Kongres Akademii po Dyplomie Pediatria 2026 👉 200 zł taniej do 27.02. Spotkajmy się 17-18 kwietnia w Warszawie | Skorzystaj z oferty >
Diagnostyka zagadki echo
Echoszarada
Mirosław Kowalski
Mężczyzna, lat 35. Jakie patologie można rozpoznać na rycinach?
Rozwiązanie:
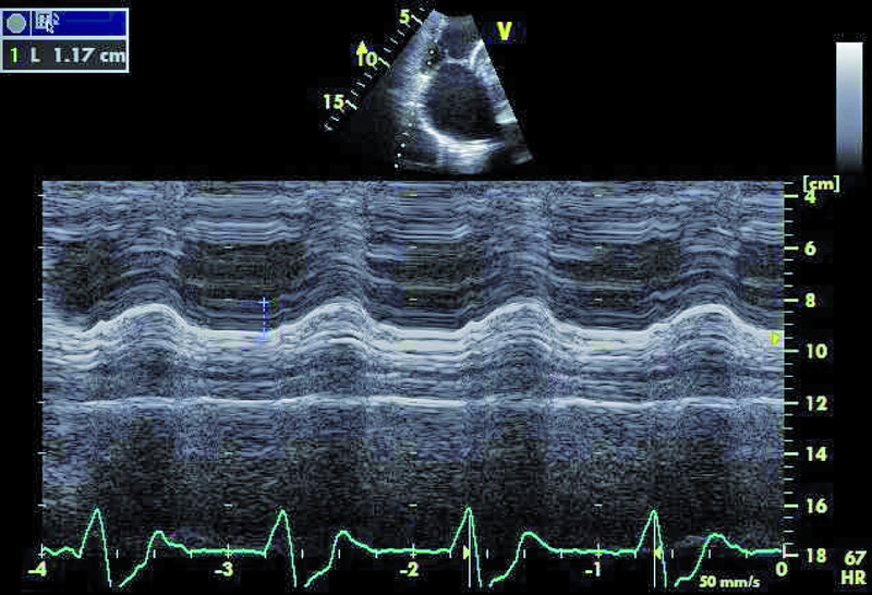
1. Przerost mięśnia lewej komory (ryc. 1).
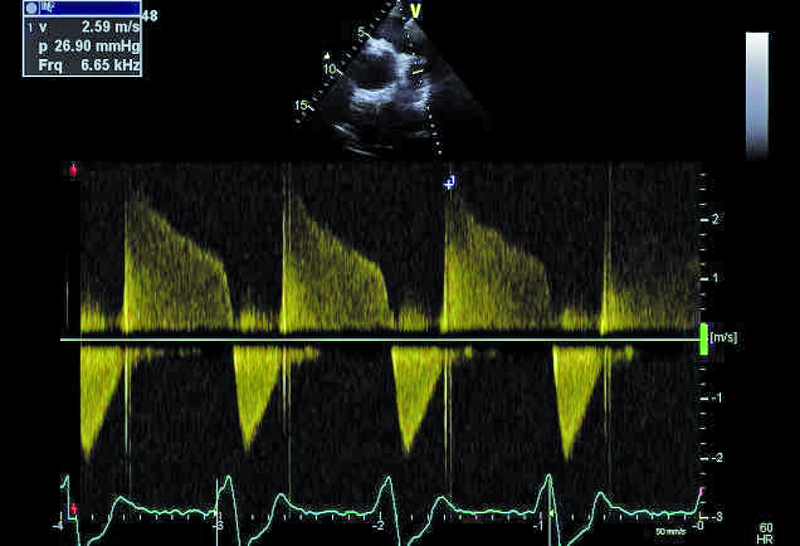
2. Przeciek okołozastawkowy – przy przednim brzegu pierścienia zastawki aortalnej (ryc. 1, 2).
3. Mała stenoza zastawki płucnej (ryc. 3).
4. Niedomykalność zastawki płucnej (ryc. 3).
5. Nadciśnienie płucne (ryc. 3).
6. Upośledzona funkcja kurczliwa prawej komory (ryc. 4).
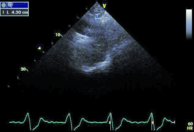
7. Poszerzenie łuku aorty (ryc. 6).





