IV edycja Kongresu HPV już 12-13 czerwca! Poznaj najnowsze trendy w profilaktyce, diagnostyce i leczeniu raka szyjki macicy i innych schorzeń związanych z HPV | Sprawdź >
Diagnostyka zagadki echo
Redaktor działu: dr hab. n. med. Mirosław Kowalski, prof. nadzw.
Klinika Wad Wrodzonych Serca, Instytut Kardiologii, Warszawa
Klinika Wad Wrodzonych Serca, Instytut Kardiologii, Warszawa
Echoszarada
Mirosław Kowalski
Kardiologia po Dyplomie 2012; 11 (12): 59-60
Kobieta, lat 73. Jakie patologie można rozpoznać na rycinach?
Rozwiązanie:
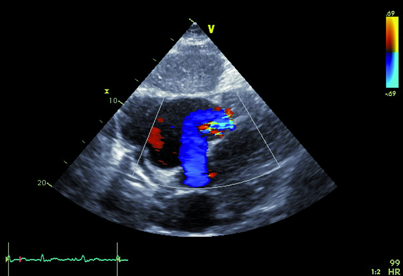
1. Ubytek przegrody międzyprzedsionkowej typu II (ryc. 1).
2. Niedomykalność zastawki trójdzielnej (ryc. 1).
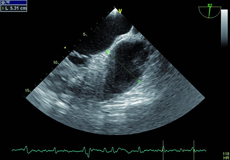
3. Powiększenie jamy prawej komory (ryc. 2).
4. Płyn w jamie osierdzia (ryc. 2).
5. Poszerzenie prawej tętnicy płucnej (ryc. 3).
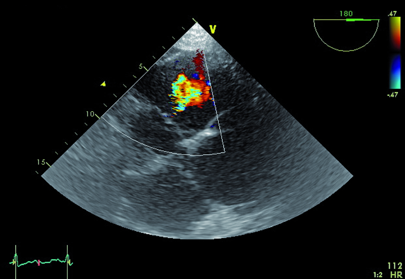
6. Poszerzenie pnia tętnicy płucnej (ryc. 4).





