicy pęcherzyka żółciowego, osiągnęła wymiary 7,3 × 6 cm, a zmiana w segmencie 6 – 3 × 2 cm. W segmentach 5 i 7 uwidoczniono też nowe ogniska o średnicy poniżej 1 cm, nieulegające wzmocnieniu po podaniu środka cieniującego, dostrzegalne jedynie na obrazach T2-zależnych oraz w badaniu wykonanym metodą obrazowania dyfuzyjnego (DWI – diffusion-weighted imaging). Pozostały miąższ wątroby wykazywał cechy przebudowy marskiej. Nie uwidoczniono innych nieprawidłowości w obrębie jamy brzusznej, w tym powiększonych węzłów więzadła wątrobowo-dwunastniczego.
Stopień zaawansowania nowotworu określono jako T3N0M0 według klasyfikacji TNM.
Ponowna ocena laboratoryjna wydolności marskiej wątroby wykazała graniczne stężenie bilirubiny – 1,06 mg/dl oraz zwiększoną aktywność γ-glutamylotranspeptydazy (GGTP) – 330 j.m./l, AspAT – 89 j.m./l i AlAT – 72 j.m./l. Nie stwierdzono wydłużenia czasu protrombinowego, a stężenie albuminy było prawidłowe. Brak wodobrzusza i objawów encefalopatii pozwolił na zakwalifikowanie chorego do grupy A w skali Childa-Pugha.
OMÓWIENIE
Rak wątrobowokomórkowy jest rozpoznawany rocznie u 5 na 100 tys. osób. Zajmuje piąte miejsce wśród najczęściej występujących nowotworów złośliwych i trzecie miejsce wśród najczęstszych onkologicznych przyczyn zgonu. Rozwija się na podłożu marskości lub wirusowego zapalenia wątroby. Operacja stwarza szansę na wyleczenie, jej przeprowadzenie jest jednak możliwe jedynie u chorych na nowotwór we wczesnych stadiach zaawansowania. U większości chorych przydatne okazuje się zastosowanie metod pozwalających na wydłużenie czasu przeżycia, takich jak:
- resekcja chirurgiczna
- radioablacja
- krioablacja
- chemioterapia
- chemioembolizacja przeznaczyniowa.
Kolejną obiecującą i nieinwazyjną metodą leczenia miejscowego jest radioterapia stereotaktyczna, będąca przedmiotem niniejszego opracowania.
OPCJE LECZENIA CHIRURGICZNEGO
Postępowaniem z wyboru jest u chorych na HCC operacja wycięcia guza. Możliwość jej przeprowadzenia stwarza szansę na wyleczenie 10 proc. chorych.1 Wśród rodzajów operacji są:
- nieanatomiczna resekcja miąższu wątroby
- segmentektomia
- hemihepatektomia
- hepatektomia połączona z przeszczepieniem wątroby – metoda ta jest szczególnie godna uwagi, jeśli uwzględnić postępowanie stosowane w Instytucie Chirurgii Cybernetycznej.
Współistnienie u większości chorych przewlekłej hepatopatii znacznie ogranicza możliwości resekcji miąższu wątroby, zwłaszcza rozległej, z uwagi na ryzyko niewydolności pozostawionego miąższu. Operacja ta nie pozwala również na usunięcie potencjalnych przerzutów znajdujących się w pozostawionej części wątroby. Resekcja z oczywistych względów nie wpływa na naturalny przebieg choroby podstawowej, czyli marskości wątroby, odpowiedzialnej za rozwój nowotworu.
Optymalną metodą leczenia wydaje się przeszczepienie wątroby, pozwalające u wybranych chorych na radykalne usunięcie nowotworu, a jednocześnie na wyleczenie marskości wątroby. Niestety, problemy z doborem dawców sprawiają, że zastosowanie tej metody jest możliwe jedynie w wybranej grupie, a czas oczekiwania na zabieg niekorzystnie wpływa na wyniki leczenia onkologicznego. Konieczne staje się zatem opracowanie standardów postępowania w okresie między ustaleniem rozpoznania a przeszczepieniem, uwzględniające zastosowanie w tym czasie metod skutecznych miejscowo. Optymalną metodą pomostową wydaje się radiochirurgia stereotaktyczna.
Dobierając najwłaściwszy dla chorego sposób postępowania, należy uwzględnić umiejscowienie zmian w wątrobie, konieczny obszar resekcji oraz rezerwę, czyli objętość zdrowej tkanki wątroby. Rezerwa ta nie może być mniejsza niż 30 proc. objętości całego narządu, by zapewnić regenerację i przejęcie jego czynności.2 U chorych ze współistnieniem marskości wątroby należy pozostawić co najmniej 40 proc. wyjściowej objętości wątroby.
O wyborze optymalnej dla danego chorego metody postępowania powinien decydować zespół lekarzy specjalizujących się w różnych dziedzinach (tzw. zespół wielospecjalistyczny).

