IV edycja Kongresu HPV już 12-13 czerwca! Poznaj najnowsze trendy w profilaktyce, diagnostyce i leczeniu raka szyjki macicy i innych schorzeń związanych z HPV | Sprawdź >
Opis przypadku
Ukryty kanał
Lek. dent. Maciej Wroński
Niestandardowy system korzeniowy może nas zaskoczyć. Jak postępować, żeby nie mnożyć niepowodzeń
Dzisiejsza stomatologia mikroskopowa dzięki zastosowaniu nowoczesnych technik leczenia, połączonych z doświadczeniem lekarza, umożliwiła odnajdywanie dodatkowych kanałów korzeniowych i tym samym poprawne przeprowadzanie leczenia endodontycznego. W każdym z przypadków musimy pamiętać o indywidualnym podejściu. Nie można zastosować myślenia szablonowego, na podstawie jedynie podręczników i piśmiennictwa endodontycznego. Sama decyzja oceny przypadku na bazie zdjęcia RVG też nie jest właściwa. To właśnie podczas wykonywania zabiegu możemy podjąć odpowiednie kroki umożliwiające dobranie bazy środków adekwatnej do zabiegu endodontycznego. Tym bardziej że odchylenia od przyjętych ogólnych norm konfiguracji systemu kanałowego pojawiają się dość często. Korzenie zębów oprócz kanału głównego mogą mieć kanały dodatkowe, boczne oraz silnie rozwiniętą deltę korzeniową. Sama znajomość morfologii systemu kanałowego może nie wystarczyć, bo istnieje niewielki procent przypadków zupełnie niestandardowego systemu kanałowego. To zaś może stać się przyczyną naszych niepowodzeń. Przypadek, który chciałbym przedstawić, jest właśnie przykładem na to, że nie możemy zapominać o często napotykanych anomaliach.
Opis przypadku
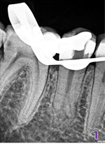
Do gabinetu stomatologicznego zgłosiła się pacjentka z powodu silnych dolegliwości bólowych zęba 45. Na podstawie zebranego wywiadu i badania podjęto decyzję o natychmiastowym leczeniu endodontycznym z powodu nieodwracalnego zapalenia miazgi. Wykonane zostało zdjęcie RVG, na którym odnotowano nietypową anatomię korzeni (fot. 1), co umożliwiło wyznaczenie kierunku dalszej procedury zabiegu.
Pod kontrolą mikroskopu oraz w izolacji pola zabiegowego koferdamem wykonano obszerny dostęp do komory zęba, gdzie stwierdzono obecność szerokiego ujścia kanału. Należy w tym miejscu zwrócić uwagę, że przystępując do preparacji ubytku, musimy pamiętać o jego charakterystycznym wymiarze przestrzennym. Poszerzenie powinno nam ułatwić wgląd do jego dna. Niewłaściwe lub oszczędne opracowanie może być przyczyną powikłań, np. w postaci złamanego narzędzia kanałowego lub perforacji, a nawet doprowadzić do ekstrakcji zęba.
Kolejnym etapem było wykonanie wstępnej analizy długości roboczej. Do tego używam narzędzi typu C+file (VDW Maillefer). Wynik badania pokrywał się ze zdjęciem RVG. Okazało się, że kanał ten był początkiem trzech kanałów: językowego (L) i dwóch policzkowych (MB i DB).
Ujście poszerzono wiertłem typu Gates nr III. Opracowanie kanałów wykonano przez chemiczne płukanie 5,25-proc. podchlorynem sodu i 40-proc. roztworem kwasu cytrynowego oraz maszynowym systemem narzędzi typu RaCe. Dla opisanego przypadku wybrano odpowiednią sekwencję: 10/02 C+file; 15/02 C+file; 20/02 K file; 25/04; 30/04; 30/06; 35/04; 35/06 (fot. 2).
Dzięki szerokiemu opracowaniu kanałów możliwe było ich właściwe wypełnienie. Aby zrobić to poprawnie, musimy pamiętać, by nie doszło do przypadkowego dostania się gutaperki do kanału, który nie został jeszcze wypełniony. Dlatego wypełnienie ćwiekiem gutaperkowym musi zostać poprzedzone sprawdzeniem długości roboczej. Również odcięcie ćwieka na odpowiedniej głębokości ma istotne znaczenie. Zawsze powinno mieć miejsce w kanale, który jest aktualnie wypełniany, a wejście pluggera musi być powtarzalne. W tym celu użyto bezprzewodowego systemu firmy B&L. Ostateczne wypełnienie kanału głównego wykonano ciepłą gutaperką podaną z pistoletu (fot. 3).
W wybranym przykładzie nie tylko użycie mikroskopu przyczyniło się do sukcesu leczenia. W jego osiągnięciu ważny był każdy etap pracy, począwszy od właściwej preparacji dostępu, przez dobór instrumentarium i płynów irygacyjnych, po odpowiedni zestaw środków do wypełniania kanałów.■


