IV edycja Kongresu HPV już 12-13 czerwca! Poznaj najnowsze trendy w profilaktyce, diagnostyce i leczeniu raka szyjki macicy i innych schorzeń związanych z HPV | Sprawdź >
Diagnostyka zagadki echo
Redaktor działu: dr hab. n. med. Mirosław Kowalski, prof. nadzw.
Klinika Wad Wrodzonych Serca, Instytut Kardiologii, Warszawa
Klinika Wad Wrodzonych Serca, Instytut Kardiologii, Warszawa
Echoszarada
Mirosław Kowalski
Kardiologia po Dyplomie 2012; 11 (9): 47-48
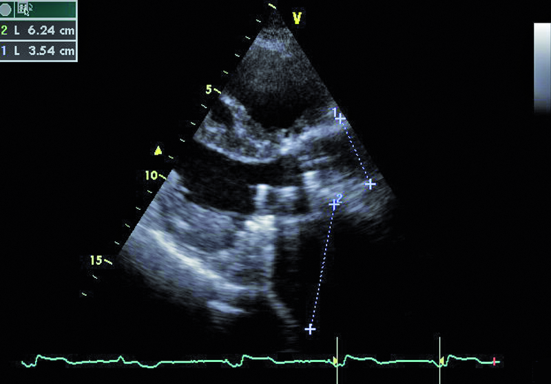
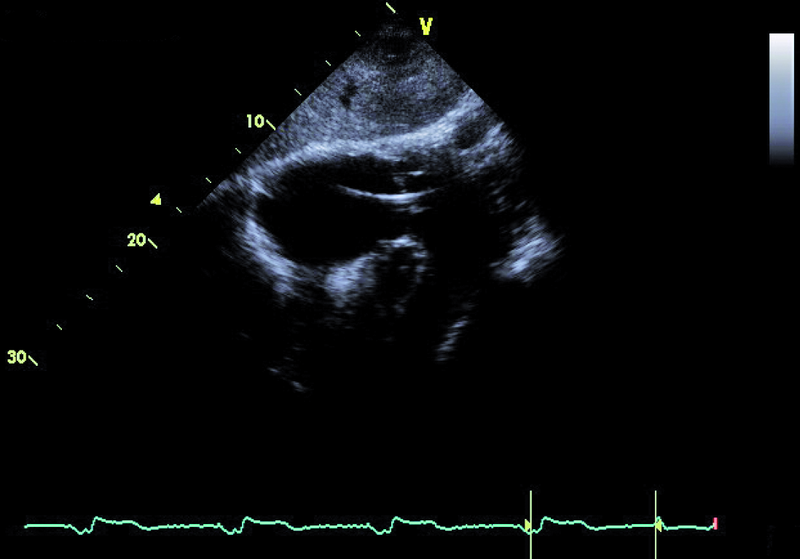
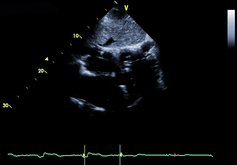
Mężczyzna, lat 59. Jakie patologie można rozpoznać na rycinach?
Rozwiązanie:
1. Powiększenie jamy lewego przedsionka (ryc. 1).
2. Niedomykalność zastawki mitralnej – przeciek okołozastawkowy (ryc. 2).
3. Niedomykalność zastawki trójdzielnej (ryc. 2).
4. Poszerzony pień tętnicy płucnej (ryc. 3).
5. Nadciśnienie płucne (ryc. 4).
6. Tętniak rzekomy jatrogenny – po implantacji elektrody do jamy prawej komory (ryc. 5, 6).





