IV edycja Kongresu HPV już 12-13 czerwca! Poznaj najnowsze trendy w profilaktyce, diagnostyce i leczeniu raka szyjki macicy i innych schorzeń związanych z HPV | Sprawdź >
Diagnostyka obrazowa w okulistyce
Oftalmopatia tarczycowa
dr n. med. Jacek Brzeziński, dr n. med. Magdalena Zagrodzka, technik Małgorzata Czyżewska
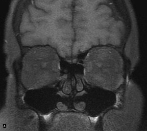
Rycina 1. Obraz T1-zależny bez saturacji tłuszczu w projekcji czołowej. Strzałki wskazują pogrubiałe mięśnie proste górne i dolne obu gałek ocznych. Badanie wykonane w pracowni MR Szpitala Praskiego, EUROMEDIC Polska
Rycina 2B. Obraz T1-zależny w projekcji czołowej z saturacją tłuszczu po podaniu paramagnetycznego środka kontrastowego. Strzałki wskazują obszary nieprawidłowego wzmocnienia kontrastowego wewnątrzoczodołowych tkanek miękkich zagałkowych. Badanie wykonane w pracowni MR Szpitala Praskiego, EUROMEDIC Polska
Rycina 3. Obraz w sekwencji STIR w projekcji czołowej. Strzałka wskazuje obszar hiperintensywny odpowiadający najpewniej strefie obrzęku w obrębie wewnątrzoczodołowych tkanek miękkich zagałkowych. Badanie wykonane w pracowni MR Szpitala Praskiego, EUROMEDIC Polska
OPIS PRZYPADKU
Na początku sierpnia 53-letnia pacjentka zgłosiła się do okulisty z powodu zaczerwienienia i pieczenia prawego oka. Okulista rozpoznał u niej zapalenie spojówek i zalecił odpowiednie leczenie zachowawcze. Po 3 tygodniach nieskutecznej terapii pacjentka ponownie zgłosiła się do tego samego lekarza, który zalecił kontynuację leczenia. Po kolejnych 2 tygodniach opuchlizna tkanek jeszcze bardziej się powiększyła i pojawił się wytrzeszcz prawej gałki ocznej.
W związku z pogarszaniem się stanu oka, przy całkowitej nieskuteczności terapii, pacjentka zdecydowała się na wizytę u endokrynologa. Ze względu na długi czas oczekiwania na konsultację w ramach NFZ (druga połowa przyszłego roku) chora postanowiła skorzystać z porady w gabinecie prywatnym. Lekarz endokrynolog, do którego zgłosiła się pacjentka, zlecił badanie TSH. Po otrzymaniu wyniku mieszczącego się w granicach normy wykluczył związek stanu prawego oka i tkanek miękkich prawego oczodołu z zaburzeniami związanymi z tarczycą. Wysunął natomiast podejrzenie alergicznego podłoża zmian i zalecił kontynuację leczenia objawowego.
W tej sytuacji chora zgłosiła się na oddział okulistyczny w ramach ostrego dyżuru. Tam po szczegółowym badaniu przedmiotowym i podmiotowym zalecono dalszą diagnostykę. Przed pobraniem materiału na jakiekolwiek badania biochemiczne/hormonalne pacjentkę skierowano na badanie metodą rezonansu magnetycznego (MR).
W badaniu MR stwierdzono:
- pogrubienie mięśni prostych obu gałek ocznych, zwłaszcza prostych górnych i dolnych (ryc. 1)
- ogniska wzmocnienia kontrastowego w obrębie wewnątrzoczodołowych tkanek miękkich zagałkowych widoczne w obrazach T1-zależnych z saturacją tłuszczu (ryc. 2A i 2B)
- rozległe obszary hiperintensywne w obrazach STIR (short T1 inversion recovery) przemawiające za występowaniem obrzęku wewnątrzoczodołowych tkanek miękkich zagałkowych (ryc. 3).
Uzyskany obraz przemawia za rozpoznaniem oftalmopatii tarczycowej.
