IV edycja Kongresu HPV już 12-13 czerwca! Poznaj najnowsze trendy w profilaktyce, diagnostyce i leczeniu raka szyjki macicy i innych schorzeń związanych z HPV | Sprawdź >
Diagnostyka zagadki echo
Echoszarada
Mirosław Kowalski
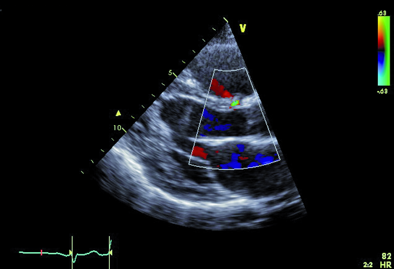
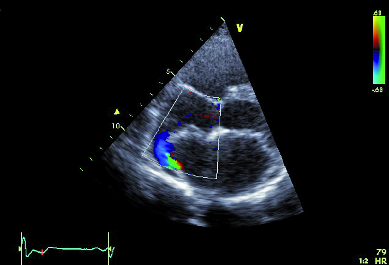
Kobieta, lat 36. Jakie patologie można rozpoznać na zamieszczonych rycinach?
Rozwiązanie:
1. Ubytek części błoniastej przegrody międzykomorowej (ryc. 1, 2).
2. Mały przeciek lewo-prawy przez przegrodę międzykomorową (ryc. 1, 2).
3. Nieznaczne powiększenie jamy lewej komory (ryc. 3).
4. Zwyrodnienie gąbczaste mięśnia prawej i lewej komory (ryc. 4, 5).
5. Tętniak przegrody międzyprzedsionkowej (ryc. 4-6).
6. Ubytek przegrody międzyprzedsionkowej z przeciekiem lewo-prawym (ryc. 6).





