IV edycja Kongresu HPV już 12-13 czerwca! Poznaj najnowsze trendy w profilaktyce, diagnostyce i leczeniu raka szyjki macicy i innych schorzeń związanych z HPV | Sprawdź >
Chirurgia stomatologiczna
Leczenie nadziąślaków
Lek. dent. Lidia Gefrerer
Dr n. med. Wojciech Popowski
Prof. dr hab. med. Andrzej Wojtowicz
Ta grupa zmian rozrostowych wykazuje duże rozbieżności w wyglądzie klinicznym i w obrazie histologicznym
Nadziąślaki to najczęściej występujące nienowotworowe zmiany rozrostowe tkanek miękkich jamy ustnej. Najprawdopodobniej wywodzą się z włókien ozębnej i tkanki łącznej dziąsła. Początkowo uznawane były za guzy nowotworowe, obecnie zalicza się je do zmian rozrostowych o charakterze odczynowym. Mogą występować w każdym wieku, z przewagą u kobiet, jednak najczęściej w trzeciej-czwartej dekadzie życia. Lokalizują się w okolicy brodawek międzyzębowych, często w odcinku przednim szczęki, w żuchwie towarzyszą zębom bocznym.
Na powstanie nadziąślaków ma wpływ wiele czynników – miejscowych i ogólnych. Czynniki miejscowe to najczęściej przewlekły uraz dziąsła spowodowany przez złogi kamienia nazębnego, ostre brzegi ubytków próchnicowych, nawisające wypełnienia, nieprawidłowe uzupełnienia protetyczne, uraz zgryzowy. Czynniki ogólne to głównie wahania hormonalne, dlatego szczególnie często nadziąślaki występują u kobiet w ciąży lub przyjmujących hormonalną antykoncepcję.
Nadziąślaki to bardzo zróżnicowana grupa zmian rozrostowych. Wykazują zarówno rozbieżności w wyglądzie klinicznym, jak i obrazie histologicznym. W celu usystematyzowania tych guzów, na przestrzeni lat wprowadzano wiele klasyfikacji. Najpowszechniej stosowana dzieli je na trzy główne typy:
1. nadziąślaki zapalne,
2. nadziąślaki włókniste,
3. obwodowe ziarniniaki olbrzymiokomórkowe.
Najczęściej mamy do czynienia z nadziąślakami zapalnymi, następnie włóknistymi, a najrzadziej stwierdza się występowanie obwodowych ziarniniaków olbrzymiokomórkowych. Ich obecność jest najczęściej niezauważana przez pacjentów. Zgłaszają się oni do lekarza przeważnie z powodu krwawienia, jakie może towarzyszyć ich występowaniu. Dużych rozmiarów guzy mogą również utrudniać spożywanie pokarmów, noszenie uzupełnień protetycznych albo stanowić dla pacjenta problem estetyczny.
Opis przypadku
Pacjent (l. 47) został skierowany do Zakładu Chirurgii Stomatologicznej Warszawskiego Uniwersytetu Medycznego przez lekarza dentystę w celu leczenia guza dziąsła w okolicy zębów 14-15. W wywiadzie pacjent podał, że zmiana na dziąśle pojawiła się około czterech miesięcy wcześniej i regularnie się powiększała. Poza tym chorował na nadciśnienie tętnicze leczone amlodypiną.
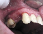
W badaniu klinicznym stwierdzono obfite złogi kamienia nazębnego, świadczące o niedostatecznej higienie jamy ustnej. Guz o średnicy 20 mm wyrastał z dziąsła między zębami 13 a 16 i obejmował wyrostek zębodołowy zarówno od strony przedsionkowej, jak i podniebiennej. Miał nieregularny kształt, kolor jasnoróżowy, umocowany był na szerokiej szypule i częściowo od strony podniebiennej pokryty włóknikowym nalotem (ryc. 1).
Badanie kliniczne uzupełniono badaniem radiologicznym, które wykazało obecność korzeni zębów 14 i 15 z ogniskami osteolizy wokół ich wierzchołków, świadczącymi o przewlekłym procesie zapalnym, oraz nieznaczną pionową resorpcję kości od strony dystalnej zęba 13 (ryc. 2).
Ryc. 2. Na zdjęciu radiologicznym widoczne są korzenie zębów 14 i 15 oraz resorpcja kości za zębem 13.
Zęby 13 oraz 16 wykazywały prawidłową, fizjologiczną ruchomość.
W pierwszym etapie leczenia przeprowadzono profesjonalne usunięcie złogów nazębnych oraz instruktaż higieny jamy ustnej. Następnie w znieczuleniu nasiękowym 2-proc. lignokainą z noradrenaliną usunięto guz dziąsła oraz korzenie zębów 14 i 15. Zębodoły dokładnie wyłyżeczkowano, usuwając ziarninę zapalną oraz wygładzając ostre brzegi kostne wyrostka zębodołowego. Następnie ranę zaszyto, a pobrany materiał oddano do badania histopatologicznego. Wynik: epulis gigantocellularis.
Gojenie rany po zabiegu przebiegało bez powikłań. Pacjent utrzymywał prawidłową higienę jamy ustnej i w okresie rocznej obserwacji na wyznaczonych wizytach kontrolnych nie stwierdzono nawrotu zmiany rozrostowej (ryc. 3).

