IV edycja Kongresu HPV już 12-13 czerwca! Poznaj najnowsze trendy w profilaktyce, diagnostyce i leczeniu raka szyjki macicy i innych schorzeń związanych z HPV | Sprawdź >
Radiologia
Zapalenie trzustki
prof. dr hab. med. Ludomir Stefańczyk
OPIS PRZYPADKU
55-letni mężczyzna został przyjęty na oddział chirurgiczny z powodu silnych bólów brzucha, wymiotów i zaburzeń oddawania stolca – objawów sugerujących ostre zapalenie trzustki. W badaniach laboratoryjnych potwierdzono rozpoznanie. Wykonano badanie USG, które ujawniło powiększenie trzustki i zatarcie jej echostruktury. Pełną ocenę utrudniało napięcie powłok brzusznych, obrzęk krezki oraz obecność gazu w rozdętych pętlach jelit. Wykonano dwufazowe badanie TK, które potwierdziło obecność obrzękowej postaci zapalenia trzustki. Nie stwierdzono wówczas płynu w jamie otrzewnej. Śladowa ilość płynu była widoczna w lewej jamie opłucnowej (ryc. 1).
Rycina 1. Badanie TK w ostrej fazie zapalenia trzustki. A. Przekrój poprzeczny. Widoczne znaczne poszerzenie trzustki (obrzęk) z obecnością nacieku zapalnego w otaczającej tkance tłuszczowej, penetrującego wzdłuż naczyń w kierunku widocznej fragmentarycznie (biegun przedni) śledziony. B. Przekrój czołowy. Widoczna niepowiększona śledziona. Cechy nacieku zapalnego w okolicy przedniego bieguna. Bez cech nacieku i przestrzeni płynowych w otoczeniu nerek i mięśni biodrowo-lędźwiowych.
Pacjenta leczono zachowawczo, uzyskując poprawę stanu klinicznego i normalizację parametrów laboratoryjnych. Po czterotygodniowej hospitalizacji wypisano go do domu, w stanie ogólnym dość dobrym, w celu kontynuowania leczenia w trybie ambulatoryjnym.
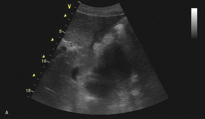
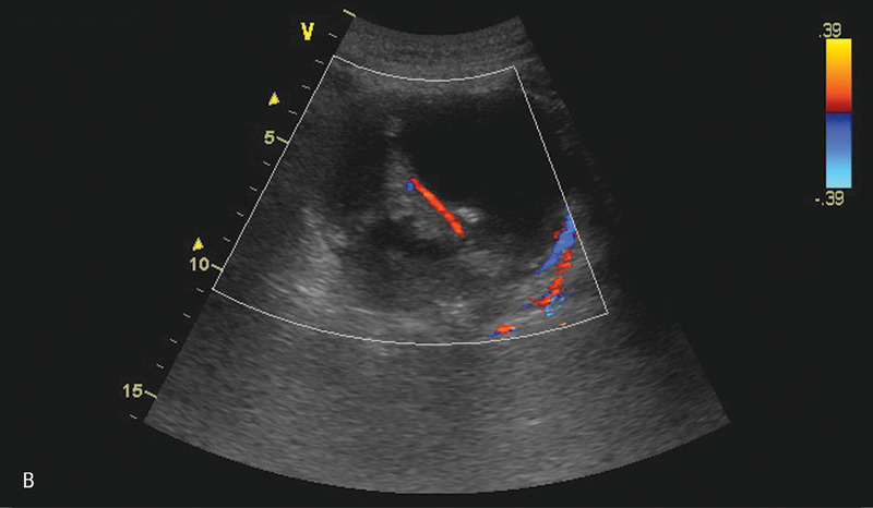
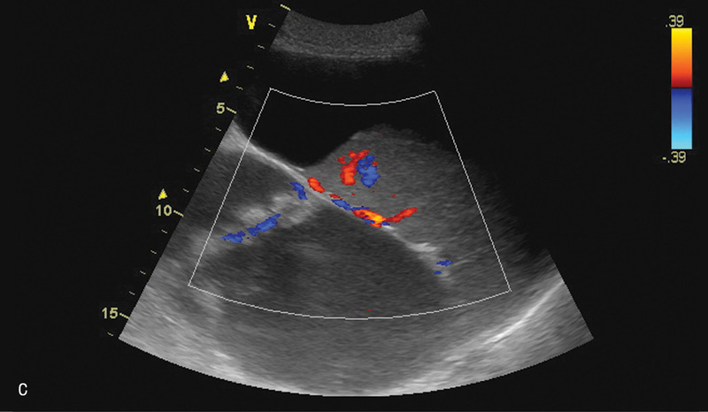
Po kolejnych 3 tygodniach nastąpiło nasilenie dolegliwości sugerujących zaostrzenie zapalenia (wymioty, bóle brzucha, wzdęcie). Pacjenta ponownie przyjęto na oddział chirurgiczny. Rozpoznanie nawrotu zapalenia potwierdzono w badania laboratoryjnych. Wykonano badanie USG, które wykazało obecność kilku zbiorników płynu w śródbrzuszu, w rzucie trzustki oraz po stronie lewej w nadbrzuszu i w lewej jamie opłucnowej (ryc. 2).
Rycina 2. Badanie USG jamy brzusznej. A. Przekrój poprzeczny przez nadbrzusze. Widoczny hipoechogeniczny zbiornik płynu w rzucie głowy trzustki, przesłonięty powierzchownie przez dwunastnicę. B. Przekrój podłużny przez nadbrzusze. Widoczny opisywany grubościenny zbiornik płynu w śródbrzuszu. W centralnej części widoczne zmiany otoczone płynem naczynia. C. Przekrój podłużny przez lewe podżebrze. Widoczne kolejne zbiorniki płynu w otoczeniu śledziony oraz w rzucie trzonu żołądka.
1. Jaki charakter mają uwidocznione zbiorniki płynu?
a. Pseudotorbieli trzustki
b. Ropni międzypętlowych
c. Płynu wysiękowego w jamie otrzewnej
W przewlekłym zapaleniu trzustki najbardziej prawdopodobne jest utworzenie się pseudotorbieli trzustki, jednak często obserwuje się także obecność wysięku w jamie otrzewnej oraz w lewej jamie opłucnowej. Zakażenie przestrzeni płynowych często prowadzi do powstania ropni. Badania obrazowe, zwłaszcza tomografia komputerowa, umożliwiają precyzyjną lokalizację zmian, ale nie pozwalają na określenie ich charakteru. Destrukcja ściany naczynia może doprowadzić do powstania torbieli krwotocznej lub tętniaka rzekomego.
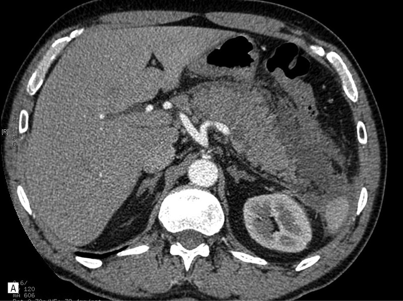
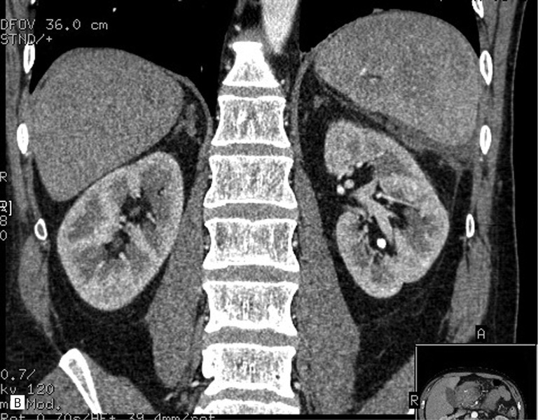
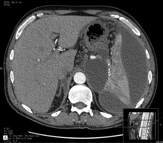
Wykonano badanie TK, które potwierdziło obecność zbiorników płynu w rzucie trzustki oraz w sąsiedztwie śledziony. Stwierdzono śladową ilość płynu w jamie otrzewnej i w lewej jamie opłucnowej (ryc. 3).
Rycina 3. Badanie TK w fazie nawrotu OZT. A. Przekrój poprzeczny przez nadbrzusze. Widoczny hipodensyjny zbiornik płynu w rzucie trzustki. Kolejne zbiorniki widoczne w otoczeniu śledziony. B. Przekrój czołowy przez nadbrzusze. Widoczny hipodensyjny zbiornik płynu w rzucie trzustki. Kolejny widoczny jest w otoczeniu śledziony.
2. Jakie leczenie należy zastosować?
a. Zachowawcze
b. Drenaż przezskórny torbieli wykonany pod kontrolą USG
c. Operacyjne usunięcie torbieli






