IV edycja Kongresu HPV już 12-13 czerwca! Poznaj najnowsze trendy w profilaktyce, diagnostyce i leczeniu raka szyjki macicy i innych schorzeń związanych z HPV | Sprawdź >
Choroby osierdzia
Klinika Chorób Wewnętrznych Klatki Piersiowej, Instytut Gruźlicy i Chorób Płuc, Warszawa
Jatrogenne uszkodzenie osierdzia
Andrzej Przybylski
Wprowadzenie
Wśród wielu czynników wywołujących ostre i przewlekłe choroby osierdzia szczególne miejsce zajmują przyczyny jatrogenne. Uszkodzenie osierdzia może być wywołane zarówno zabiegami kardiochirurgicznymi, kardiologicznymi (kardiologia interwencyjna, elektrokardioterapia), radioterapią, jak i lekami [1,2]. Objawy ze strony osierdzia mogą wystąpić bezpośrednio po zastosowanym leczeniu lub po upływie dłuższego czasu, co utrudnia rozpoznanie i wdrożenie właściwego leczenia. Celem pracy jest przedstawienie najważniejszych zagadnień dotyczących tej grupy chorób, ze szczególnym uwzględnieniem odrębności klinicznych.
Przebieg kliniczny
Ze względu na przebieg kliniczny choroby osierdzia można podzielić na cztery grupy:
• tamponadę serca,
• ostre i nawracające zapalenie osierdzia,
• bezobjawowy lub skąpoobjawowy płyn w osierdziu,
• zaciskające zapalenie osierdzia.
Uszkodzenia jatrogenne mogą występować pod każdą z wyżej wymienionych postaci. Z powodu odmienności patofizjologicznych i klinicznych w pracy tej omówione zostaną choroby osierdzia związane z poszczególnymi metodami leczenia.
Mechanizmy patofizjologiczne
Objawy ze strony osierdzia mogą być wynikiem zarówno bezpośredniego uszkodzenia mięśnia serca i osierdzia (np. perforacja prawej komory w czasie implantacji układu stymulującego, uszkodzenie tętnicy wieńcowej w trakcie zabiegu kardiologii interwencyjnej), jak i późnej reakcji autoimmunologicznej powstałej w wyniku uszkodzenia mięśnia sercowego (post-cardiac injury syndrome). Patofizjologia polekowych chorób osierdzia jest bardzo złożona i różnorodna. Uszkodzenia po radioterapii mogą objawiać się pod postacią ostrego zapalenia osierdzia z towarzyszącym wysiękiem (lub bez niego) lub ujawniają się nawet wiele lat później pod postacią zaciskającego zapalenia osierdzia [1-4].
Powikłania zabiegów kardiochirurgicznych i kardiologicznych
Ostre powikłania zabiegów kardiologicznych
Tabela. Częstość występowania płynu w osierdziu (lub tamponady serca) po wybranych zabiegach kardiologii interwencyjnej
Krwawienie do worka osierdziowego może wystąpić wskutek uszkodzenia ściany serca lub naczynia wieńcowego w czasie zabiegu (tabela). Ze względu na szybkie narastanie objętości płynu w jamie osierdzia szybko dochodzi do wzrostu ciśnienia oraz objawów ucisku jam serca, przede wszystkim prawego przedsionka i prawej komory, czyli objawów ostrej tamponady [5]. Najczęściej przyczyną tamponady jest przebicie ściany serca w czasie nakłuwania przegrody międzyprzedsionkowej w czasie plastyki balonowej zastawki mitralnej lub ablacji. Czynnikami zwiększającymi prawdopodobieństwo wystąpienia tamponady są wykonanie nakłucia przy zastosowaniu tylko jednej projekcji oraz mały rozmiar lewego przedsionka. Częstość występowania tego powikłania wynosi 1-3%. Według danych z dwóch rejestrów Worldwide Surveys of AF Ablation do tamponady doszło podczas 1,2-1,3% zabiegów [6]. Należy zauważyć, że w trakcie ablacji, obok uszkodzenia ściany przedsionka w czasie punkcji, perforacja może być spowodowana również nadmiernym uszkodzeniem wywołanym przez aplikacje prądu (pop formation). W tych sytuacjach objawy tamponady pojawiają się kilka godzin lub nawet wiele dni po ablacji [6].
Ryzyko tamponady serca występuje również przy wykonywaniu biopsji endomiokardialnej prawej lub lewej komory. Powikłanie to zdarza się częściej przy biopsji prawej komory. Zarówno w przypadku powikłań nakłucia przegrody, jak i biopsji postępowanie obejmuje kontrolę echokardiograficzną po zabiegu oraz odbarczające nakłucie osierdzia. Nie wolno zapominać o odpowiedniej podaży płynów [5].
Uszkodzenia tętnic wieńcowych w czasie przezskórnych interwencji wieńcowych zdarzają się stosunkowo często. Perforacja ściany tętnicy za pomocą jedynie lidera prowadzącego nie powoduje zazwyczaj objawów klinicznych i nie wymaga specjalnego leczenia oprócz obserwacji. Dużo poważniejsze konsekwencje ma uszkodzenie tętnicy w czasie plastyki wieńcowej. Występuje ono w 0,3-3% przypadków i jest częstsze przy stosowaniu bardziej złożonych technik (rotablacja, angioplastyka laserowa, wysokociśnieniowe rozprężanie stentu). Postępowanie w przypadku tamponady obejmuje zastosowanie cewników przepływowych, stentów, nakłucie osierdzia i uzupełnienie ubytku krwi. Gdy nie jest możliwe zatrzymanie krwawienia lub zagrożony jest duży obszar miokardium (>30%), konieczna jest interwencja kardiochirurgiczna [1].
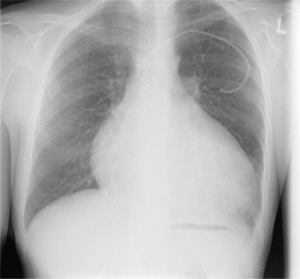
Perforacja prawej komory lub prawego przedsionka w czasie implantacji układu stymulującego lub kardiowertera-defibrylatora (implantable cardioverter-defibrillator, ICD) są stosunkowo rzadkie. Należy zauważyć, że mogą one występować wcześnie po zabiegu lub po upływie kilku godzin lub dni (do 30 dni – subacute perforation) [7-9]. Perforacja może być spowodowana przebiciem ściany prawej komory lub przedsionka przez elektrodę. Częstym mechanizmem jest penetracja ściany serca przez element mocujący elektrodę (active fixation lead). Ze względu na niewielkie uszkodzenie ściany serca krwawienie do worka osierdziowego nie jest nasilone, więc objawy pojawiają się po upływie dłuższego czasu od zabiegu. Przebieg kliniczny może przypominać ostre zapalenie osierdzia. Wysięk w worku osierdziowym może występować okresowo, może też nie być obecny (ryc. 1). Postępowanie obejmuje drenaż osierdzia i zmianę pozycji elektrody pod kontrolą radiologiczną w zabezpieczeniu kardiochirurgicznym (np. w warunkach sali hybrydowej) [1,4,7,8].

