IV edycja Kongresu HPV już 12-13 czerwca! Poznaj najnowsze trendy w profilaktyce, diagnostyce i leczeniu raka szyjki macicy i innych schorzeń związanych z HPV | Sprawdź >
Diagnostyka tk, mr
Plastyka lewego przedsionka u pacjenta z wadą zastawki dwudzielnej – obrazowanie metodą tomografii komputerowej
Wojciech Domaradzki,1 Piotr Kurek,2 Magdalena Zagrodzka,3 Barbara Szymańska4
Mężczyzna, 32 lata, pracujący jako kierowca samochodów ciężarowych, został przyjęty na oddział wewnętrzny szpitala rejonowego z powodu istotnego spadku wydolności fizycznej, zwiększonej męczliwości, a w okresie tuż przed hospitalizacją z powodu duszności spoczynkowej, również w nocy, o typie asthma cardiale. Chory negował w wywiadzie obciążenia internistyczne oraz nadużywanie alkoholu. Przy przyjęciu stwierdzono duszność spoczynkową, cechy zastoju nad płucami i obrzęki obwodowe. W badaniu rtg klatki piersiowej potwierdzono cechy niewydolności krążenia oraz ujawniono znacznie powiększoną sylwetkę serca. W badaniu USG jamy brzusznej zarejestrowano cechy biernego przekrwienia wątroby.
Wstępnie rozpoznano kardiomiopatię rozstrzeniową na tle toksycznego uszkodzenia mięśnia sercowego. Po typowej farmakoterapii stan chorego uległ poprawie i pacjenta przekazano do Oddziału Kardiologicznego Szpitala Specjalistycznego w Kościerzynie. Przy przyjęciu chory był w stanie dobrym, bez duszności spoczynkowej, miał zaznaczone obrzęki obwodowe i małą tolerancję wysiłku. Badanie echokardiograficzne wykazało poszerzenie wszystkich jam serca, z dominującą w obrazie echokardiograficznym rozstrzenią lewego przedsionka. Stwierdzono ciężką niedomykalność mitralną z wtórnym wzrostem ciśnienia w prawej komorze. W ramach diagnostyki wykluczono cechy ostrego stanu zapalnego. Po uzyskaniu dużej poprawy dzięki leczeniu farmakologicznemu skierowano chorego do leczenia operacyjnego w II Klinice Kardiochirurgii Śląskiego Uniwersytetu Medycznego.
Pacjent został przyjęty w celu chirurgicznej korekcji wady serca. Wiek chorego oraz wywiad nie wskazywały na obciążenia w kierunku choroby wieńcowej, ale dla pewności u pacjenta wykonano 64-rzędową tomografię komputerową, która uwidoczniła naczynia wieńcowe bez przewężeń.
Mężczyznę operowano w dotchawiczym znieczuleniu ogólnym z typowego dojścia przez sternotomię. Po zatrzymaniu serca i otwarciu lewego przedsionka obraz zastawki był tożsamy z obrazami uzyskanymi w wykonanych wcześniej badaniach obrazowych. Nie stwierdzono żadnej patologii w budowie płatków zastawki mitralnej oraz aparacie podzastawkowym, a jedynie znaczną rozstrzeń lewej komory lewego przedsionka i pierścienia mitralnego. Rozciągnięcie pierścienia mitralnego do wymiaru 42 mm (wynik pomiaru ze śródoperacyjnego przezprzełykowego badania echokardiograficznego) przy długości przedniego płatka 30 mm skutkowało całkowitym brakiem koaptacji płatków zastawki i ciężką niedomykalnością mitralną. Zdecydowano się na wykonanie naprawy zastawki przez wszczepienie sztywnego pierścienia Carpentier Edwards Classic 30 mm w pierścień natywnej zastawki szwami i zakotwiczenie ich głęboko w mięśniu lewej komory. Po uzyskaniu zadowalającego efektu w próbie wodnej postanowiono wykonać plastykę lewego przedsionka, aby zmniejszyć jego bardzo powiększoną objętość. Nie zamknięto uszka lewego przedsionka, ponieważ u pacjenta zarejestrowano rytm zatokowy, a wywiad w kierunku nadkomorowych zaburzeń rytmu był ujemny.
Zamknięto lewy przedsionek i zakończono operację w sposób typowy. Dobry wynik operacji potwierdzono w echokardiograficznym badaniu przezprzełykowym bezpośrednio po wyjściu z krążenia pozaustrojowego.
Okres pooperacyjny przebiegał bez powikłań. Pacjenta wypisano do domu w 7 dobie.
Wynik badania TK serca po zabiegu
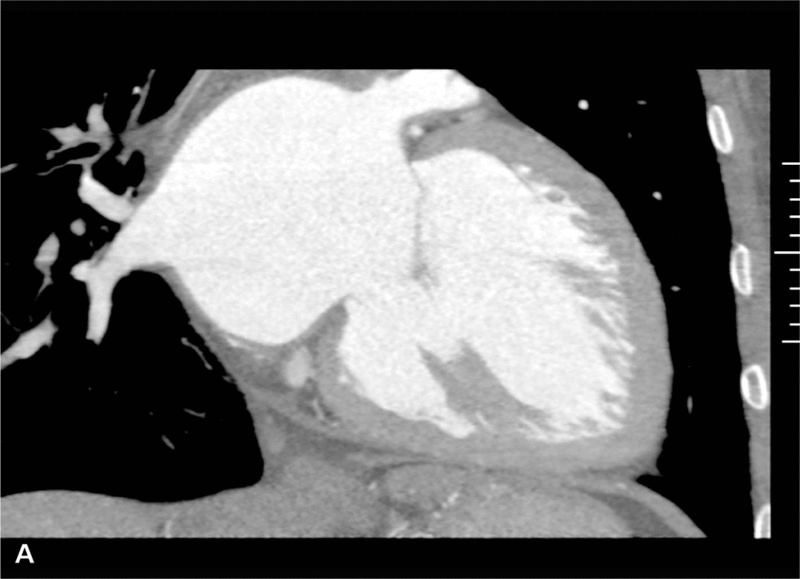
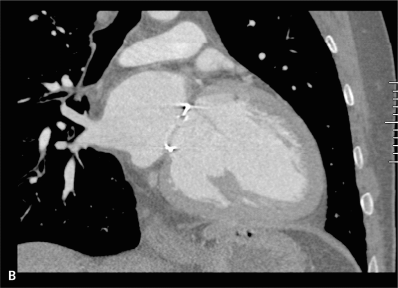
Po operacji wykonano kontrolne badanie TK serca, w którym nie stwierdzono zmian ogniskowych i zagęszczeń zapalnych w uwidocznionym miąższu płucnym. Przełyk oraz pozostałe uwidocznione badaniem struktury śródpiersia również były bez zmian. Uwidocznione węzły chłonne nie były powiększone. Badanie wykazało stan po plastyce przedsionka lewego oraz wszczepieniu sztucznego pierścienia w pierścień zastawki mitralnej. Objętość przedsionka po zabiegu wynosiła 129 cm3 (przed zabiegiem 186 cm3) (ryc. 1A, B, 2A, B).
RYCINA 2. Rekonstrukcja objętościowa (VR transparent) lewego przedsionka. [A] Przed operacją. [B] Po operacji.
Objętość późnorozkurczowa LK przed zabiegiem wynosiła 295 cm3, a po zabiegu 222 cm3 (ryc. 3A, B, 4A, B).
RYCINA 4. Rekonstrukcja objętościowa (VR transparent) jam serca lewego. [A] Przed operacją. [B] Po operacji.
Calcium Score wynosiło 0. W tętnicach wieńcowych (LCA, LM, LAD i RCA) nie stwierdzono zmian. Parametry funkcji lewej komory były następujące: ESV 127 ml, EDV 228 ml, SV 100 ml, EF 44%, CO 6657 ml/min, czynność serca 66/min.
Uwagi praktyczne radiologa
1. Badanie TK z bramkowaniem EKG jest jedną z kilku możliwych metod diagnostyki obrazowej, które należy brać pod uwagę w monitorowaniu pacjentów po zabiegu plastyki lewego przedsionka. Jest to niezwykle ważne, gdy podejrzewamy niepełne zmniejszenie objętości przedsionka z wytworzeniem wolnego kanału w linii plastyki (ryc. 5A-C).
2. Kluczową informacją dla radiologa przed wykonaniem badania jest ewentualna nieregularna czynność serca – często spotykana w tej grupie pacjentów – która może uniemożliwić wiarygodną ocenę zwłaszcza tętnic wieńcowych.
3. Rozstrzeń lewego przedsionka (a w konsekwencji obniżenie frakcji wyrzutowej) zmienia hemodynamikę napływającej krwi (czyli środka cieniującego podczas badania), co może mieć wpływ na modyfikację parametrów protokołu, według którego wykonywane jest badanie. Dlatego należy rozważyć wykonanie wstępnego skanowania bez podania środka cieniującego w celu oceny szczegółowej anatomii jam serca (wymiary, stopień rozstrzeni jam serca).
RYCINA 5. [A-C] Rekonstrukcja objętościowa (VR) lewego przedsionka u 43-letniego pacjenta po plastyce lewego przedsionka oraz wszczepieniu sztucznego pierścienia w pierścień zastawki mitralnej. Wzdłuż tylnej ściany przedsionka widoczny tunel utworzony przez podszyte ściany przedsionka, przez który płynie zakontrastowana krew. Niezamierzony efekt zabiegu, niewidoczny w kontrolnym badaniu echokardiograficznym.










