IV edycja Kongresu HPV już 12-13 czerwca! Poznaj najnowsze trendy w profilaktyce, diagnostyce i leczeniu raka szyjki macicy i innych schorzeń związanych z HPV | Sprawdź >
Diagnostyka zagadki echo
Redaktor działu: dr hab. n. med. Mirosław Kowalski, prof. nadzw. Klinika Wad Wrodzonych Serca, Instytut Kardiologii, Warszawa
Echoszarada
Mirosław Kowalski
Kardiologia po Dyplomie 2012; 11 (8): 43-44
Kobieta, lat 80. Jakie patologie można rozpoznać na rycinach?
Rozwiązanie:
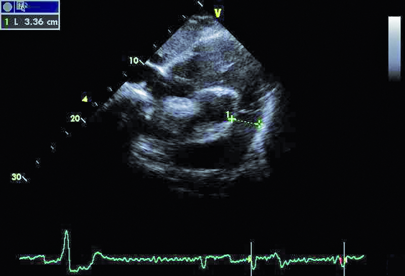
1. Powiększenie jamy prawej komory (ryc. 1).
2. Przerost mięśnia lewej komory (ryc. 1).
3. Poszerzenie pnia płucnego (ryc. 2).
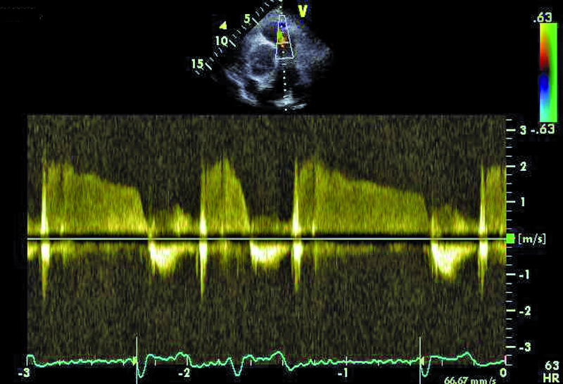
4. Niedomykalność zastawki płucnej (ryc. 3).
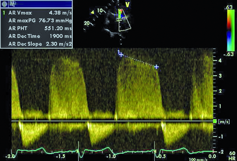
5. Niedomykalność zastawki aortalnej (ryc. 4).
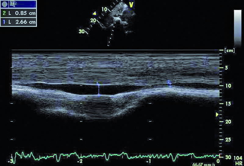
6. Poszerzenie żyły głównej dolnej (ryc. 5).
7. Niedomykalność zastawki mitralnej (ryc. 6).





