IV edycja Kongresu HPV już 12-13 czerwca! Poznaj najnowsze trendy w profilaktyce, diagnostyce i leczeniu raka szyjki macicy i innych schorzeń związanych z HPV | Sprawdź >
Diagnostyka zagadki echo
Echoszarada
Mirosław Kowalski
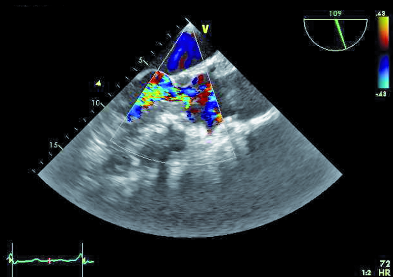
Mężczyzna, lat 25. Jakie patologie można rozpoznać na rycinach?
Rozwiązanie:
1. Powiększenie jamy prawej komory (ryc. 1).
2. Dodatkowe echa (skrzepliny, wegetacje?) związane z elektrodą (ryc. 2).
3. Drobne zmiany organiczne płatków zastawki aortalnej (ryc. 3).
4. Mała niedomykalność aortalna (ryc. 3, 4).
5. Zwężenie drogi odpływu lewej komory (LVOTO) (ryc. 4, 5).
6. Poszerzenie aorty wstępującej (ryc. 6).





