IV edycja Kongresu HPV już 12-13 czerwca! Poznaj najnowsze trendy w profilaktyce, diagnostyce i leczeniu raka szyjki macicy i innych schorzeń związanych z HPV | Sprawdź >
Radiologia
Nadciśnienie wrotne
prof. dr hab. med. Ludomir Stefańczyk
OPIS PRZYPADKU
55-letnia kobieta została przyjęta na oddział gastroenterologiczny z powodu krwawienia z górnego odcinka przewodu pokarmowego. Pacjentka ma rozpoznane zakażenie wirusem zapalenia wątroby typu C. Wcześniej była wielokrotnie hospitalizowana z tego powodu; trzykrotnie wykonywano u niej biopsję wątroby (ostatnio 2 lata temu), w której potwierdzano przewlekły postępujący proces zapalny z przebudową marską narządu. Ostatnio nastąpiło nasilenie dolegliwości sugerujących nadciśnienie wrotne oraz pogorszenie wyników badań laboratoryjnych i pojawiło się wodobrzusze. W badaniu gastroskopowym wykonanym po przyjęciu stwierdzono rozległe żylaki przełyku. Zlokalizowano miejsce krwawienia i dokonano obliteracji żylaków.
1. Jaka może być przyczyna wzrostu ciśnienia wrotnego w tym przypadku?
a. Włóknienie miąższu wątroby i zanik drobnych naczyń krążenia wrotnego
b. Zakrzepica żyły wrotnej w wyniku zwolnienia przepływu
c. Wytworzenie się pourazowej przetoki tętniczo-wrotnej
W przewlekłym zapaleniu wątroby najbardziej prawdopodobny jest mechanizm narastania nadciśnienia w wyniku powolnej zaniku drobnych naczyń krążenia wrotnego. W takich warunkach do zakrzepicy jako konsekwencji zwolnienia przepływu dochodzi rzadko – sukcesywnie rozwija się krążenie oboczne, zapewniające odpływ krwi z ominięciem zmienionego narządu. Zakrzepica żyły wrotnej częściej występuje w przebiegu zapalenia trzustki, sepsy, poważnych zaburzeń układu krzepnięcia lub marskości poalkoholowej. W opisanym przypadku przyczyną nadciśnienia wrotnego była pourazowa przetoka tętniczo-wrotna, będąca powikłaniem biopsji gruboigłowej wątroby. Częstość tego powikłania jest większa w przypadku bioptowania marskiego narządu, który jest mniej sprężysty. Przeciek w przetoce narastał powoli, dlatego dopiero po 2 latach przeciążenie objętościowe układu wrotnego spowodowało narastanie żylaków przełyku i krwawienie z górnego odcinka przewodu pokarmowego.
2. Jakie badanie obrazowe pozwoli najszybciej ustalić rozpoznanie?
a. Tomografia komputerowa jamy brzusznej z dożylnym podaniem środka cieniującego
b. USG brzucha z opcją oceny przepływu metodą color doppler
c. Rezonans magnetyczny z podaniem środka cieniującego
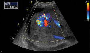
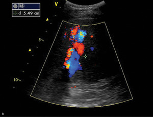
Optymalną metodą w rozpoznawaniu przyczyny nadciśnienia wrotnego jest color doppler. Jest to metoda tania, nieinwazyjna i powszechnie dostępna. Umożliwia przy tym wszechstronną ocenę: uwidacznia zarówno zmiany miąższowe, jak i zaburzenia przepływu w naczyniach (skrzepliny w obrębie naczyń, uciśnięcie naczyń lub nacieczenie przez rozrost nowotworowy; daje możliwość uwidocznienia dróg krążenia obocznego, naczyń tętniczych, żył wątrobowych i krążenia wrotnego). Pulsed wave doppler pozwala na ocenę kierunku i charakteru przepływu: uwidocznienie naczyń i przetok tętniczo-żylnych jest bardzo dobre (ryc. 1).
Badanie obrazowe metodą tomografii komputerowej (TK) powinno być przeprowadzone po podaniu środka cieniującego, co istotnie podnosi koszt procedury, naraża pacjenta na działanie promieniowania jonizującego i jodowego środka cieniującego. Jest badaniem statycznym, co stanowi jego wadę w stosunku do ultrasonografii. Ocena wszystkich aspektów ukrwienia narządów miąższowych wymaga badania wielofazowego, co naraża pacjenta na większą dawkę promieniowania.
Badanie obrazowe metodą rezonansu megnetycznego (MRI) jest procedurą nieinwazyjną, ale kosztowną. Umożliwia również badanie naczyń, ale po zastosowaniu środka kontrastowego podawanego dożylnie. Obrazuje narządy z mniejszą rozdzielczością przestrzenną w stosunku do ultrasonografii. Podobnie jak TK jest badaniem statycznym.



