IV edycja Kongresu HPV już 12-13 czerwca! Poznaj najnowsze trendy w profilaktyce, diagnostyce i leczeniu raka szyjki macicy i innych schorzeń związanych z HPV | Sprawdź >
Diagnostyka zagadki echo
Echoszarada
Mirosław Kowalski
Kobieta, lat 79. Jakie patologie można rozpoznać na rycinach?
Rozwiązanie:
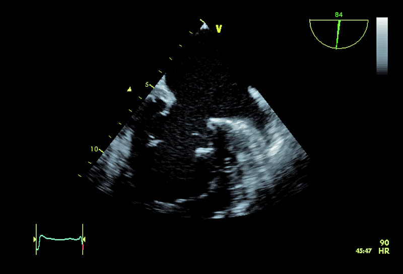
1. Zmiany degeneracyjne aparatu zastawki mitralnej (ryc. 1).
2. Istotna niedomykalność zastawki mitralnej (ryc. 2).
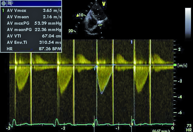
3. Podwyższone gradienty przepływu przez sztuczną zastawkę aortalną (ryc. 3).
4. Mała niedomykalność zastawki trójdzielnej (ryc. 4-6).
5. Mały ubytek przegrody międzykomorowej z lewo-prawym przeciekiem (ryc. 5).
6. Istotne nadciśnienie płucne (ryc. 6).





