Kongres Akademii po Dyplomie Pediatria 2026 👉 200 zł taniej do 27.02. Spotkajmy się 17-18 kwietnia w Warszawie | Skorzystaj z oferty >
Diagnostyka zagadki echo
Echoszarada
Mirosław Kowalski
Mężczyzna, lat 30. Jakie patologie można rozpoznać na rycinach?
Rozwiązanie:
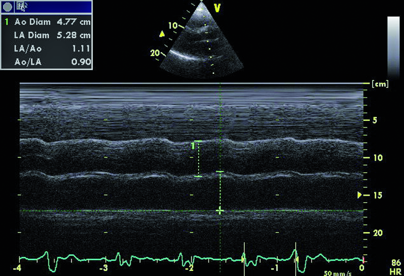
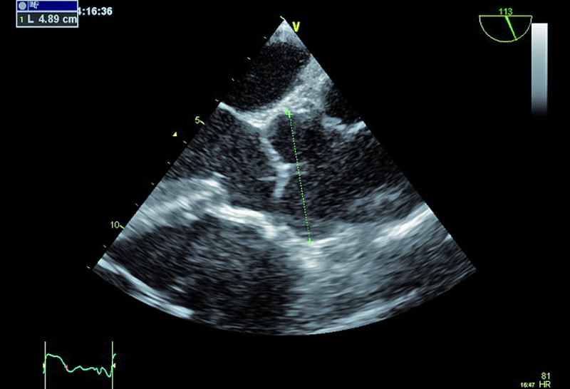
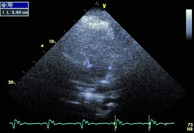
1. Poszerzenie opuszki aorty (ryc. 1, 2).
2. Powiększenie jamy lewego przedsionka (ryc. 1).
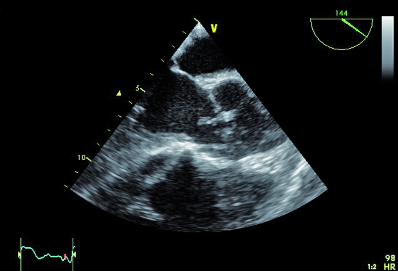
3. Dodatkowe echo w drodze odpływu lewej komory (ryc. 2, 3) – wegetacja?
4. Dodatkowe echo związane z przegrodą międzykomorową (ryc. 2) – wegetacja? szczątkowa membrana?
5. Perforacja lewego płatka (płatków?) zastawki aortalnej (ryc. 3).
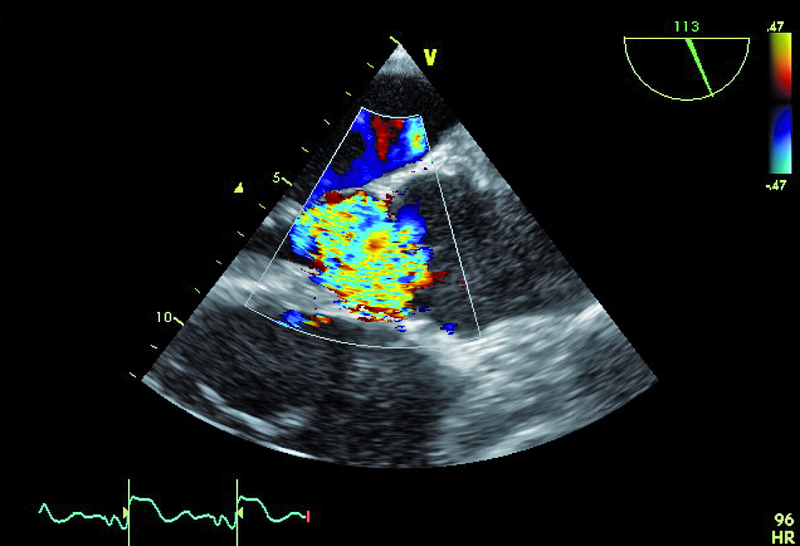
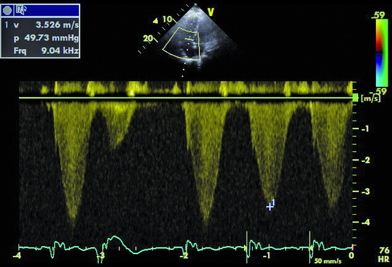
6. Ciężka niedomykalność aortalna (ryc. 4).
7. Poszerzenie pnia tętnicy płucnej (ryc. 5).
8. Nadciśnienie płucne (ryc. 6).
9. Komorowe zaburzenia rytmu (ryc. 1, 6).





