IV edycja Kongresu HPV już 12-13 czerwca! Poznaj najnowsze trendy w profilaktyce, diagnostyce i leczeniu raka szyjki macicy i innych schorzeń związanych z HPV | Sprawdź >
Zastosowanie ultrasonografii w urazach oczu
dr hab. n. med. Michał Wilczyński
Badanie ultrasonograficzne w prezentacji B jest cenną metodą oceny gałki ocznej po urazie, pozwalającą na szybkie ustalenie obrażeń i podjęcie odpowiedniego postępowania.
Obserwowany w ostatnich latach szybki rozwój okulistyki wynika m.in. z ciągłego udoskonalania technologii wykorzystywanych w diagnostyce obrazowej. W praktyce każdego lekarza, oprócz wiedzy zdobywanej przez całe życie, ważną rolę odgrywa wykorzystywanie aktualnie dostępnych zdobyczy techniki.
Jedną z metod diagnostycznych, często stosowanych w okulistyce, jest badanie ultrasonograficzne (USG). Badanie USG wykorzystuje ultradźwięki – fale akustyczne o częstotliwości większej niż górny próg słyszalności u ludzi (czyli powyżej 16 tys. Hz), generowane dzięki wykorzystaniu tzw. odwróconego zjawiska piezoelektrycznego.1
Badanie USG cechuje szereg zalet – jest nieinwazyjne, technicznie łatwe do wykonania, nieszkodliwe dla pacjenta, pozwala na uzyskanie wyniku w czasie rzeczywistym, można je też bezpiecznie powtarzać. Zalety te sprawiły, iż jest ono powszechnie stosowane w diagnostyce okulistycznej, szczególnie w przypadkach braku przezierności ośrodków optycznych.
Istnieje kilka odmian badania USG, które stosowane są w różnych sytuacjach klinicznych. Należą do nich: prezentacja A, prezentacja B oraz ultrabiomikroskopia (UBM), będąca odmianą prezentacji B.1 Rzadziej stosuje się ultrasonografię dopplerowską, która umożliwia badanie przepływu krwi w naczyniach, a także ultrasonograficzną wizualizację 3D (tzw. 3DUS), która umożliwia uzyskanie trójwymiarowej prezentacji obiektu skanowanego w wielu płaszczyznach.
Celem tej pracy jest przedstawienie aktualnej wiedzy na temat możliwości zastosowania badania USG w diagnostyce urazów gałki ocznej.
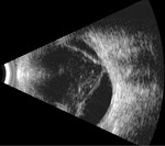
Rycina 2. Tylne odłączenie ciała szklistego bez istotnego pogrubienia kory ciała szklistego, powstałe na skutek niedawno przebytego urazu tępego. Siatkówka i naczyniówka są przyłożone
Rycina 6. Odwarstwienie siatkówki oraz wylew krwi do ciała szklistego na skutek niedawno przebytego urazu tępego
Rycina 8. Stan po zapaleniu wewnątrzgałkowym. Widoczne odwarstwienie siatkówki i odłączenie naczyniówki. Gałka oczna ze znaczną hipotonią
Rycina 9. Stan po opasaniu gałki ocznej wykonanym jako leczenie pourazowego odwarstwienia siatkówki. Widoczny wał opasania oraz liczne hiperechogeniczne zagęszczenia ciała szklistego, siatkówka jest przyłożona







