Kongres Akademii po Dyplomie Pediatria 2026 👉 200 zł taniej do 27.02. Spotkajmy się 17-18 kwietnia w Warszawie | Skorzystaj z oferty >
Radiologia
Żółtaczka mechaniczna
prof. dr hab. med. Ludomir Stefańczyk
OPIS PRZYPADKU
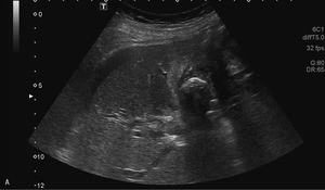
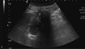
63-letnią kobietę przyjęto na oddział chirurgiczny z przewlekłymi bólami brzucha nasilającymi się w ostatnich 3 tygodniach. Od tygodnia obserwowano zażółcenie powłok, wymioty, odbarwienie stolca i brak łaknienia, co sugerowało żółtaczkę mechaniczną. W ciągu ostatnich 2 miesięcy masa ciała pacjentki zmniejszyła się o 8 kg. Na podstawie wcześniejszych badań USG, wykonanych 10 i 12 lat temu, rozpoznano u niej kamicę pęcherzyka żółciowego. Żółtaczkę potwierdzono w badaniach laboratoryjnych. Wykazano w nich także leukocytozę oraz podwyższone stężenie dimera D i CRP. W wykonanym przy przyjęciu badaniu USG zaobserwowano liczne złogi w pęcherzyku żółciowym i pogrubienie jego ściany z nieregularnym hiperechogenicznym naciekiem w sąsiadującym miąższu wątroby. Stwierdzono także poszerzenie dróg żółciowych wewnątrzwątrobowych w obrębie prawego płata oraz obecność niewielkiej ilości wolnego płynu w jamie otrzewnej (ryc. 1A, B). W dnie pęcherzyka uwidoczniono silne echo zlokalizowane w zarysie ściany narządu (ryc. 1C).
1. Jakie rozpoznanie wydaje się najbardziej prawdopodobne?
a. Kamica pęcherzyka żółciowego z ostrym stanem zapalnym przechodzącym na miąższ wątroby
b. Kamica pęcherzyka żółciowego z perforacją ściany i migracją złogu do jamy otrzewnej
c. Rak pęcherzyka żółciowego ze współistniejącą kamicą i przewlekłym stanem zapalnym
Wszystkie przedstawione warianty rozpoznania są prawdopodobne. Obraz USG z ryciny 1C sugeruje obecność złogu poza obrysem zmienionego zapalnie pęcherzyka żółciowego (rozpoznanie kamicy jest oczywiste na podstawie wcześniejszych obrazów). Bezdyskusyjne jest także rozpoznanie rozległego nacieku, prawdopodobnie zapalnego, w ścianie i w sąsiedztwie pęcherzyka. Fakt ten mocno uprawdopodabnia wytworzenie odleżyny w dnie pęcherzyka, perforacja jego ściany i migracja złogu do jamy otrzewnej.
2. Jakie badanie pozwoli na potwierdzenie podejrzeń wysuniętych po analizie wyników badania USG?
a. Cholangiografia wsteczna
b. Tomografia komputerowa (TK) z podaniem środka cieniującego
c. Rezonans magnetyczny (RM) z podaniem środka cieniującego
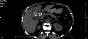
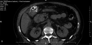
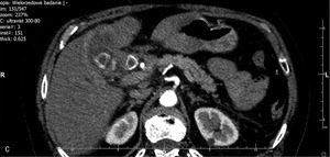
U chorej wykonano badanie TK z fazą pokontrastową (ryc. 2A-C).
Spośród wymienionych wyżej jest to metoda optymalna ze względu na koszt i dostępność oraz wartość diagnostyczną. Badanie wykluczyło obecność złogu w jamie otrzewnej, potwierdzając jednocześnie występowanie zwapnień pozapalnych w dnie pęcherzyka żółciowego i rozległego nacieku w sąsiadującym miąższu wątroby. Obraz zmiany i charakter wzmocnienia w fazie tętniczej (ryc. 2C) nie pozwalają na różnicowanie zapalenia i nacieku raka pęcherzyka żółciowego.
U chorej wykonano zabieg biopsji cienkoigłowej zmian ogniskowych wątroby zlokalizowanych w sąsiedztwie pęcherzyka żółciowego. Wyniki badania cytologicznego bioptatu potwierdziły obecność raka pęcherzyka żółciowego.





