IV edycja Kongresu HPV już 12-13 czerwca! Poznaj najnowsze trendy w profilaktyce, diagnostyce i leczeniu raka szyjki macicy i innych schorzeń związanych z HPV | Sprawdź >
Diagnostyka zagadki echo
Redaktor działu: dr hab. n. med. Mirosław Kowalski, prof. nadzw. Klinika Wad Wrodzonych Serca, Instytut Kardiologii, Warszawa
Echoszarada
Mirosław Kowalski
Kardiologia po Dyplomie 2012; 11 (1): 63-64
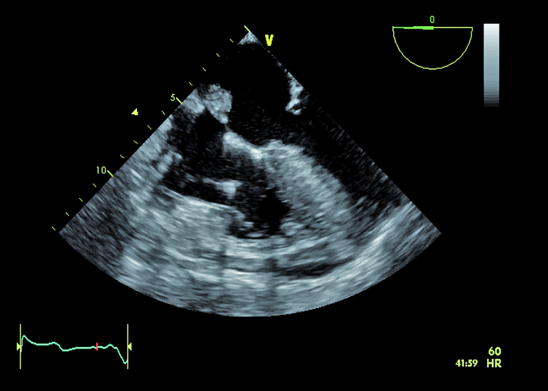
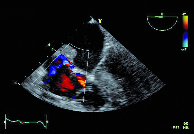
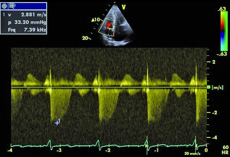
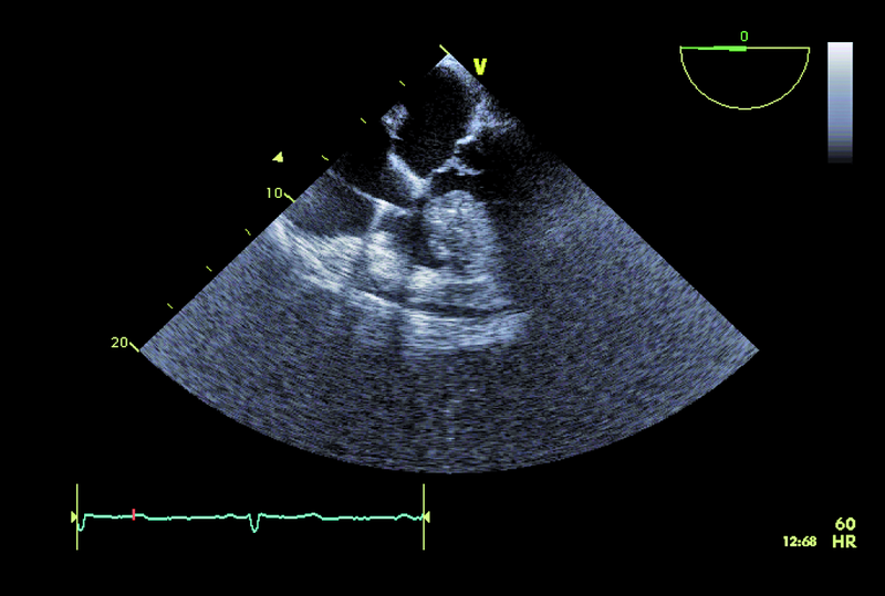
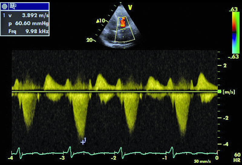
Kobieta, lat 55. Jakie patologie można rozpoznać na zamieszczonych rycinach?
Rozwiązanie:
1. Guz przegrody międzyprzedsionkowej (ryc. 1-3).
2. Mały ubytek przegrody międzyprzedsionkowej z przeciekiem lewo-prawym (ryc. 1-3).
3. Małe nadciśnienie płucne (ryc. 4).
4. Istotny przerost przegrody międzykomorowej (ryc. 1, 2, 5).
5. Zawężanie drogi odpływu lewej komory (ryc. 5, 6).





