IV edycja Kongresu HPV już 12-13 czerwca! Poznaj najnowsze trendy w profilaktyce, diagnostyce i leczeniu raka szyjki macicy i innych schorzeń związanych z HPV | Sprawdź >
Medycyna fizykalna
Fizykoterapia w stomatologii zachowawczej (1)
Prof. dr. hab. med. Krystyna Opalko
Fizyka medyczna ma szerokie zastosowanie w diagnostyce, profilaktyce oraz leczeniu – zwłaszcza trudnych przypadków
Zapalenie miazgi – likwidacja bólu
Nieleczona próchnica zęba doprowadza do pojawienia się stanu zapalnego miazgi, którego objawem jest ból określony przez pacjenta w numerycznej skali testu VAS w okolicy 8-10. Użycie tego testu jest niezmiernie przydatne w diagnostyce zapalenia miazgi.[1,2] Zakres powyżej 6 pozwala sądzić, że mamy do czynienia z bólem ostrym, co zazwyczaj potwierdza wywiad. Dalsza diagnostyka, polegająca na poszukiwaniu chorej miazgi, czyli zęba przyczynowego, w stanie tak ostrego bólu jest czasem niemożliwa.
Proponujemy więc pacjentowi zabieg fizykalny aplikatorem zestawu terapeutycznego do magnetoledoterapii Viofor JPS system Light generującym promieniowanie w zakresie podczerwieni (długość fali 855 nm). Powoduje on zmniejszenie przewodzenia bodźców bólowych we włóknach nerwowych oraz pobudzenie wydzielania β-endorfin w centralnym układzie nerwowym, co skutecznie zaznacza się efektem analgetycznym.[3,4] Wykonujemy dwa zabiegi – pierwszy z intensywnością pola 4 i drugi z intensywnością 5. Jeśli ból nie ustępuje po 15 min, robimy trzeci zabieg aplikatorem eliptycznym, bez światła, czyli magnetostymulację o intensywności fali 6, 7 lub 8. Ból ustępuje na 24 godziny, a czasem na dłużej.
Po 24 godzinach możemy przystąpić do diagnostyki testem elektrycznym, który jest niezbędny zwłaszcza w sytuacji, kiedy w jamie ustnej nie stwierdzamy zęba lub zębów z chorobą próchnicową. Bywa, że pacjent po zlikwidowaniu bólu nie zgłosi się na umówioną wizytę. Znając przebieg zapalenia miazgi, należy liczyć się z faktem, że stan ostry przejdzie w przewlekły, który ponownie uruchomi czynniki zapalne i pojawi się objaw bólowy, ale już o charakterze przewlekłym, w skali VAS do 6. Ból taki spowoduje, że pacjent powróci. Test elektryczny wskaże ząb z chorą miazgą. Należy dodać, że musi to być aparat elektroniczny precyzyjnie dawkujący prąd elektryczny.[2]
Przewlekłe zapalenie tkanek okołowierzchołkowych – regeneracja kości
Zmiana osteolityczna okolicy okołowierzchołkowej, widoczna na zdjęciu RTG, pojawia się m.in. w przypadku zaniedbania leczenia przez pacjenta, niedokładnie wykonanego zabiegu endodontycznego czy braku regeneracji kości po leczeniu. W dobie diagnostyki z użyciem tomografii CBCT, łatwo wykryć każdy problem – zwłaszcza anatomiczny. Diagnostyka ta pozwala na podjęcie decyzji o powodzeniu leczenia kanałowego. Analizując wielkość zmian okołowierzchołkowych, musimy pamiętać, że każdą z nich można zlikwidować terapią zmiennopolową systemem JPS.
Natomiast nie zregeneruje się kość z rozpoznaną torbielą okołowierzchołkową. Pod wpływem terapii zmiennopolowej nabłonek torbieli może szybko się rozrastać, powodując powiększenie się zmiany. W przypadku rozpoznania torbieli, nie stosujemy tych zabiegów. Wdrażamy je tuż po usunięciu chirurgicznym torbieli, a zwłaszcza po zastosowaniu materiału kościozastępczego, uzyskując szybką osteointegrację.
Podczas leczenia endodontycznego, po oczyszczeniu kanału, dezynfekujemy go ozonem, który zastępuje preparaty farmakologiczne.[5] Precyzyjne dawkowanie ozonu wzdłuż kanału korzeniowego i ponowienie zabiegu po 24 godzinach pozwala na dezynfekcję także połączeń miazgowo-ozębnowych. Z badań własnych wynika brak powikłań w przypadku zastosowania dwóch czynników fizykalnych w trakcie zabiegu endodontycznego (ozonoterapii i magnetostymulacji) oraz kontynuowania jednego z nich (magnetostymulacji) po zakończonym leczeniu endodontycznym, jeśli rozpoznane jest rozrzedzenie beleczek kostnych lub zmiana osteolityczna okołowierzchołkowa.[3,5-7] Terapia zmiennopolowa o odpowiednich parametrach pola pozwala na szybką regenerację uszkodzonej struktury kostnej, każdej wielkości. Stwierdzono, że im większe zniszczenie struktury kostnej, tym szybciej następuje ubeleczkowanie, czyli regeneracja kości. Beleczki kostne pojawiają się od strony kości zdrowej od obwodu osteolizy.[3]
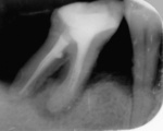
Ryc. 1. Ząb 47 zakwalifikowany do ekstrakcji. Reendodoncja i zabiegi fizykalne na życzenie pacjenta. RTG przed leczeniem.
Opis przypadku
Pacjentka zgłosiła się ze skrajnie zniszczoną strukturą kostną w okolicy okołowierzchołkowej zęba trzonowego (ryc. 1).
W korzeniu dalszym: (blisko bifurkacji) widoczna była perforacja, w okolicy okołowierzchołkowej rozrzedzenie struktury kostnej. Tylko apeks tkwił w kości żuchwy. W korzeniu bliższym widoczna duża regularna osteoliza i brak struktury kostnej. Destrukcja brzegu wyrostka zębodołowego (osteoliza brzegu kości, przy korzeniu bliższym całkowita), w obrazie klinicznym: obnażenie korzeni z widoczną bifurkacją, rozchwianie III st., kamień nazębny. Pacjentka nie wyraziła zgody na usunięcie zęba. Przyjęła propozycję ponownego leczenia endodontycznego oraz zabiegów magnetostymulacji, bez nadziei i gwarancji na powodzenie terapii.
Po 30 zabiegach magnetostymulacji zdjęcie RTG wykazało zagęszczanie się struktury kostnej w miejscu osteolizy okołowierzchołkowej oraz brzegu wyrostka zębodołowego (ryc. 2).
Po 45 zabiegach widoczna jest regeneracja struktury kostnej przy obu korzeniach, zmineralizowany brzeg wyrostka zębodołowego (ryc. 3).
Brzeg wyrostka nie uległ regeneracji (odbudowie do granic fizjologicznych), lecz wyraźnie zagęściła się struktura kostna. Nastąpiło zagęszczenie beleczek kostnych w okolicy międzykorzeniowej oraz regeneracja perforacji korzenia dalszego. Badania Dojs wskazały ponadto bardzo ciekawe zjawisko zagęszczania się struktury kości zdrowej (badania w systemie Digora).[7] Korzenie bliższe zęba nie zostały udrożnione ze względu na ich obliterację. Ponadto ząb wykazywał zbyt dużą ruchomość, aby przeprowadzić leczenie prawidłowo. Korzenie wypełniono gutaperką z uszczelniaczem AH Plus. Pacjentka była pod kontrolą przez pięć lat. W tym czasie nie stwierdzono żadnych powikłań. Zdjęcia RTG wykonano techniką kąta prostego w systemie Digora. Zdjęcia wykonane przez dr n. med. A. Dojs prezentują zagęszczanie się struktury kostnej po kolejnych zabiegach.
Przewlekłe zapalenie tkanek okołowierzchołkowych może stanowić ognisko zakażenia dla wielu chorób ogólnoustrojowych i dlatego bardzo ważna jest szybka likwidacja stanu zapalnego, a tym samym widocznej zmiany osteolitycznej poprzez dobrą dezynfekcję fizykalną kanału, jego szczelne i dokładne wypełnienie oraz zabiegi terapią zmiennopolową.

