Diagnostyka zagadki echo
Echoporada
Mirosław Kowalski
Szanowni Państwo, drodzy Czytelnicy,
Część wad wrodzonych serca to niezwykle rzadkie nieprawidłowości. Zdarza się, że z wadą znaną z piśmiennictwa spotykamy się w praktyce klinicznej raz na kilka lub kilkanaście lat. To oczywiście nie powód, żeby o nich nie mówić, wręcz przeciwnie – obraz patologii uzyskany i zapamiętany powiększa nasze doświadczenie. Przedstawiony w Echoporadzie przypadek młodej kobiety jest dowodem, że nie każdą wadę wrodzoną należy korygować. Przebieg wad jest często bezobjawowy. Nie skracają one życia ani nie pogarszają jego jakości. Znajomość anatomii wady i jej hemodynamiki pozwala śledzić losy chorego i wdrożyć odpowiednie postępowanie – farmakologiczne, interwencyjne – wtedy, kiedy stan pacjenta się pogorszy. Echoszarada także dotyczy wady wrodzonej. Jakiej? Bez trudu ocenią Państwo sami. Ponieważ Echoszarada jest łamigłówką, Państwa zadaniem jest pomyśleć, z jakimi odległymi nieprawidłowościami mamy do czynienia po przeprowadzonym w przeszłości leczeniu. Życzę ciekawej lektury,
Mirosław Kowalski
Dane kliniczne:
Dziewczyna, lat 17, pozostawała pod opieką kardiologów dziecięcych z powodu wrodzonej wady serca. Ze względu na dobry stan jej zdrowia nie podejmowano decyzji o korekcji. Nie stosowano także leków ingerujących w stan układu krążenia. Z powodu niedoczynności tarczycy pacjentka przyjmowała jedynie terapię substytucyjną. Miała prawidłowe BMI. Zauważała męczliwość tylko przy bardzo dużych wysiłkach (ćwiczyła biegi długodystansowe i karate). W badaniu fizykalnym przy przyjęciu stwierdzono głośne tony serca, bez szmerów. W EKG zarejestrowano rytm zatokowy miarowy o częstości 91/min, z ujemnymi załamkami T nad ścianą dolną. W zdjęciu przeglądowym klatki piersiowej, wykonanym poza szpitalem, stwierdzono prawidłową sylwetkę serca. Krążenie płucne było wyrównane. W badaniu echokardiograficznym przezklatkowym uwidoczniono m.in. tętniaka części błoniastej przegrody międzykomorowej, bez przecieku oraz przetrwałą żyłę główną górną lewą uchodzącą do zatoki wieńcowej. Próbowano wykonać badanie przezprzełykowe, jednak ze względu na złą tolerancję głowicy przerwano je.
Pytanie:
Z jaką wadą mamy do czynienia? Czy to rozpoznanie nasuwa konieczność leczenia operacyjnego?
Odpowiedź:
Serce trójprzedsionkowe jest rzadką wadą rozwojową spływu żylnego. Jej istotą jest pojawienie się błoniastej struktury dzielącej jamę przedsionka lewego (sporadycznie prawego) na dwie przestrzenie. W jamie przedsionka można w takim wypadku wyróżnić część górną, będącą formą zatoki żylnej, oraz dolną, właściwą jamę przedsionka. Krew przedostaje się do właściwej jamy przez pojedynczy otwór lub liczne mniejsze otwory. Obstrukcja przepływu prowadzi do tzw. śródprzedsionkowego gradientu. Upośledzenie spływu prowadzi zazwyczaj do biernego zastoju krwi w łożysku płucnym, co skutkuje nadciśnieniem płucnym, poszerzeniem pnia płucnego, przerostem prawej komory. Wadzie mogą towarzyszyć inne nieprawidłowości rozwojowe – przetrwały przewód tętniczy, nieszczelność przegród serca. Wielkość otworu warunkuje stan kliniczny pacjenta. Opisuje się przypadki zarówno ciężkiej niewydolności serca, wymagającej pilnej interwencji chirurgicznej już w wieku noworodkowym, jak i chorych skąpo- lub bezobjawowych.
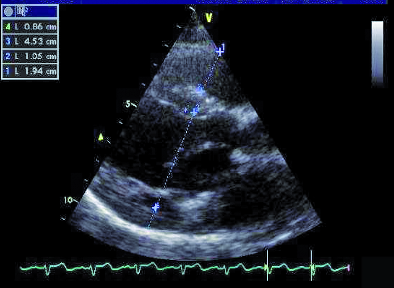
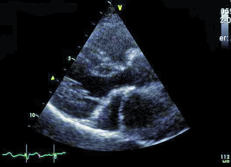
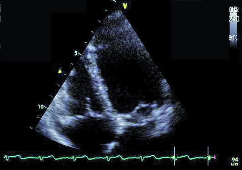
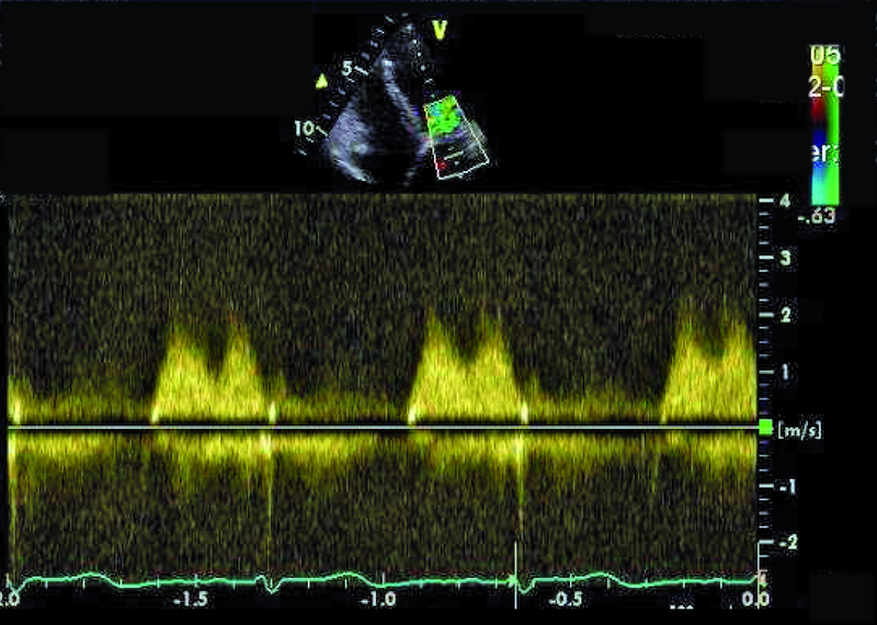
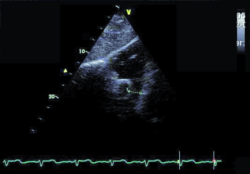
Przedstawiona chora, prawie dorosła kobieta, znajduje się w tej drugiej grupie. Jamy serca są u niej niepowiększone, a mięsień ma prawidłową grubość (ryc. 1). Rozpoznanie membrany w jamie lewego przedsionka z prawidłowym obrazem zastawki mitralnej nie nastręcza trudności. Membranę można dostrzec w wielu projekcjach (ryc. 2-4). Badanie przezprzełykowe pozwala na bardziej precyzyjne określenie średnicy otworu, która zazwyczaj waha się od kilku milimetrów do centymetra. W omawianym przypadku otwór jest duży i na podstawie samej jego wielkości można przypuszczać, że nie powoduje obstrukcji przepływu (membrana w projekcji na rycinie 4 znajduje się powyżej zastawki). Tryb doplera ciągłego (ryc. 5) także nie potwierdza zaburzeń przepływu i trudno się spodziewać, by w takiej sytuacji mogło dojść do podwyższenia ciśnienia w żyłach płucnych, włośniczkach i pniu płucnym. Średnica pnia płucnego (21 mm, ryc. 6) jest dowodem na panujące w nim niskie ciśnienie (nie zarejestrowano w badaniu fali zwrotnej trójdzielnej). Serce trójprzedsionkowe z niskim gradientem śródprzedsionkowym przy braku dodatkowych nieprawidłowości (np. przecieku międzyprzedsionkowego lewo-prawego bądź prawo-lewego – zależnie, z jaką jamą ubytek się komunikuje) nie wymaga leczenia operacyjnego. Pacjentka wymaga dalszej kontroli, ponieważ po wielu latach choroby mogą pojawić się napadowe lub utrwalone nadkomorowe zaburzenia rytmu serca, będące wyrazem zmiany geometrii przedsionka.





