IV edycja Kongresu HPV już 12-13 czerwca! Poznaj najnowsze trendy w profilaktyce, diagnostyce i leczeniu raka szyjki macicy i innych schorzeń związanych z HPV | Sprawdź >
Opis przypadku
Szybki retusz uśmiechu
Lek. dent. Tomasz Fałkowski
O tym, jak taśma teflonowa do uszczelniania rur może zostać bohaterką w poprawie estetyki jamy ustnej
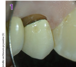
Pacjentka poprosiła mnie o pomoc w delikatnym poprawieniu uśmiechu. Choć defekty tak naprawdę były zupełnie bez znaczenia, pani odczuwała krępujący dyskomfort podczas uśmiechu. Przeszkadzały jej odsłonięte szyjki i widoczne brzegi koron na zębie 14 i 16 (fot. 1), a chciała jak najlepiej wypaść podczas zbliżającej się oficjalnej imprezy. Zaplanowaliśmy kompleksowe leczenie i zmianę mostu, ale jednocześnie spróbowaliśmy poprawić wygląd przedtrzonowca, który był bardziej widoczny.
Najprostszą i dostępną dla każdego metodą korekty jest przykrycie newralgicznych miejsc kompozytem. Wadą jest zbyt duża przezierność tego typu materiałów. Cienka warstwa – a tylko na taką jest miejsce w okolicy szyjki zęba – daje zwykle szary i mało estetyczny wygląd wypełnienia. Można jednak łatwo tego uniknąć.
W naszym przypadku preparacja ograniczyła się do delikatnego odświeżenia powierzchni cementu korzeniowego i zmatowienia metalowego obrzeża korony oraz ceramiki.
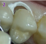
Do retrakcji dziąsła nie zostały wykorzystane standardowo stosowane nici, ale taśma teflonowa. Jest to powszechnie dostępna w sklepach budowlanych i supermarketach taśma stosowana do uszczelniania połączeń hydraulicznych. Poza bardzo konkurencyjną ceną ma szereg innych zalet – daje się sterylizować, nie wchodzi w reakcje chemiczne z kompozytem i systemem wiążącym, można ją dowolnie upychać w kieszonce dziąsłowej i modelować pożądany kształt. A po skończonej pracy bardzo łatwo i w całości usuwa się. Tu posłużyła ona nie tylko do retrakcji, ale i do stworzenia matrycy dla kompozytu (fot. 2).
Dodatkową zaletą jest też w opisywanym przypadku fakt, że taśma teflonowa nie nasiąka i stanowi bardzo dobrą izolację dziąsła przed wytrawiaczem. Tym bardziej że do uzyskania połączenia kompozytu z porcelaną niezbędne było użycie kwasu fluorowodorowego. Wytrawiona nim została selektywnie przez 2 minuty wyłącznie ceramika. Po spłukaniu i osuszeniu całość preparacji, a więc ceramikę, metal i tkanki zęba, wytrawiono standardowym wytrawiaczem na bazie kwasu ortofosforowego. Po spłukaniu i osuszeniu, na powierzchnię metalu i ceramiki zaaplikowano silan – Monobond Plus. Po 30 sekundach osuszono go ciepłym powietrzem z dmuchawki. Następnie w sposób standardowy zaaplikowano i utwardzono system wiążący do kompozytu.
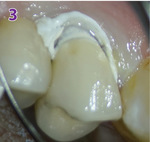
Jako pierwszą warstwę zastosowano materiał Monopaque. Jest to półpłynny kompozyt służący do maskowania przebarwionych tkanek zęba i metalu (fot. 3). Precyzyjną aplikację cienkiej warstwy na metal korony i powierzchnię korzenia ułatwia np. wygięty pilnik endodontyczny. Po utwardzeniu założono kolejne warstwy kompozytu Gaenial w kolorze A2 (fot. 4). Końcowe opracowanie wypełnienia przeprowadzone zostało za pomocą finirów, gumek Opti-1-Step i szczotek Optishine. Na tym etapie pracy ujawniła się kolejna zaleta taśmy teflonowej – wiertła nie wkręcają się w nią i nie wyszarpują jej z kieszonki dziąsłowej.
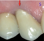
Po dwóch tygodniach pacjentka pojawiła się ponownie w gabinecie. Kontrola wykazała zadowalający efekt estetyczny i bardzo dobry stan dziąsła (fot. 5).
Defekty estetyczne są, obok uszkodzeń mechanicznych i próchnicy filarów, najczęstszą przyczyną zmiany uzupełnień protetycznych. Konstrukcja koron metalowo-ceramicznych sprzyja problemom estetycznym. Pojawiają się one, gdy po latach użytkowania zmiana położenia dziąsła odsłania brzeg korony, gdzie kumulują się wady tego typu uzupełnień. Metalowe obrzeże decydujące o szczelności, ale jednocześnie zupełnie odmienne od koloru zębów, jest dodatkowo podkreślane przez dużą ilość ceramiki opakerowej maskującej metalową podbudowę i często daje efekt „świecenia” w okolicy szyjki zęba.
Sam wygląd odsłoniętej powierzchni korzenia potęguje defekt estetyczny. Cement korzeniowy jest zawsze bardziej szarobrązowy i matowy w stosunku do szkliwa. Brak przewodzenia światła do wnętrza zęba pokrytego koroną z podbudową metalową dodatkowo tę ciemną barwę podkreśla.
W powyższym przypadku zastosowanie kilku prostych trików i łatwo dostępnych materiałów pozwoliło osiągnąć dobry efekt estetyczny, bez konieczności natychmiastowej zmiany mostu.■




