IV edycja Kongresu HPV już 12-13 czerwca! Poznaj najnowsze trendy w profilaktyce, diagnostyce i leczeniu raka szyjki macicy i innych schorzeń związanych z HPV | Sprawdź >
Diagnostyka zagadki echo
Redaktor działu: dr hab. n. med. Mirosław Kowalski, prof. nadzw. Klinika Wad Wrodzonych Serca, Instytut Kardiologii, Warszawa
Echoszarada
Mirosław Kowalski
Kardiologia po Dyplomie 2012; 11 (4): 63-64
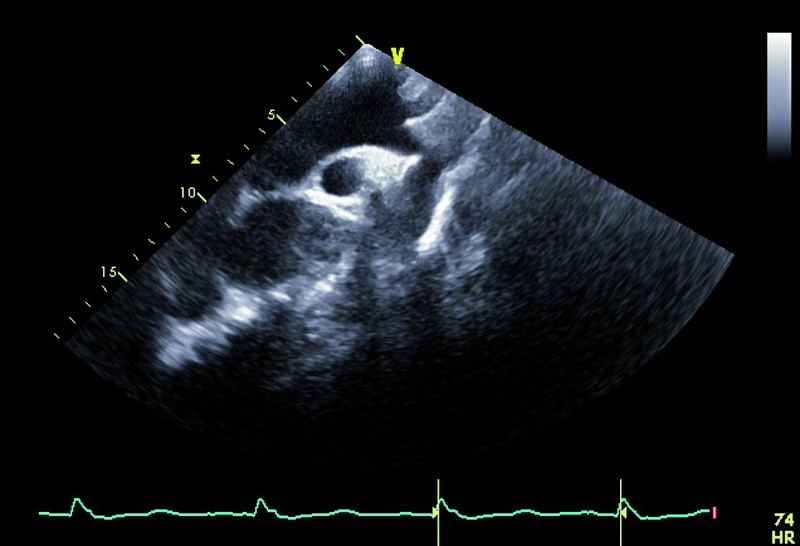
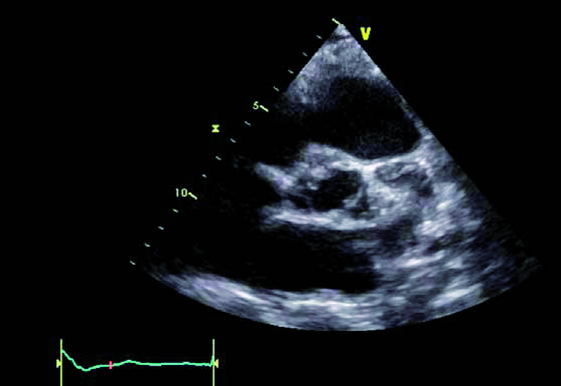
Kobieta, lat 41. Jakie patologie można rozpoznać na zamieszczonych rycinach?
Rozwiązanie:
1. Koarktacja aorty (ryc. 1).
2. Dwupłatkowa zastawka aortalna (ryc. 2).
3. Niedomykalność zastawki mitralnej (ryc. 3).
4. Ciężka dysfunkcja skurczowa lewej komory (ryc. 3-5).
5. Niedomykalność zastawki aortalnej (ryc. 5, 6).





