Kongres Akademii po Dyplomie Pediatria 2026 👉 200 zł taniej do 27.02. Spotkajmy się 17-18 kwietnia w Warszawie | Skorzystaj z oferty >
Ciąża pozamaciczna – wykrywanie i postępowanie
Lisa M. Keder, MD, MPH
Gdy wynik testu ciążowego jest dodatni, ale obraz w badaniu ultrasonograficznym niejednoznaczny, kluczowego znaczenia nabiera metodyczne krok po kroku postępowanie pozwalające w krótkim czasie ostatecznie ustalić właściwe rozpoznanie.
Dwudziestodziewięcioletnia kobieta zgłasza się na ostry dyżur z powodu bólu brzucha trwającego od tygodnia. W dniu zgłoszenia ból istotnie się zaostrzył. Wynik testu ciążowego z moczu jest dodatni; stan ogólny jest stabilny. Jakie jest prawidłowe postępowanie diagnostyczne u tej pacjentki?
Różnicowanie ciąży pozamacicznej z prawidłową lub nieprawidłową ciążą wewnątrzmaciczną może stanowić poważny problem kliniczny. Ciąża o nieznanym umiejscowieniu (pregnancy of unknown location, PUL) jest terminem stosowanym w sytuacjach, kiedy wynik testu ciążowego jest dodatni, a w badaniu ultrasonograficznym nie stwierdza się ani ciąży wewnątrzmacicznej, ani pozamacicznej.
Do zapamiętania
- Ciąża o nieznanym umiejscowieniu nie jest rozpoznaniem ostatecznym, a jedynie opisem sytuacji, który powinien pomóc w dalszym procesie diagnostycznym i doprowadzić do właściwego rozpoznania.
- Pacjentki, u których wykonano salpingotomię, włączono metotreksat lub wdrożono postępowanie wyczekujące, wymagają ścisłej obserwacji.
Staranna diagnostyka PUL jest ważna, ponieważ ciąże pozamaciczne stanowią 1-2% wszystkich ciąż i rocznie w Stanach Zjednoczonych około 30-40 kobiet umiera z powodu krwotoku będącego powikłaniem tej patologii.1,2 Chociaż wskaźnik zgonów spowodowanych komplikacjami ciąży pozamacicznej zmniejszył się w ostatnich latach, wciąż obserwuje się rozbieżności w śmiertelności w zależności od rasy, które mogą być związane z utrudnionym dostępem do opieki zdrowotnej.2,3 W przypadku pacjentki zgłaszającej się na ostry dyżur konieczna jest zatem szczegółowa diagnostyka.
Czułe testy ciążowe z moczu pozwalają wykryć ciążę dużo wcześniej, niż można ją uwidocznić w badaniu ultrasonograficznym. Dlatego PUL stała się dość częstym rozpoznaniem. W ostatnio opracowanym konsensusie położono nacisk na regionalne różnice w terminologii i optowano za ujednoliceniem klasyfikacji.4 W opracowaniu tym podkreślono, że PUL jest wstępnym rozpoznaniem opisowym, a ostatecznym rozpoznaniem powinna być: ciąża pozamaciczna, ciąża wewnątrzmaciczna (intrauterine pregnancy, IUP), ustąpienie PUL lub wyleczona PUL. Dokładna klasyfikacja ma istotne znaczenie dla ośrodków naukowych, gdyż pozwala na standaryzację prezentowanych danych. W praktyce klinicznej ma znaczenie dla stworzenia wytycznych właściwego postępowania.
W ramach antykoncepcji pacjentka stosowała pierścień dopochwowy, stwierdza jednak, że ostatni krążek założyła z opóźnieniem. Nie ma pewności co do daty ostatniego krwawienia miesiączkowego i nie była świadoma, że jest w ciąży. W ciągu ostatniego tygodnia obserwowała przemijające, niezbyt nasilone krwawienia z dróg rodnych.
Oszacowanie czasu trwania ciąży ułatwia lekarzowi interpretację wyników badań laboratoryjnych i obrazowych. W ocenie wieku ciążowego mogą pomóc dane z wywiadu, chociaż znajomość dokładnej daty ostatniej miesiączki często nie pokrywa się z rzeczywistym wiekiem ciąży. W niedawnym badaniu przeprowadzonym wśród pacjentek decydujących się na elektywne przerwanie ciąży stwierdzono, że kobiety zaniżają wiek ciążowy o około 1,2 tygodnia, a im starsza ciąża, tym większa jest niedokładność w ocenie jej wieku.5 W innych badaniach wykazano, że posługując się datą ostatniej miesiączki, przeszacowywano wiek ciąży, a dokładność podawanej daty malała z upływem czasu.6-8 Czynnikiem często pomijanym jest ocena wieku ciąży na podstawie aktywności seksualnej pacjentki i jej subiektywnej oceny, kiedy mogło dojść do poczęcia.
Pacjentka jest pewna, że do ciąży nie mogło dojść w ostatnich 4 tygodniach, gdyż w tym czasie nie była aktywna seksualnie. Co więcej, ponieważ współżyła rzadko, mogła wskazać konkretny dzień, w którym mogło dojść do zapłodnienia. Te szczegółowe dane pozwoliły określić wiek ciąży na co najmniej 6 tygodni, licząc od daty ostatniej miesiączki.
Chociaż ta pacjentka zgłosiła się do szpitala nieświadoma tego, że jest w ciąży, kobiety często wykonują testy ciążowe w domu, zanim zgłoszą się z objawami do izby przyjęć. Niestety, mimo że dostępne w aptekach i drogeriach testy ciążowe reklamowane są jako wykrywające ciąże jeszcze przed terminem spodziewanej miesiączki, ich rzeczywista czułość oceniana w badaniach porównawczych okazuje się różna.9-11Uzyskanie informacji, kiedy wynik testu ciążowego okazał się dodatni po raz pierwszy, objaśnienie wyniku oraz ustalenie, czy i kiedy poprzedzało go wykonanie testu ciążowego, którego wynik był ujemny, może czasami pomóc w zawężeniu przedziału czasu poczęcia.
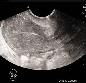
Lekarz dyżurny izby przyjęć wykonał doraźne badanie ultrasonograficzne sondą przezpochwową. W badaniu nie uwidoczniono ciąży wewnątrzmacicznej, stwierdzono cienkie, linijne endometrium (ryc. 1).
Na tym etapie diagnostyki można stwierdzić, że u tej pacjentki mamy do czynienia z ciążą o nieznanym umiejscowieniu. Nie jest to rozpoznanie ostateczne, a jedynie opis sytuacji, który powinien pomóc w dalszym procesie diagnostycznym i doprowadzić do właściwego rozpoznania. Nie należy zakładać przy wstępnym rozpoznaniu PUL, że jest to pacjentka z podejrzaną zmianą w przydatkach uwidocznioną w badaniu USG i podejrzeniem ciąży pozamacicznej, gdyż termin ten nie obejmuje także przypadków uwidocznienia w badaniu USG struktury pęcherzykowej bez pęcherzyka żółtkowego w obrębie jamy macicy (podejrzenie IUP). PUL może oznaczać niemożliwą do uwidocznienia ciążę pozamaciczną, nieprawidłową ciążę wewnątrzmaciczną lub wczesną, prawidłową ciążę wewnątrzmaciczną. Rozróżnienie między wymienionymi stanami klinicznymi bywa czasami wyzwaniem diagnostycznym.
Ilościowe badanie hCG daje wynik 950 IU/l. Stężenie hemoglobiny u pacjentki wynosi 11,9 g/dl.
W przypadku diagnostyki pacjentek, takich jak opisywana w artykule, istotne jest pojęcie wartości odcięcia. Odnosi się to do stężenia podjednostki β ludzkiej gonadotropiny kosmówkowej (human chorionic gonadotropin, hCG), powyżej którego ciąża wewnątrzmaciczna powinna zostać uwidoczniona w badaniu ultrasonograficznym. Wartość odcięcia zależy zarówno od osoby wykonującej badanie USG, jak i od używanego sprzętu. Należy ją uznać za pojęcie względne.12 Nieprawidłowa pozycja lub wady rozwojowe macicy, obecność mięśniaków, otyłość pacjentki – wszystkie te czynniki mogą wpływać na jakość obrazowania. Większość stosowanych algorytmów zakłada, że jeśli mamy do czynienia z prawidłową ciążą wewnątrzmaciczną, to powinna być ona widoczna w badaniu ultrasonograficznym przy stężeniu hCG 2000 IU/l lub większym.13 Dotyczy to ciąży pojedynczej. W ciążach wielopłodowych w każdym dowolnym momencie stężenie hCG będzie większe. Co więcej, w przypadku wczesnego obumarcia jednego z bliźniąt stężenie hCG może przez chwilę utrzymywać się na stałym poziomie i dopiero po pewnym czasie zacznie się ponownie zwiększać.
Dodatkowo w jednej z ostatnio opublikowanych prac opisujących doświadczenie jednego z ośrodków przedstawiono przypadek pacjentki, u której stężenie hCG wynosiło 2317 IU/l bez cech IUP w badaniu ultrasonograficznym, u której ostatecznie rozwinęła się prawidłowa ciąża wewnątrzmaciczna. Autorzy stworzyli model korelacji stężenia hCG i możliwości uwidocznienia pęcherzyka ciążowego i stwierdzili, że prawdopodobieństwo wykrycia pęcherzyka ciążowego wynosi 99% przy wartości hCG wynoszącej 3510 IU/l, co wskazywało, że wartość odcięcia w tym ośrodku może być wyższa niż przeciętnie i powinna być stosowana z rozwagą.14 Dokładna ocena wieku ciążowego oparta na datach jest lepszym czynnikiem predykcyjnym obserwacji określonych cech rozwijającej się ciąży w badaniu USG niż pojedynczy pomiar stężenia hCG. W diagnostyce PUL u pacjentki w stanie stabilnym ze stężeniem hCG poniżej wartości odcięcia pomóc mogą kolejne pomiary stężenia hCG w surowicy.
Wstępne prace Kadar wskazywały, że oczekiwane zwiększenie stężenia hCG wynosi 66% w ciągu 48 h.15 W kolejnych badaniach stwierdzono, że mniejsze tempo narastania stężenia hCG – 53% – nie wyklucza rozwoju prawidłowej ciąży. Wyniki pomiarów hCG powinny być zawsze interpretowane w kontekście sytuacji klinicznej. Badania rzadko są wykonywane dokładnie w odstępie 48 h i metody oznaczeń różnią się między poszczególnymi laboratoriami, dlatego należy odnotować, kiedy i gdzie wykonano dane badanie. Z tych powodów u pacjentki bez objawów klinicznych z granicznym wzrostem stężenia hCG dopiero trzecie oznaczenie może jednoznacznie ustalić trend zmian stężenia hormonu.
Jeżeli stężenie hCG utrzymuje się na niezmienionym poziomie, maleje lub się nie zwiększa w oczekiwanym tempie, wskazuje to na nieprawidłowo rozwijającą się ciążę, ale niekoniecznie na ciążą pozamaciczną. W tych przypadkach znaczenie diagnostyczne może mieć wyłyżeczkowanie jamy macicy i ocena materiału przez histopatologa – obecność kosmków potwierdza obumarłą ciążę wewnątrzmaciczną. Odwrotnie, brak kosmków w materiale u pacjentki, u której stężenie hCG maleje zbyt wolno (mniej niż 20% na dobę), może wskazywać na ciążę pozamaciczną. Prawidłowe narastanie stężenia hCG nie wyklucza ciąży pozamacicznej – w około 10-20% przypadków obserwuje się prawidłowe zwiększenie hCG, zwłaszcza przy małych wartościach bezwzględnych.16 Omawiana pacjentka wymaga ścisłego nadzoru i w chwili osiągnięcia przez hCG wartości odcięcia powinno się u niej powtórzyć badanie ultrasonograficzne. W ustaleniu właściwego rozpoznania w możliwie krótkim czasie pomagają opublikowane algorytmy diagnostyczne.13
