Kongres Akademii po Dyplomie Pediatria 2026 👉 200 zł taniej do 27.02. Spotkajmy się 17-18 kwietnia w Warszawie | Skorzystaj z oferty >
Radiologia
Co może dać TK serca u bezobjawowego pacjenta?
dr n. med. Magdalena Zagrodzka, EUROMEDIC Polska
lek. med. Krzysztof Palonka, Poradnia kardiologiczna „PULS” Zielona Góra
OPIS PRZYPADKU
59-letni mężczyzna został skierowany do poradni kardiologicznej z rozpoznanym nadciśnieniem tętniczym i zaburzeniami gospodarki lipidowej. Rozpoznanie zostało ustalone przed 3 miesiącami przez lekarza POZ. Odnotowano wówczas ciśnienie tętnicze 180/105 mmHg, a wyniki badań biochemicznych były następujące: stężenie cholesterolu całkowitego – 262 mg/dl, HDL – 60 mg/dl, LDL – 148 mg/dl, triglicerydów – 266 mg/dl, AspAt – 31 j./l, AlAt – 41 j./l, CRP – 0,26 mg/l, TSH – 0,569 mj./l, glukozy – 106 mg/dl, Hb – 14,5 g/dl. Pacjent skarżył się na duszność wysiłkową przy dużych obciążeniach, codzienny umiarkowany wysiłek tolerował dobrze, nie zgłaszał dolegliwości bólowych w klatce piersiowej. Palił 10 papierosów dziennie, od 30 lat. Jego ojciec przebył zawał mięśnia sercowego w wieku 40 lat. Pacjent pracował jako dziennikarz radiowy.
W ramach POZ zastosowano leczenie metoprololem (1 × 50 mg), ramiprylem (1 × 10 mg), amlodypiną (10 mg), fenofibratem (1 × 200 mg) i kwasem acetylosalicylowym (1 × 75 mg). W czasie pierwszej wizyty w poradni kardiologicznej pacjent nie zgłaszał dolegliwości. Odnotowano masę ciała 89,5 kg, wzrost 187 cm, BMI 25,5. Ciśnienie tętnicze krwi wynosiło 130/80 mmHg, czynność serca była miarowa, 72/min, nie stwierdzono zmian osłuchowych nad sercem i polami płucnymi ani innych odchyleń od stanu prawidłowego.
Diagnostyka
Wdrożono wstępną nieinwazyjną diagnostykę kardiologiczną, obejmującą:
- Badanie EKG, w którym zarejestrowano rytm zatokowy miarowy o częstości 60/min, pośrednie ustawienie osi, brak zmian patologicznych.
- Badania laboratoryjne – lipidogram, wykonany w trakcie stosowania od 3 miesięcy fenofibratu (200 mg/24 h), w którym odnotowano: stężenie cholesterolu całkowitego – 230 mg/dl, HDL – 47 mg/dl, LDL – 141 mg/dl, triglicerydów – 209 mg/dl.
- Badanie echokardiograficzne, w którym nie stwierdzono zmian patologicznych: wymiar końcoworozkurczowy lewej komory wynosił 49 mm, wymiar prawej komory – 24 mm, wymiar lewego przedsionka – 39 mm, średnica aorty wstępującej – 30 mm, grubość przegrody międzykomorowej – 11 mm, grubość tylnej ściany lewej komory – 10 mm. Zastawki serca morfologicznie i czynnościowo były prawidłowe, frakcja wyrzutowa lewej komory wyliczona metodą Simpsona wynosiła 63%, nie stwierdzono objawów rozkurczowej dysfunkcji lewej komory.
- Próbę wysiłkową EKG. Pomimo braku klinicznych objawów choroby wieńcowej pacjent spełniał wskazania do wykonania elektrokardiograficznej próby wysiłkowej (mężczyzna bezobjawowy, w wieku ponad 40 lat, z co najmniej jednym czynnikiem ryzyka choroby wieńcowej). Badanie wykonano na bieżni ruchomej wg protokołu Bruce’a. Tętno spoczynkowe przed badaniem wynosiło 55/min, ciśnienie tętnicze 140/80 mmHg. Wysiłek przerwano w 8. min 36. sek. badania z powodu zgłoszonego przez pacjenta dużego zmęczenia. Ani podczas wysiłku, ani po jego przerwaniu pacjent nie zgłaszał bólu w klatce piersiowej. Uzyskano przyspieszenie tętna (138/min, co wynosiło 86% przewidywanego tętna maksymalnego), ciśnienie tętnicze na szczycie wysiłku 180/80 mmHg, koszt metaboliczny wyniósł 10,1 MET. W zapisie EKG podczas i po wysiłku nie obserwowano istotnych zmian odcinka ST ani zaburzeń rytmu serca. Wynik badania uznano za ujemny przy osiągnięciu tętna submaksymalnego.
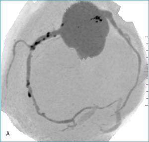
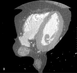
Rycina 1. Badanie tętnic wieńcowych metodą tomografii komputerowej. A. Rekonstrukcja MIP Inwers (maximum intensity projection) – widoczne liczne zwapnienia w lewej tętnicy wieńcowej oraz krytyczne zwężenie w jej środkowym segmencie. B. Rekonstrukcja VR (volume rendering) – krytyczne zwężenie środkowego segmentu lewej tętnicy wieńcowej oraz gałęzi diagonalnej. C. Warstwa poprzeczna (axial) – widoczna blaszka niskiej gęstości wypełniająca światło segmentu środkowego lewej tętnicy wieńcowej.
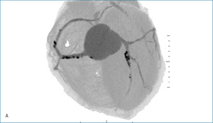
Rycina 2. Badanie tętnic wieńcowych metodą tomografii komputerowej. A. Rekonstrukcja MIP Inwers (maksimum intensity projection) – widoczne wielopoziomowe zmiany w prawej tętnicy wieńcowej. B. Warstwa poprzeczna (axial) – obraz remodelingu dodatniego ściany naczynia w segmencie 3 prawej tętnicy wieńcowej; blaszka niskiej gęstości zwęża światło w 40%, jednak jej faktyczna wielkość ukryta jest dzięki modelowaniu ściany naczynia na zewnątrz.
Ponieważ nie udało się uzyskać podczas badania obciążeniowego maksymalnej częstości rytmu serca (badanie wykonano podczas stosowania metoprololu w dawce 50 mg/24 h), a pacjenta należało uznać za obciążonego wysokim ryzykiem (płeć, wiek, obciążenie rodzinne, nadciśnienie tętnicze, hiperlipidemia, nikotynizm), zdecydowano o wykonaniu badania obrazowego – tomografii komputerowej tętnic wieńcowych. Wykonano:
- tomografię komputerową serca, w której odnotowano następujące wyniki:
– Wskaźnik uwapnienia – 797.
– Tętnice wieńcowe: pień lewej tętnicy wieńcowej (LTW) bez zmian.
– Gałąź przednia zstępująca (GPZ): segment 6 z blaszką niskiej gęstości ~30% (remodeling dodatni ściany!); segment 7 – długa blaszka (12-15 mm) niskiej gęstości z remodelingiem dodatnim ściany, zwężająca w części środkowej krytycznie światło ~95%. Referencja proksymalna 4,3 mm, dystalna 2,1 mm; segment 7 za zmianą i segment 8 z wielopoziomowymi blaszkami niskiej gęstości ~30% (ryc. 1).
– Gałąź okalająca (GO): segment 11 – koncentryczne blaszki niskiej gęstości ~20-40% z remodelingiem dodatnim ściany naczynia (!). Gałąź marginalna 1 – proksymalnie blaszki niskiej gęstości ~40%. Obwód niewidoczny. Gałąź marginalna 2 – proksymalnie koncentryczne blaszki niskiej gęstości ~40%.
– Prawa tętnica wieńcowa (PTW): segment 1 – uwapnione wielopoziomowe zmiany ~30% przechodzą w blaszkę niskiej gęstości ~60%; segment 2 – wielopoziomowe blaszki mieszanej gęstości ~30%; segment 3 – blaszki niskiej gęstości ~30-50% z remodelingiem dodatnim ściany naczynia (!). Obwód – zmiany przyścienne (ryc. 2).
– Wynik oceny czynności mięśnia lewej komory: ESV (end systolic volume) – 48 ml, EDV (end diastolic volume) – 173 ml, SV (stroke volume) – 124 ml, EF (ejection fraction) – 71%, CO (cardiac output) – 6187 ml/min, czynność serca podczas badania – 49/min.
Pacjenta skierowano na koronarografię.
Leczenie inwazyjne
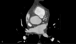
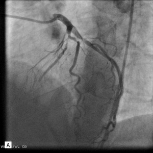
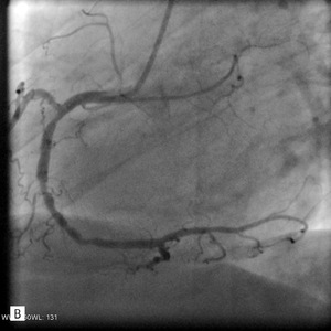
W koronarografii odnotowano następujące wyniki: pień LTW bez zwężeń, gałąź przednia zstępująca – po odejściu gałęzi diagonalnej (D1) subtotalne zamknięcie, na obwodzie istotne zwężenie, D1 – w ujściu zwężenie krytyczne; gałąź okalająca – dwa istotne zwężenia w odcinku początkowym i środkowym, prawa tętnica wieńcowa – dwa istotne zwężenia w segmencie 2 i 3 (ryc. 3).
Rycina 3. Badanie tętnic wieńcowych metodą koronarografii. A. Pień LTW – bez zwężeń, gałąź przednia zstępująca (GPZ) – po oddaniu gałęzi diagonalnej subtotalne zamknięcie, na obwodzie istotne zwężenie. B. Prawa tętnica wieńcowa – dwa istotne zwężenia w segmencie 2 i 3.
Pacjentowi zaproponowano zabieg pomostowania aortalno-wieńcowego (CABG – coronary artery bypass graft), na który nie wyraził zgody.
Podjęto próbę przezskórnej angioplastyki wieńcowej (PTCA – percutaneous transluminal coronary angioplasty) gałęzi przedniej zstępującej i gałęzi diagonalnej lewej tętnicy wieńcowej. Próba przejścia do GPZ nie powiodła się, stent „uwolnił” się z balonu. Doszło do uwięźnięcia nierozprężonego stentu w lewej tętnicy wieńcowej i rozwarstwienia lewej tętnicy wieńcowej.
Uwagi praktyczne radiologa
1. W przypadku pacjentów po 50. r.ż. z dodatnim wywiadem rodzinnym w kierunku choroby wieńcowej, z ujemnymi wynikami testów kardiologicznych i laboratoryjnych oraz niejednoznacznym obrazem klinicznym warto rozważyć wykonanie badania tętnic wieńcowych metodą wielorzędowej TK.
2. Jedyne obciążenie pacjenta podczas badania TK to:
a. środek cieniujący podawany podczas badania metodą TK tętnic wieńcowych o objętości 60-100 ml (w zależności od masy ciała)
b. promieniowanie X pochłonięte podczas badania, którego dawka nie powinna przekroczyć 5-10 mSv, a przy aparatach z bramkowaniem prospektywnym – 1,5-3 mSv (w przypadku koronarografii – 3-4 mSv).
3. Tomografia komputerowa jako jedyna nieinwazyjna metoda uwidacznia ścianę naczynia oraz cechy blaszki niestabilnej, tzw. gorącej, czego nie można uzyskać za pomocą metody klasycznej koronarografii.
4. Kierując pacjenta na badanie TK serca, wymagaj od lekarza opisującego określenia cech morfologii blaszek miażdżycowych świadczących o możliwej niestabilności blaszki. Należą do nich: niska gęstość blaszki, remodeling dodatni ściany naczynia, brak zwapnień w blaszce.






