IV edycja Kongresu HPV już 12-13 czerwca! Poznaj najnowsze trendy w profilaktyce, diagnostyce i leczeniu raka szyjki macicy i innych schorzeń związanych z HPV | Sprawdź >
Choroby płuc
Sekwestracja płucna
Henryk Mazurek,1 Joachim Buchwald,2 Andrzej Pogorzelski1
Słowa kluczowe
sekwestracja płucna, sekwestracja wewnątrzpłatowa, sekwestracja zewnątrzpałatowa
Wprowadzenie
Sekwestracja płucna jest rzadką wrodzoną nieprawidłowością rozwoju ograniczonego obszaru miąższu płucnego, w której w miejscu prawidłowych tętnic płucnych znajdują się nieprawidłowe, dodatkowe naczynia odchodzące od naczyń krążenia systemowego.
Etiopatogeneza sekwestracji płucnej nie jest znana. Spośród kilku hipotez najbardziej akceptowana przyjmuje, że rozwój sekwestracji zapoczątkowuje pojawienie się dodatkowego, nieprawidłowego pączka płucnego między 4 a 8 tygodniem życia płodowego.1 Inne traktują sekwestrację między innymi jako zmiany degeneracyjne miąższu płucnego wtórne do nieprawidłowego unaczynienia przez tętnice systemowe, połączenie torbieli oskrzelopochodnej z tętnicą systemową, a nawet jako chorobę nabytą na skutek zaburzenia prawidłowego rozwoju (np. przez zakażenia).
Epidemiologia sekwestracji
Pierwszy opis „dodatkowego płata” odpowiadającego prawdopodobnie sekwestracji pochodzi z 1777 r.1 W zestawieniach wszystkich wad wrodzonych układu oddechowego sekwestracja płucna stanowi 1,5-8%.1-3 Uwzględniając bezobjawowe, często niewielkich rozmiarów, sekwestry stwierdzane w badaniach sekcyjnych, szacuje się, że sekwestracja może jednak występować u 0,15-1,8% populacji ogólnej.4
W zależności od układu opłucnej trzewnej wyróżnia się dwa rodzaje sekwestracji: wewnątrzpłatową i zewnątrzpłatową. W sekwestracji wewnątrzpłatowej patologiczna tkanka (przeważnie w postaci torbieli lub rozstrzeni oskrzeli) wkomponowana jest w obszar prawidłowego miąższu, a całość pokryta wspólną opłucną trzewną. Zwykle obecne jest połączenie z drzewem oskrzelowym zdrowego miąższu płuc, a spływ żylny uchodzi najczęściej do żył płucnych. Jest zwykle izolowaną anomalią i nie ma przewagi u żadnej z płci. Sekwestracja zewnątrzpłatowa kształtuje się poza miąższem płucnym i pokryta jest własną opłucną trzewną, tworząc oddzielny płat, zwany niekiedy „dodatkowym płucem”. Najczęściej sekwestr jest umiejscowiony między płatem dolnym lewym a przeponą, choć u 10-15% chorych znajduje się poniżej tego mięśnia. Zazwyczaj nie ma połączenia z pozostałym drzewem oskrzelowym, a spływ żylny uchodzi zwykle do żył systemowych. U przeszło 60% chorych obserwuje się obecność innych wad rozwojowych w obrębie klatki piersiowej, najczęściej wrodzonej przepukliny przeponowej. Większość obserwacji wskazuje na 3-4-krotnie częstsze występowanie u chłopców.1 W niewielkiej części przypadków sekwestracja może mieć połączenie z przewodem pokarmowym.
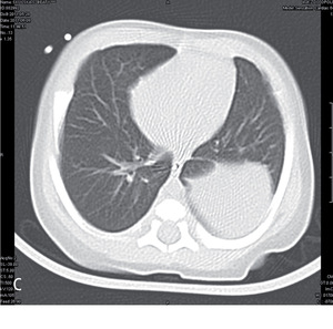
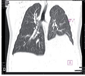
W piśmiennictwie medycznym większość publikacji na temat sekwestracji to zestawienia kilku do kilkunastu przypadków albo przeglądy piśmiennictwa.1,2,4,5 Największa przedstawiona grupa liczy 2625 chorych (zarówno dzieci, jak i dorosłych) i pochodzi z retrospektywnej analizy bazy danych, rejestrującej dobrze udokumentowane przypadki opisane w chińskim piśmiennictwie w latach 1998-2008.6 W tym materiale sekwestracje wewnątrzpłatowe stanowiły 84%, a zewnątrzpłatowe 16%. W obrazie radiologicznym sekwestracja przedstawiała się jako zmiany guzowate (46%), torbielowate (37%), jamiste (6%) lub naśladujące zmiany zapalne (10%). W obrazie tomografii komputerowej wysokiej rozdzielczości (HRCT) tych samych chorych uzyskano obraz zmian guzowatych (49%), torbielowatych (29%), jamistych (12%) lub naśladujących zmiany zapalne (8%) albo rozstrzeniowe (2%). U pojedynczych chorych zmiany miały obraz otorbionego wysięku.
Najczęstszą lokalizacją były płaty dolne: lewy (71,5%) bądź prawy (26%), rzadko lewy górny (2%), a wyjątkowo pozostałe. W płatach dolnych najczęściej zajęty był segment podstawny tylny (88%). Tylko u 3 chorych (0,1%) stwierdzono zmiany obustronne.
U większości punktem wyjścia naczyń sekwestru była część nadprzeponowa aorty zstępującej (76,5% przypadków), aorta brzuszna (18,5%) lub łuk aorty (0,44%). W nielicznych przypadkach były nimi tętnice mniejszego kalibru, takie jak międzyżebrowe (2%), przeponowe (1,5%) lub inne. Sekwestr najczęściej był zaopatrywany przez pojedynczą tętnicę (79%), rzadziej przez dwie (16%) lub więcej. Spływ żylny najczęściej uchodził do żył płucnych (91%) lub żyły nieparzystej (4%).
Objawy kliniczne
Sekwestracja płuca najczęściej prowadzi do wystąpienia objawów klinicznych wiązanych głównie z zakażeniem obszaru sekwestracji, łatwiejszym w przypadku postaci wewnątrzpłatowej z powodu kontaktu z drzewem oskrzelowym. W materiale pochodzącym z Chin6 objawy występowały u 73% chorych. Najczęściej zgłaszane były kaszel i odkrztuszanie (68% chorych), gorączka (39%), krwioplucie (28%), ból w klatce piersiowej (11%) lub duszność (5%).
Częściej spotykana sekwestracja wewnątrzpłatowa rzadko daje objawy przed ukończeniem 2 lat, a zwykle przejawia się jako przewlekłe lub nawrotowe zapalenie płuc. Innymi objawami mogą być niewydolność krążenia lub krwioplucie.1
Sekwestracja zewnątrzpłatowa najczęściej wiąże się z wystąpieniem objawów w pierwszych 6 miesiącach życia, w tym u ¼ dzieci z objawami niewydolności oddechowej lub trudnościami w karmieniu. U nieco starszych dzieci występują objawy ze strony układu oddechowego lub wskazujące na niewydolność krążenia.
Rzadziej sekwestracja może przebiegać bezobjawowo (u 10-15%, zwykle jest to postać zewnątrzpłatowa). Do rozpoznania dochodzi wówczas w ramach diagnostyki przypadkowo wykrytego nieprawidłowego obrazu radiologicznego płuc (najczęściej podejrzenie zmian guzowatych).1
Diagnostyka
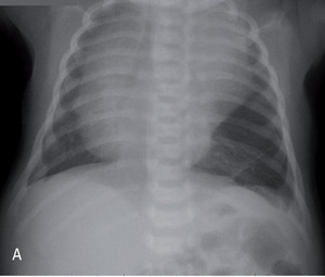
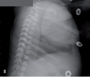
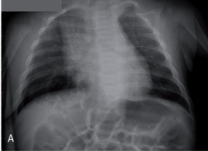
Rycina 2. Zdjęcia przeglądowe tylno-przednie (A) i boczne (B) dwutygodniowej dziewczynki z sekwestracją zewnątrzpłatową lewego płuca.
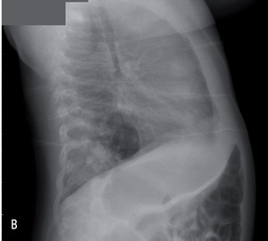
Rycina 3. Zdjęcia przeglądowe tylno-przednie (A) i boczne (B) trzymiesięcznego chłopca z sekwestracją wewnątrzpłatową dolnego płata prawego.
Rozwój technik obrazowania umożliwia wykrycie wielu wad rozwojowych w życiu płodowym. Sekwestracja zewnątrzpłatowa może być uwidoczniona od 16 tygodnia życia płodowego. Widoczna jest w postaci ogniska hiperechogenicznego i stanowi około 16% ujawnianych w okresie przedurodzeniowym zmian płucnych. Wymaga różnicowania z gruczolakowatością torbielowatą płodu (cystic adenomatoid malformation), wrodzoną rozedmą miąższu płucnego, wadami serca, wrodzoną przepukliną przeponową, przetoką tchawiczo-przełykową, torbielami oskrzelopochodnymi czy zmianami rozrostowymi, takimi jak np. neuroblastoma umiejscowiona w śródpiersiu.1,7 Diagnostykę różnicową ułatwia zastosowanie ultrasonografii doplerowskiej8 i/lub rezonansu magnetycznego.9








