IV edycja Kongresu HPV już 12-13 czerwca! Poznaj najnowsze trendy w profilaktyce, diagnostyce i leczeniu raka szyjki macicy i innych schorzeń związanych z HPV | Sprawdź >
Radiologia
Uraz okolicy pięty
dr n. med. Piotr Grzelak, prof. dr hab. med. Ludomir Stefańczyk
OPIS PRZYPADKU
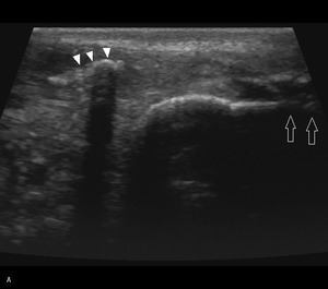
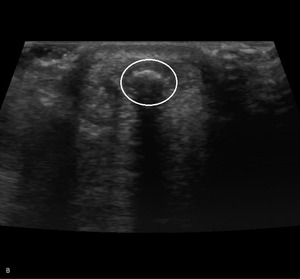
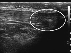
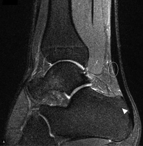
Pacjent, lat 52, zgłosił się do lekarza ortopedy z powodu silnego bólu w okolicy prawej pięty, który wystąpił nagle poprzedniego dnia podczas treningu piłki nożnej. Pacjent uprawia sport regularnie. Do tej pory nie cierpiał z powodu żadnych dolegliwości bólowych tej okolicy, a początek bólu nie był związany z bezpośrednim urazem. Podczas badania stopy okolica ścięgna Achillesa (piętowego) była obrzęknięta i bolesna, ruchy czynne w stawie skokowym znacznie ograniczone. Stwierdzono brak palpacyjnej bolesności w okolicy kostki przyśrodkowej i bocznej z zachowaną stabilnością w ruchach na boki.
1. Jaka jest najbardziej prawdopodobna przyczyna opisanych dolegliwości?
a. Zapalenie kaletki głębokiej ścięgna Achillesa
b. Zerwanie ścięgna Achillesa
c. Złamanie zmęczeniowe kości piętowej
Obrzęknięta okolica ścięgna Achillesa wraz z nagłym początkiem dolegliwości wskazuje na jego zerwanie. Niemniej możliwość wykonywania czynnych ruchów w stawie skokowym, nawet w niewielkim zakresie, przemawia za innym rozpoznaniem. Nie występuje też wyczuwalna luka w ścięgnie, jednak może być ona maskowana obrzękiem tej okolicy. Zapalenie kaletki głębokiej ścięgna Achillesa również może wywołać podobne objawy. Często wiąże się ono z występowaniem wyrośli kostnej na kości piętowej (deformacja Haglunda), która drażniąc kaletkę, wywołuje jej stan zapalny. Do złamań zmęczeniowych kości piętowej najczęściej dochodzi u żołnierzy oraz sportowców, którzy biegają długie dystanse po twardym podłożu. Jednakże w tym wypadku jest to mało prawdopodobne rozpoznanie, ponieważ pacjent może stanąć na pięcie oraz nie ma krwiaka i obrzęku tej okolicy.







