Kongres Akademii po Dyplomie Pediatria 2026 👉 200 zł taniej do 27.02. Spotkajmy się 17-18 kwietnia w Warszawie | Skorzystaj z oferty >
Sympozjum: dermatologia
Postępowanie w chłoniaku T-komórkowym skóry
Chris Duhovic, clinical fellow in dermatology Fiona Child, consultant dermatologist E. Mary Wain, consultant dermatologist
Chłoniaki skóry należą do grupy chorób limfoproliferacyjnych charakteryzujących się naciekiem skóry przez zmienione nowotworowo limfocyty. Chłoniak skóry może rozwinąć się jako efekt wtórnego zajęcia skóry przez chłoniaka uogólnionego lub jako zmiana pierwotna. Skóra stanowi drugą, po układzie pokarmowym, najczęstszą pozawęzłową lokalizację chłoniaka pierwotnego. Prawie 2/3 pierwotnych chłoniaków skóry wywodzi się z limfocytów T. Nowe przypadki chłoniaka T-komórkowego skóry (CTCL – cutaneous T-cell lymphoma) występują z częstością 0,4/100 tys. osób/rok, przy czym największą częstość obserwuje się w przedziale wiekowym 40-60 lat. W Stanach Zjednoczonych CTCL występuje częściej u osób rasy czarnej i 2-krotnie częściej u mężczyzn.1 W artykule skupiono się na dwóch najczęstszych podtypach pierwotnego CTCL: ziarniniaku grzybiastym (MF – mycosis fungoides) i zespole Sézary’ego (Sézary syndrome).
Najważniejsze zagadnienia
● Chłoniak T-komórkowy skóry (CTCL – cutaneous T-cell lymphoma) jest rzadkim nowotworem złośliwym skóry i zazwyczaj przyjmuje postać plam lub blaszek, rzadziej postać guzowatą lub z zajęciem węzłów chłonnych i krwi obwodowej.
● Ziarniniak grzybiasty ma zazwyczaj powolny przebieg, dlatego w jego przypadku można zastosować tzw. leczenie ukierunkowane na skórę.
● Ustalenie rozpoznania może sprawiać trudności i CTCL może być łatwo pomylony z inną chorobą skóry, dlatego często konieczne jest powtarzanie biopsji.
● W celu szybkiego ustalenia rozpoznania i wdrożenia optymalnego postępowania niezbędne jest zaangażowanie specjalistycznego, wielodyscyplinarnego zespołu.
● Rokowanie w dużym stopniu zależy od stadium zaawansowania klinicznego choroby, ale najnowsze dane naukowe dowodzą, że również inne czynniki mają istotne znaczenie.
● Badania nad nowymi lekami dają nadzieję dla pacjentów z oporną na leczenie postacią choroby.
Ziarniniak grzybiasty
Ziarniniak grzybiasty stanowi ok. 60% nowych przypadków CTCL. Jest to zmiana zwykle rozwijająca się powoli w ciągu lat lub nawet dekad. Pacjenci najczęściej zgłaszają się z powodu zmian skórnych w postaci plam lub blaszek, które można łatwo pomylić z wypryskiem lub łuszczycą. Jednak do zmian typowych dla ziarniniaka grzybiastego należą dobrze odgraniczone, asymetryczne plamy rumieniowe i blaszki, z zanikiem naskórka, nierównością powierzchni i drobnymi łuskami, pojawiające się w miejscach nienarażonych na promieniowanie słoneczne, głównie w obszarze obręczy kończyny dolnej (ryc. 1).
Rycina 1. (a) Stadium naciekowe ziarniniaka grzybiastego, (b) stadium guzowate, (c) ziarniniak grzybiasty z erytrodemią
Do mniej powszechnych wariantów choroby należą: plamy hipopigmentacyjne (szczególnie u osób z silną pigmentacją – z V lub VI fototypem skóry), odmiana folikulotropowa i poikilodermia (z rumieniem, teleangiektazjami, zanikiem skóry i zwiększoną lub zmniejszoną jej pigmentacją). W 10% przypadków ziarniniak grzybiasty objawia się jako spoiste guzy, którym towarzyszą plamy, blaszki lub erytrodemia (ryc. 1). W jego przebiegu często dochodzi do owrzodzeń w obrębie zmian guzowatych i wtórnego zakażenia, będącego przyczyną znacznej chorobowości.
Zespół Sézary’ego
Zespół Sézary’ego jest definiowany jako CTCL z towarzyszącą erytrodemią oraz cechami chłoniaka stwierdzanymi w węzłach chłonnych i obrazie krwi obwodowej. Kryteria te stwierdza się w 5% nowych przypadków CTCL.
Diagnostyka i klasyfikacja
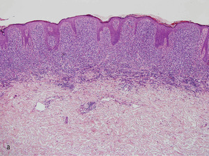
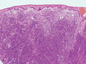
Rycina 2. (a) Badanie histopatologiczne blaszki charakterystycznej dla ziarniniaka grzybiastego ukazuje gęsty naciek komórek jednojądrzastych w obrębie górnej warstwy skóry właściwej. (b) Badanie histopatologiczne guza w przebiegu ziarniniaka grzybiastego ukazuje znaczny i rozległy naciek komórek jednojądrzastych bez cech epidermotropizmu. (c) Analiza polimorfizmu konformacji jednoniciowych fragmentów DNA. Na żelu poliakrylamidowym stwierdzono obecność klonu limfocytów T w obrębie skóry i poliklonalność krwi obwodowej.
Diagnostyka CTCL jest trudna i często wymaga powtarzanych biopsji skóry, ze zwróceniem uwagi na korelację obrazu klinicznego i histopatologicznego. U pacjentów z podejrzeniem CTCL w ramach wstępnej diagnostyki należy wykonać:
- Biopsję skóry ze zmian o różnym stopniu zaawansowania klinicznego w celu wykonania:
– badania histopatologicznego (ryc. 2a i 2b)
– immunofenotypowania
– badania rearanżacji genów receptora limfocytów T (TCR – T-cell receptor) metodą łańcuchowej reakcji polimerazy (PCR – polymerase chain reaction) w celu wykrycia obecności klonalnej populacji limfocytów T (ryc. 2c) - Badania krwi obwodowej, na które składają się: morfologia, ocena subpopulacji limfocytów, liczby komórek Sézary’ego (w rozmazie krwi), ocena aktywności dehydrogenazy mleczanowej, badania w kierunku HTLV-1 (ludzki wirus T-limfotropowy 1/human T-lymphotropic virus 1) i HIV.
Jeśli u pacjenta występują zmiany guzowate w obrębie skóry, erytrodemia lub wyczuwalne powiększone węzły chłonne, należy również wykonać tomografię komputerową (TK) klatki piersiowej, jamy brzusznej i miednicy lub pozytonową emisyjną tomografię komputerową (PET-TK). Jeżeli w badaniu obrazowym stwierdza się występowanie węzłów chłonnych o wielkości >1,5 cm, zaleca się pobranie całego węzła w celu przeprowadzenia oceny histopatologicznej, immunofenotypowania i badania receptora limfocytów T. Wycięcie całego węzła pozwala uzyskać reprezentatywne próbki oraz ocenić strukturę węzła istotną dla oceny stopnia zaawansowania klinicznego choroby.2 Biopsja szpiku kostnego jest zalecana w szczególnych przypadkach, przy obecności dużej liczby komórek nowotworowych we krwi obwodowej.
Klasyfikacja i ocena zaawansowania klinicznego CTCL opiera się na systemie TNMB (tumour, node, metastasis, blood – guz, węzły chłonne, przerzuty odległe, krew obwodowa), opracowanym przez European Organisation for Research and Treatment of Cancer (EORTC) i International Society for Cutaneous Lymphoma (ISCL). W ciągu ostatnich lat omawiana klasyfikacja ulegała zmianom ze względu na postępy w diagnostyce i lepsze zrozumienie czynników mających wpływ na rokowanie. Najnowszą wersję klasyfikacji przedstawiono w tabelach 1 i 2.
Tabela 1.
|
Zmiany klasyfikacji ziarniniaka grzybiastego i zespołu Sézary’ego wg ISCL/EORTC2 |
|
|
Stadium TNMB |
Opis |
|
Skóra |
|
|
T1 |
Ograniczone plamy rumieniowe lub blaszki zajmujące <10% powierzchni ciała Można także wyodrębnić stadium T1a (obecne tylko plamy) v. T1b (obecne blaszki i plamy) |
|
T2 |
Plamy lub blaszki pokrywające >10% powierzchni ciała W dalszym przebiegu można wyodrębnić stadium T2a (obecne tylko plamy) v. T2b (obecne blaszki i plamy) |
|
T3 |
Guz pojedynczy lub guzy liczne |
|
T4 |
Erytrodermia zajmująca ≥80% powierzchni ciała |
|
Węzły chłonne |
|
|
N0 |
Węzły chłonne w badaniu palpacyjnym bez zmian Nie ma potrzeby wykonywania biopsji |
|
N1 |
Palpacyjnie nieprawidłowe węzły chłonne Badanie histopatologiczne – stopień 1 wg skali holenderskiej lub NCI LN0-2
|
|
N2 |
Palpacyjnie nieprawidłowe węzły chłonne Badanie histopatologiczne – stopień 2 wg skali holenderskiej lub NCI LN3
|
|
N3 |
Palpacyjnie nieprawidłowe węzły chłonne Badanie histopatologiczne – stopień 3-4 wg skali holenderskiej lub NCI LN4
|
|
N4 |
Palpacyjnie nieprawidłowe węzły chłonne Brak potwierdzenia histopatologicznego |
|
Organy wewnętrzne – przerzuty odległe |
|
|
M0 |
Organy wewnętrzne niezajęte |
|
M1 |
Organy wewnętrzne zajęte (potwierdzenie badaniem histopatologicznym) |
|
Krew obwodowa |
|
|
B0 |
Bez znaczących zmian we krwi obwodowej: <5% krążących atypowych limfocytów (komórek Sézary’ego)
|
|
B1 |
Zmiany we krwi obwodowej o małym nasileniu: >5% krążących atypowych limfocytów (komórek Sézary’ego); niespełniające kryteriów dla stadium B2
|
|
B2 |
Zmiany we krwi obwodowej o dużym nasileniu: ≥1000/μl komórek Sézary’ego z cechami klonalności |
Objaśnienia skrótów znajdują się pod tabelą 2.
Tabela 2.
|
Zmiany klasyfikacji ziarniniaka grzybiastego i zespołu Sézary’ego wg ISCL/EORTC2 |
||||
|
Stadium |
T |
N |
M |
B |
|
IA |
1 |
0 |
0 |
0,1 |
|
IB |
2 |
0 |
0 |
0,1 |
|
IIA |
1,2 |
1,2 |
0 |
0,1 |
|
IIB |
3 |
0-2 |
0 |
0,1 |
|
IIIA |
4 |
0-2 |
0 |
0 |
|
IIIB |
4 |
0-2 |
0 |
0 |
|
IVA1 |
1-4 |
0-2 |
0 |
2 |
|
IVA2 |
1-4 |
3 |
0 |
0-2 |
|
IVB |
1-4 |
0-3 |
1 |
0-2 |
EORTC – European Organisation for Research and Treatment of Cancer; ISCL – International Society for Cutaneous Lymphomas; NCI – National Cancer Institute; TNMB (tumour, node, metastasis, blood – guz, węzły chłonne, przerzuty odległe, krew obwodowa)





