IV edycja Kongresu HPV już 12-13 czerwca! Poznaj najnowsze trendy w profilaktyce, diagnostyce i leczeniu raka szyjki macicy i innych schorzeń związanych z HPV | Sprawdź >
Chirurgia naczyniowa
Jak i kiedy udrażniać tętnice szyjne?
Wojciech Skowroński
Jednym z powikłań uogólnionej miażdżycy jest zwężenie tętnic szyjnych mogące prowadzić do niebezpiecznych powikłań, np. udaru mózgu. Chirurgiczne i endowaskularne ich leczenie nie jest rozwiązaniem nowym. Przed 15 laty, gdy zaczęto wykonywać w Polsce pierwsze zabiegi stentowania tętnic szyjnych, chirurgicznie operowano ok. 1000 chorych rocznie. Dziś w większości renomowanych krajowych ośrodków te procedury są standardem, choć trwają spory co do wyboru metody zabiegowej.
– Zdarza się, że radiolodzy interwencyjni, kardiolodzy czy angiolodzy, którzy również zajmują się leczeniem zwężeń tętnic szyjnych, przekonują nas, że interwencje endowaskularne są równorzędne z typowo chirurgicznymi. My, chirurdzy naczyniowi, uważamy jednak, że korzystając z dostępności dwóch metod, trzeba wybrać najlepszą dla pacjenta, by efekt końcowy był zadowalający – mówi dr n. med. Ryszard Walas z Oddziału Chirurgii Naczyniowej i Endowaskularnej w Śląskim Centrum Chorób Serca w Zabrzu.
Zmniejszyć ryzyko
Chorzy kwalifikowani do leczenia z powodu zwężenia tętnic szyjnych dzieleni są na dwie grupy – tych, którzy doznali objawów niedokrwiennych mózgu w przeszłości w postaci udaru lub przejściowego niedokrwienia mózgu nieskutkującego udarem, oraz pacjentów, u których przypadkowo, np. w trakcie badań okresowych, wykryto zwężenie tętnicy szyjnej. Zdaniem chirurgów naczyniowych jakiekolwiek leczenie zabiegowe ma sens, gdy ryzyko udaru po jego wykonaniu jest wyraźnie mniejsze w stosunku do podobnie zdiagnozowanych, ale leczonych zachowawczo osób.
– Na podstawie wieloośrodkowych, międzynarodowych, randomizowanych badań chorych leczonych obiema metodami tworzone i aktualizowane są wytyczne mówiące o sposobie postępowania. Uwzględniają one stopień i rodzaj zwężenia oraz wiele innych czynników wpływających na dalszy przebieg i rokowanie. Przy zachowaniu niskich wartości powikłań okołooperacyjnych przyjmuje się, że zabiegi z wykorzystaniem jednej z metod przynoszą korzystne efekty w przypadku znacznego, przekraczającego 70 proc. zwężenia potwierdzonego metodą naczyniowej tomografii komputerowej lub badaniem Dopplera – dodaje dr Walas.
Zabiegi chirurgiczne i endowaskularne przeprowadza się w celu zmniejszenia ryzyka udaru mózgu tylko u pacjentów, u których występuje odpowiednie zwężenie tętnic szyjnych. Trzeba jednak wspomnieć, że ryzyko udaru niedokrwiennego mózgu rośnie z wiekiem, występuje często u pacjentów w ósmej dekadzie życia (ok. 10 proc. ryzyka w skali roku) i bardzo często (ok. 20 proc. ryzyka w skali roku) u pacjentów w dziewiątej dekadzie życia, jednak większość tych udarów (ok. 80 proc.) nie jest związana ze zwężeniem tętnic szyjnych. Prawidłowo wykonany zabieg nie wyklucza wystąpienia u chorego udaru mózgu, ale ponaddwukrotnie zmniejsza ryzyko jego wystąpienia.
– Jeśli zwężenie tętnicy oceniamy na poziomie 80-99 proc., to prawdopodobieństwo wystąpienia udaru u takiego pacjenta jest większe niż przy zwężeniu granicznym (70 proc.), więc wykonany zabieg jeszcze bardziej zmniejsza ryzyko udaru – dodaje dr Walas.
Chirurgicznie lub wewnątrznaczyniowo
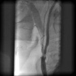
Obecnie wskazuje się na wyższą skuteczność metody chirurgicznej niż endowaskularnej, ponieważ wiąże się ona z mniejszym ryzykiem powikłań, czyli udarów okołooperacyjnych i restenoz w odległym okresie pooperacyjnym. Wskazuje się również na konieczność doboru metody leczenia do indywidualnego przypadku. Każdy wykonany zabieg jest jednak skomplikowaną procedurą wymagającą dużego doświadczenia. Typowo chirurgiczny zabieg polega na dotarciu do tętnicy szyjnej, zamknięciu na czas ingerencji operowanego odcinka w celu uniknięcia krwawienia i otwarcia fragmentu, z którego przy użyciu odpowiednich narzędzi muszą zostać usunięte blaszki miażdżycowe. Po takim „oczyszczeniu” zwykle pozostaje sama przydanka tętnicy (ryc. 1, 2).
– Sposób zamknięcia zależy głównie od jej szerokości i poza zwykłym szwem ciągłym stosuje się w przypadku wąskich tętnic łaty sztuczne lub rzadziej z żyły własnej pacjenta. Zwiększamy tym samym światło przepływu krwi i stabilizujemy operowaną tętnicę – opisuje dr Walas.
Co w sytuacji, gdy jedna tętnica szyjna jest całkowicie niedrożna, a druga zwężona? Wtedy zmieniają się kryteria oceny przedoperacyjnej i próg kwalifikacji do zabiegu obniża się ze wspomnianych 70 proc. do 60 proc. zwężenia (w tym przypadku drugiej tętnicy). Taka zmiana założeń jest ważna ze względu na mniejszy przepływ krwi do mózgu i duże ryzyko przedostania się do niej elementów morfotycznych, czyli blaszki miażdżycowej lub skrzeplin mogących spowodować udar mózgu.
– Gdy jedna tętnica jest całkowicie niedrożna, a druga zwężona powyżej 60 proc., ryzyko udaru mózgu może wystąpić z dwóch przyczyn – zarówno z powodu słabego przepływu krwi do mózgu spowodowanego również zmianami miażdżycowymi w samych naczyniach wewnątrzczaszkowych, jak i możliwości przedostania się do niej blaszki miażdżycowej – opisuje dr Walas i wskazuje na kolejne zagrożenie wynikające z konieczności zamknięcia na czas zabiegu jedynej czynnej tętnicy szyjnej.
– Musimy zamknąć ją na 20-25 minut. Zwykle krew w tym czasie dociera do mózgu tętnicami kręgowymi i drugą szyjną. W przypadku całkowitej niedrożności jednej tętnicy wydolność koła tętniczego Willisa jest mała i przy „zaklemowaniu” tej operowanej może dojść do utraty przytomności pacjenta. Aby nabrać przekonania, że w czasie zabiegu ilość docierającej do mózgu krwi jest wystarczająca, operację wykonujemy w znieczuleniu miejscowym, zapewniając sobie stały kontakt z chorym. Gdy jego świadomość zanika, bardzo szybko zakładamy czasowe krążenie omijające w postaci specjalnej, plastikowej rurki, zapewniając ponowny dopływ krwi do mózgu i tym samym redukując jej deficyt. W tym przypadku lepszym rozwiązaniem jest zastosowanie metody endowaskularnej, ale ze względu na zmiany miażdżycowe i niekorzystną anatomię dotarcie od uda do szyi pacjenta nie zawsze jest możliwe – dodaje dr Walas.





