IV edycja Kongresu HPV już 12-13 czerwca! Poznaj najnowsze trendy w profilaktyce, diagnostyce i leczeniu raka szyjki macicy i innych schorzeń związanych z HPV | Sprawdź >
Diagnostyka zagadki echo
Klinika Wad Wrodzonych Serca, Instytut Kardiologii, Warszawa
Echoporada
Mirosław Kowalski
Szanowni Państwo, drodzy Czytelnicy,
Jednym z trudniejszych zagadnień klinicznych jest infekcyjne zapalenie wsierdzia. Badanie echokardiograficzne ma ugruntowaną pozycję w diagnostyce tej choroby, ponieważ dostarcza dowodów zajęcia wsierdzia i stanowi, obok dodatnich posiewów krwi, kryterium duże według tzw. zmodyfikowanych kryteriów Duke’a. Na łamach Zagadek echokardiograficznych przypadki infekcyjnego zapalenia wsierdzia pojawiają się często, a omawiane problemy dotyczą wad wrodzonych, nabytych, a także tzw. odelektrodowego zapalenia wsierdzia.
W bieżącym numerze pragnę zwrócić Państwa uwagę na nieczęsty obraz choroby w sensie morfologicznym. Proces zapalny doprowadza do pojawienia się nowej niedomykalności zastawki i nasilenia niedomykalności już istniejącej. W takiej sytuacji nie wolno nam, echokardiografistom, dopuszczać do odkładania zabiegu operacyjnego, ponieważ ryzyko ciężkiej niewydolności serca, nawet w wypadku prowadzenia ukierunkowanej antybiotykoterapii, nasila się.Echoszarada, czyli tradycyjna łamigłówka, ponownie stawia przed Państwem zadanie wyszukania ukrytych w obrazach patologii. Życzę ciekawej lektury!
Mirosław Kowalski
Dane kliniczne:
Mężczyzna, lat 42, z umiarkowaną niedomykalnością aortalną wtórną do dwupłatkowej zastawki pozostawał pod opieką poradni kardiologicznej. Od kilku miesięcy nawracała u niego gorączka, której wystąpienie mogło mieć związek z zabiegiem usunięcia kamienia nazębnego i niewielkim uszkodzeniem dziąseł. Cech infekcyjnego zapalenia wsierdzia w badaniach nie stwierdzano. Niedomykalność aortalna nadal miała charakter umiarkowany. Pacjenta hospitalizowano w szpitalu rejonowym, a następnie, po ustąpieniu gorączki, wypisano. Jego stan jednak się nie poprawił. Po kilku tygodniach został ponownie przyjęty do szpitala z powodu zwyżki temperatury. Zastosowano leczenie amoksycyliną i ciprofloksacyną. Posiewy krwi były ujemne, jednak pobrano je w czasie leczenia antybiotykiem. W ośrodku referencyjnym odstawiono antybiotyki. Kilka dni później u chorego znów wystąpiła gorączka, a trzykrotne posiewy krwi dały dodatni wynik (Streptococcus viridans). W badaniu fizykalnym zwracała uwagę szybka częstość serca (około 90 uderzeń/minutę).
Osłuchiwaniem stwierdzono szmer rozkurczowy wzdłuż prawego brzegu mostka oraz skurczowy w okolicy koniuszka. Pacjent był wydolny krążeniowo i oddechowo. Nie obserwowano zastoju w krążeniu płucnym. Wykonano badanie tomograficzne tętnic wieńcowych, wykluczając zmiany organiczne. W usg jamy brzusznej zwracała uwagę nieznacznie powiększona śledziona. Zgodnie z wynikiem posiewu krwi podano wankomycynę, jednak wobec reakcji alergicznej lek odstawiono i włączono ceftriakson oraz gentamycynę.
Pytanie:
Czy przedstawione wyniki badania echokardiograficznego potwierdzają infekcyjne zapalenie wsierdzia? Jak należy leczyć chorego?
Odpowiedź:
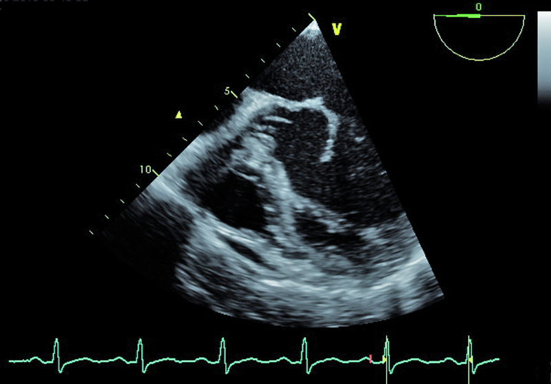
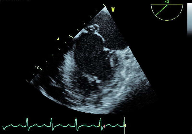
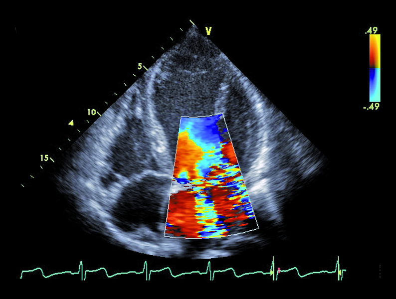
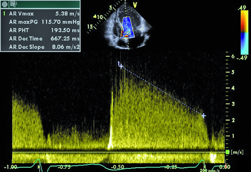
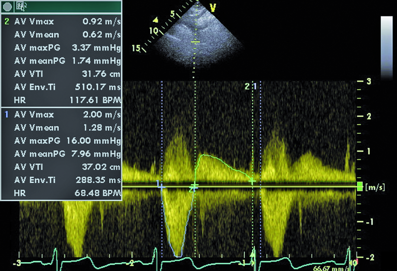
Infekcyjne zapalenie wsierdzia z zajęciem obu natywnych zastawek serca lewego nie budzi w tym przypadku wątpliwości. Proces zapalny może być rozpoznany echokardiograficznie na podstawie linijnych ech mogących odpowiadać rozerwanemu płatkowi zastawki aortalnej oraz na podstawie ciężkiego wypadania płatka zastawki mitralnej (flail), mającego zapewne charakter poinfekcyjny (ryc. 1). Stopień destrukcji zastawki mitralnej w porównaniu z zastawką aortalną wydaje się większy. Między segmentami A2 i P3 pojawia się tętniakowate uwypuklenie, będące pozostałością nacieczenia zapalnego i martwicy tkanki (ryc. 2). Tryb kolorowego doplera ujawnia dwa strumienie niedomykalności – jeden, ekscentryczny wynikający z wypadania przedniego płatka i biegnący wzdłuż bocznej ściany przedsionka (ryc. 3), i drugi pojawiający się w pewnej odległości od miejsca koaptacji, w miejscu, w którym fali zwrotnej trudno się spodziewać, jeśli struktura tkanki budującej płatek jest nienaruszona (ryc. 3, 4). Strumień niedomykalności mitralnej ma w tym wypadku charakter ostry i trafia do nieprzygotowanej i niepowiększonej jamy lewego przedsionka (ryc. 3, 4). Umiarkowana dotychczas niedomykalność aortalna, którą chory przez wiele lat dobrze tolerował, się nasiliła. Dowodem na to jest krótki czas spadku gradientu ciśnień aorta – lewa komora (poniżej 200 ms) (ryc. 5) oraz wyraźny sygnał wsteczny holodiastoliczny w aorcie zstępującej, świadczący o wysokiej wartości frakcji niedomykalności aortalnej (iloraz całki prędkości wypływu krwi na obwód i prędkości fali wstecznej 83%!) (ryc. 6).
Hemodynamiczne konsekwencje zapalenia są poważne. U chorego, niezależnie od gorączki, występowały cechy niewydolności krążenia. Chociaż nie miał zastoju i duszności, stale utrzymująca się tachykardia w rytmie zatokowym była dowodem obciążenia jam lewego serca. Do właściwej kwalifikacji pacjenta może w wypadku infekcji na zastawkach natywnych prowadzić już badanie przezklatkowe. Jeśli nawet nie stwierdza się w nim obrazu typowych wegetacji bakteryjnych, pojawienie się nowej regurgitacji, a w tym wypadku była to fala zwrotna mitralna, traktowane jest jako duże kryterium choroby według zmodyfikowanych kryteriów Duke’a. W celu uchronienia chorego przed nasileniem niewydolności serca podjęto decyzję o leczeniu operacyjnym w trakcie stosowanej antybiotykoterapii. Zabieg wszczepienia dwóch zastawek mechanicznych przyniósł dobry efekt i pozwolił na opanowanie procesu zapalnego.





