IV edycja Kongresu HPV już 12-13 czerwca! Poznaj najnowsze trendy w profilaktyce, diagnostyce i leczeniu raka szyjki macicy i innych schorzeń związanych z HPV | Sprawdź >
Diagnostyka zagadki echo
Redaktor działu: dr hab. n. med. Mirosław Kowalski, prof. nadzw.
Klinika Wad Wrodzonych Serca, Instytut Kardiologii, Warszawa
Klinika Wad Wrodzonych Serca, Instytut Kardiologii, Warszawa
Echoszarada
Mirosław Kowalski
Kardiologia po Dyplomie 2012; 11 (10): 53-54
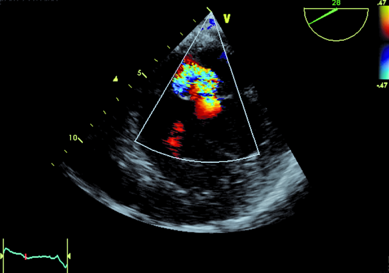
Mężczyzna, lat 68. Jakie patologie można rozpoznać na rycinach?
Rozwiązanie:
1. Powiększenie jamy lewej komory (ryc. 1).
2. Duża niedomykalność zastawki mitralnej (ryc. 2, 5).
3. Niedomykalność zastawki trójdzielnej (ryc. 3, 4).
4. Nadciśnienie płucne (ryc. 4).
5. Miażdżyca łuku i części zstępującej aorty (ryc. 6).





