IV edycja Kongresu HPV już 12-13 czerwca! Poznaj najnowsze trendy w profilaktyce, diagnostyce i leczeniu raka szyjki macicy i innych schorzeń związanych z HPV | Sprawdź >
Diagnostyka zagadki echo
Echoporada
Mirosław Kowalski
Szanowni Państwo, drodzy Czytelnicy,
Tak zwanych trudnych diagnostycznie pacjentów spotykamy niemal codziennie. Każdy z nich czegoś uczy, każdego zapamiętujemy. Warto zastanowić się, skąd bierze się trudność w postępowaniu z nimi. Czy jest to problem decyzji klinicznej i względnie łatwego do interpretacji obrazu? Czy odwrotnie – stan kliniczny chorego jest jasny, ale składa się na niego mnogość mniej lub bardziej ukrytych patologii?
Kolejne odcinki Echoporady i Echoszarady pokazują te dwie różne sytuacje. Bohaterką Echoporady jest młoda kobieta z infekcyjnym zapaleniem wsierdzia i oczywistym, potwierdzającym ten proces, zespołem nieprawidłowości w badaniach dodatkowych. Proszę zwrócić uwagę, że mimo szczegółowej dokumentacji choroby i podpowiedzi płynącej z badania ultradźwiękowego nie zawsze jest nam łatwo podjąć optymalną decyzję. Bohaterką Echoszarady jest kobieta nieco starsza, u której zły stan zdrowia jest wyrazem wielu nieprawidłowości, wymagających identyfikacji i wnikliwej oceny ich hemodynamicznych konsekwencji. Życzę ciekawej lektury.
Mirosław Kowalski
Dane kliniczne:
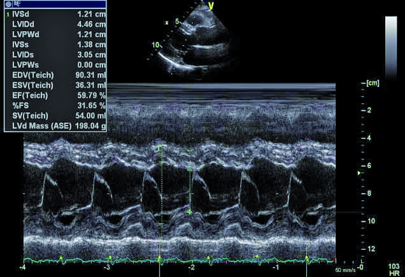
Powodem hospitalizacji 39-letniej kobiety było podejrzenie infekcyjnego zapalenia wsierdzia. Pacjentka do niedawna była zdrowa i nie przechodziła badań oceniających stan układu krążenia. Kilka tygodni przed hospitalizacją zagorączkowała do 38,5°C. Wzrostowi temperatury towarzyszyły objawy nieżytu żołądka, a lekarz pierwszego kontaktu wysłuchał u niej szmer skurczowy nad sercem, promieniujący w stronę pachy. W dniu przyjęcia do szpitala stwierdzono przyspieszoną czynność serca do 120/min w rytmie zatokowym, ciśnienie tętnicze wynosiło 110/80 mm Hg. W badaniach biochemicznych zwracało uwagę podwyższone stężenie CRP i OB. Chora miała także niewielką niedokrwistość (Hb 11,5 g/dl).
W USG jamy brzusznej śledziona nie była powiększona. Kilkakrotnie pobrano posiewy krwi, stwierdzając w jednym z nich wzrost Staphylococcus hominis, a w innym Haemophilus parainfluenzae. Uznano, że pierwszy z dodatnich posiewów mógł mieć związek z zanieczyszczeniem materiału, a posiew drugi mógł wskazywać na rzeczywisty czynnik etiologiczny infekcyjnego zapalenia wsierdzia. Badanie echokardiograficzne potwierdziło proces zapalny. Ruchomej wegetacji na zastawce mitralnej o długości 11 mm towarzyszyła umiarkowana niedomykalność mitralna, niepowiększona jama lewego przedsionka (29 mm) oraz prawidłowe ciśnienie w jamie prawej komory (31 mm Hg). Zgodnie z antybiogramem włączono ceftriakson.
Pytanie:
Z jakim elementem zastawki mitralnej łączy się dodatkowe echo? Jak należy leczyć chorą?
Odpowiedź:
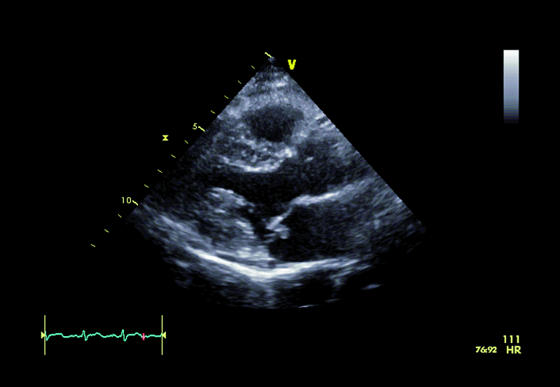
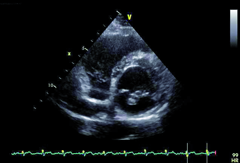
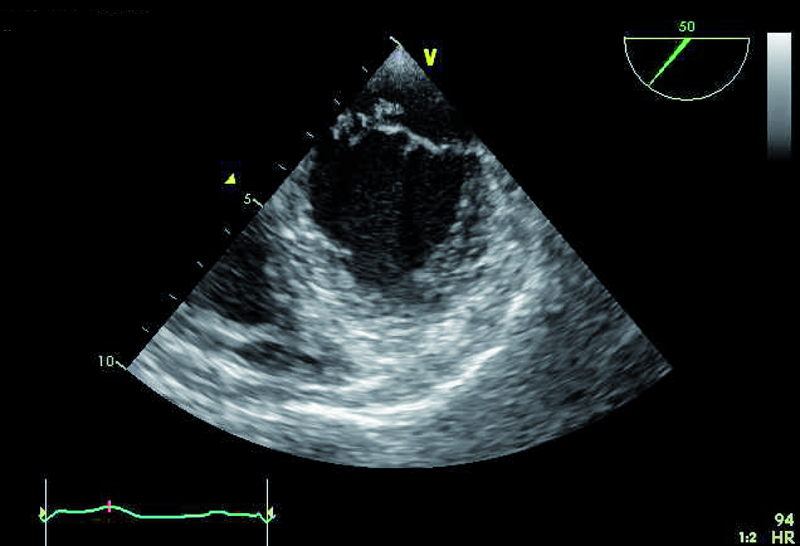
Badanie przezklatkowe, które jest badaniem pierwszego wyboru w przypadku podejrzenia zapalenia wsierdzia, potwierdza obecność dodatkowego echa na strukturach zastawki mitralnej (ryc. 1, 2). Wskazanie konkretnego elementu zastawki, stanowiącego podstawę dla rozwijającej się wegetacji, jest jednak trudne. Badanie przezprzełykowe pozwala lepiej zobrazować punkt wyjścia wegetacji, stopień destrukcji płatka i istotność fali zwrotnej. Szczegółowa ocena zastawki wymaga zastosowania wielu projekcji i płaszczyzn obrazowania, a także znajomości anatomii i relacji przestrzennych poszczególnych struktur. Kryterium orientacyjnym w ocenie jest to, że płatek przedni zastawki mitralnej leży zawsze blisko aorty. Jeśli aorta jest widoczna, zazwyczaj sąsiadują z nią segmenty A1 i A2. Blisko uszka lewego przedsionka leżą natomiast segmenty płatka przedniego i tylnego: A1 i P1. Zawsze warto uwzględnić projekcję i płaszczyznę, w jakich zastawka jest oceniana. Jeśli jest to projekcja dwujamowa z widocznym uszkiem lub jego częścią, to układ segmentów, rozpoczynając od uszka, jest następujący: P1, A2 i P3. Dodatkowe echo zatem widoczne przy spoidle tylno-przyśrodkowym w obrazowaniu przezprzełykowym (ryc. 3, 4) związane jest z segmentem najbardziej dystalnym w stosunku do uszka, a więc z segmentem P3.
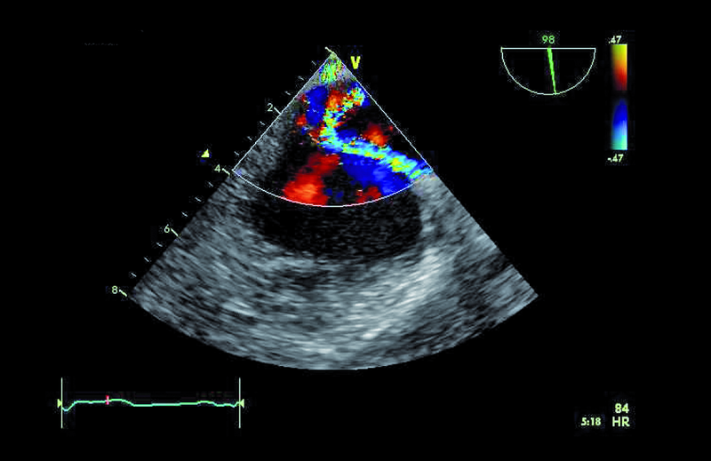
Podstawowym celem terapii jest opanowanie procesu zapalnego. Zazwyczaj kilkutygodniowe (4-6 tygodni) podawanie antybiotyku pozwala osiągnąć taki cel. Należy jednak spytać o wskazania do leczenia operacyjnego. Niezwykle ważna w ocenie jest wielkość wegetacji. Zgodnie ze standardami wskazaniem do operacji jest wegetacja większa niż 15 mm lub wegetacja >10 mm, która stanowiła źródło zatorowości. Żadne z dwóch kryteriów nie było u chorej spełnione. Nie było także epizodu duszności, obrzęku płuc ani innych objawów niewydolności serca. Niedomykalność mitralną oceniono na umiarkowaną. Charakterystyczne dla niej były dwa strumienie fali zwrotnej – jeden centralny wynikający z perforacji płatka tylnego oraz drugi równoległy do płaszczyzny pierścienia zastawki, wynikający z wypadania płatka (ryc. 5). Jama lewej komory była niepowiększona, a kurczliwość mięśnia prawidłowa (ryc. 6). Zdecydowano o postępowaniu zachowawczym z kilkutygodniową skojarzoną antybiotykoterapią. W toku obserwacji zaplanowano kolejne badanie przezprzełykowe z oceną ewentualnej zmiany wielkości wegetacji.





