IV edycja Kongresu HPV już 12-13 czerwca! Poznaj najnowsze trendy w profilaktyce, diagnostyce i leczeniu raka szyjki macicy i innych schorzeń związanych z HPV | Sprawdź >
Elastografia w położnictwie
Krzysztof Preis, Małgorzata Świątkowska-Freund
Badanie szyjki macicy jest ważnym elementem badania położniczego w ocenie jej przygotowania do porodu w wyniku zachodzących w niej zmian biochemicznych, a następnie strukturalnych. Wiele lat temu opracowano skalę klinicznej oceny zaawansowania porodu, zwaną skalą Bishopa. Potem, po wprowadzeniu badań ultrasonograficznych, możliwa stała się ocena kształtu ujścia wewnętrznego i długości kanału szyjki macicy jako elementów związanych ze zbliżającym się porodem. Jednym z punktów oceny klinicznej szyjki była ocena jej podatności, elastyczności. Badania te dawały wgląd w zaawansowanie porodu, jednak była to ocena subiektywna i obarczona dużym błędem. Ponadto wymaga ona dokładnego badania palpacyjnego kanału szyjki, a takie działanie nie jest korzystne w przypadku zagrażającego porodu przedwczesnego, przedwczesnego pęknięcia błon płodowych, krwawienia oraz zakażenia szyjki i pochwy.
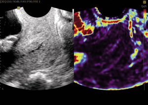
Od niedawna aparaty USG wyposażone są w sondy i oprogramowanie pozwalające określić elastyczność tkanek przez zobrazowanie w skali kolorowej miejsc o zwiększonej lub zmniejszonej elastyczności względem otaczających te miejsca tkanek. Dotychczas stosowano tę metodę do ułatwienia zobrazowania i oceny charakteru zmian w gruczołach piersiowych, śliniankach, gruczole krokowym i wątrobie.1-6
Pomysłem ośrodka gdańskiego było zastosowanie tej samej metody do oceny elastyczności szyjki macicy ciężarnej jako jednego z wykładników zbliżającego się porodu. Zastosowaliśmy badanie sondą pochwową w aparatach Samsung-Medison V10 i V20 z oprogramowaniem Elastoscan™. Uzyskane obrazy prezentują elastyczność tkanek w skali względnej. Przy zastosowaniu skali kolorów tęczy nr 2 tkanki najtwardsze obrazowane są jako fioletowe, mniej elastyczne jako niebieskie oraz dalej jako zielone i żółte, aby w kolorze czerwonym uwidocznić tkanki najbardziej podatne. Aby uzyskać obraz elastograficzny, potrzebny jest ruch. W elastografii położniczej ruch otaczających tkanek i naczyń krwionośnych szyjki jest wystarczający, aby uzyskać właściwe zobrazowanie.7-13
Na potrzeby analizy uzyskanych wyników w Klinice Położnictwa w Gdańsku opracowany został przez dr hab. med. Małgorzatę Świątkowską-Freund tzw. indeks elastografii (elastography index, EI), następnie opublikowany i zastosowany w naszych badaniach. Ta prosta pięciopunktowa skala (od 0 do 4 pkt) okazała się łatwa i skuteczna w zastosowaniu klinicznym.11,12
Mając zgodę Komisji Bioetycznej przy Gdańskim Uniwersytecie Medycznym, wśród hospitalizowanych ciężarnych wydzieliliśmy dwie grupy, stawiając dwa pytania badawcze. Po pierwsze, czy elastograficzna ocena szyjki macicy będzie pomocna w ocenie zagrożenia porodem przedwczesnym, i po drugie, czy dzięki zastosowaniu elastografii można stwierdzić, jaka jest szansa na skuteczną indukcję porodu oksytocyną u ciężarnych w terminie lub po terminie porodu.
Ponieważ w piśmiennictwie nie było danych na temat zastosowania elastografii w położnictwie, analizowano korelację obrazów dla różnych miejsc szyjki macicy, takich jak ściana przednia i ściana tylna szyjki, okolice ujścia wewnętrznego, środek kanału szyjki oraz ujście zewnętrzne.
W grupie ciężarnych zagrożonych porodem przedwczesnym stwierdzono, że różnica między elastycznością ściany przedniej i tylnej była mniejsza u tych, które mimo skurczów urodziły w terminie porodu (p=0,49).
Z kolei w grupie ciężarnych w terminie porodu, które poddawane były indukcji porodu dożylnym wlewem kroplowym z oksytocyny, stwierdzono korelację między wartościami EI dla ujścia wewnętrznego a skuteczną indukcją porodu. Tutaj korelacja Pearsona była bardzo silna (r=0,71; p=0,0004). Wykazano również istotną różnicę między wartościami średnimi grupy, w której uzyskano efekt indukcji, a grupą z nieskuteczną indukcją w ciągu 8-godzinnego wlewu z oksytocyny (test t Studenta: p=0,024). Rycina 1 przedstawia graficznie stwierdzone różnice.
Nasze obserwacje wskazują, że ultrasonograficzna elastografia jest pomocnym narzędziem w ocenie zagrożenia porodem przedwczesnym. Na tej podstawie można wyróżnić grupę ciężarnych z przedwczesnymi skurczami obarczonych dużym ryzykiem takiego porodu, wymagającą wdrożenia intensywnego leczenia tokolitycznego.
Ponadto elastografia jest skuteczna w ustaleniu szansy na skuteczną indukcję porodu i pozwala wydzielić grupę ciężarnych, u których należy zastosować inne postępowanie położnicze w celu zakończenia ciąży, np. dodatkowe lub skumulowane zastosowanie prostaglandyn i cewnika Foleya.


