IV edycja Kongresu HPV już 12-13 czerwca! Poznaj najnowsze trendy w profilaktyce, diagnostyce i leczeniu raka szyjki macicy i innych schorzeń związanych z HPV | Sprawdź >
Diagnostyka zagadki echo
Klinika Wad Wrodzonych Serca, Instytut Kardiologii, Warszawa
Echoszarada
Mirosław Kowalski
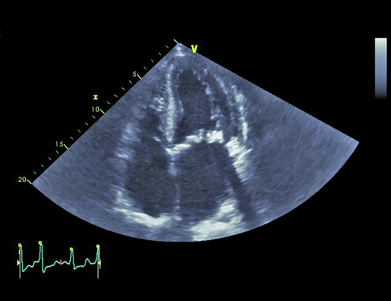
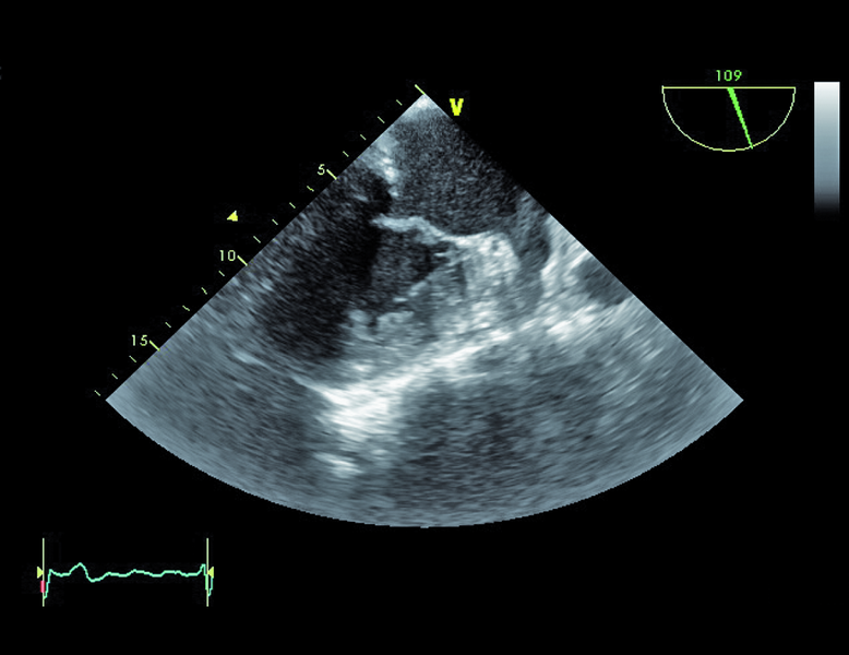
Mężczyzna, lat 79. Jakie patologie można rozpoznać na rycinach?
Rozwiązanie:
1. Zwapnienia płatków oraz pierścienia zastawki aortalnej (ryc. 1).
2. Poszerzenie aorty wstępującej (ryc. 2).
3. Zwężenie i niedomykalność zastawki aortalnej (ryc. 3).
4. Rozległe zwapnienia płatków i pierścienia zastawki mitralnej (ryc. 4).
5. Przerost mięśnia lewej komory (ryc. 4, 5).
6. Skrzeplina w uszku lewego przedsionka (ryc. 5).
7. Poszerzenie pnia tętnicy płucnej (ryc. 6).





