IV edycja Kongresu HPV już 12-13 czerwca! Poznaj najnowsze trendy w profilaktyce, diagnostyce i leczeniu raka szyjki macicy i innych schorzeń związanych z HPV | Sprawdź >
Błędne koło terapii
Niebanalny kaszel
Prof. dr hab. med. Krzysztof Zeman1
Opracowała Olga Tymanowska
Można by ich nazwać pacjentami po przejściach. Leczą się od miesięcy, czasem lat. Wędrują od specjalisty do specjalisty. Gdzieś na początku tej drogi postawiono im diagnozę, potem ją zweryfikowano, wreszcie wrócono do pierwotnej. Różnie bywa. A samopoczucie pacjenta przez ten czas przypomina sinusoidę: lepiej, gorzej. Wreszcie jest tylko gorzej. I wtedy pacjent trafia na autorytet w swojej dziedzinie, który stawia nową diagnozę. Namówiliśmy takich specjalistów, by opowiedzieli, w jaki sposób doszli do prawidłowego rozpoznania. Powstały historie nie tylko medyczne, ale też pełne emocji, jak zwykle, gdy cierpienie miesza się z nadzieją.
Gdyby lekarz pediatra, po wykluczeniu podstawowych przyczyn kaszlu, szybciej skierował pacjenta na hospitalizację, czas do postawienia prawidłowej diagnozy byłby krótszy, a rokowanie lepsze. Gdyby wykonano jedno proste badanie, pacjent mógłby uniknąć szeregu niepotrzebnych konsultacji specjalistycznych, sprzecznych diagnoz i przewlekłego, niepotrzebnego leczenia.
Portret pacjenta, który się do mnie zgłosił
Sześcioletni chłopiec trafił do Kliniki Pediatrii i Immunologii z Pododdziałem Nefrologii CZMP z powodu utrzymującego się od ośmiu miesięcy uporczywego kaszlu, nasilającego się w nocy. Pacjent był w stanie ogólnym średnim, apatyczny, pokasływał, uwagę zwracał zaznaczony wysiłek oddechowy.
W wywiadzie stwierdzono kilka wirusowych, typowych dla okresu przedszkolnego, infekcji. W okresie niemowlęcym zmiany na skórze o typie AZS. Wywiad rodzinny w kierunku chorób alergicznych ujemny.
Historia poprzedniej, nieudanej terapii
Siedem miesięcy wcześniej mama wraz z synem zgłosiła się do pediatry z powodu utrzymującego się od czterech tygodni kaszlu. Lekarz zbadał chłopca i zebrał dokładny wywiad. Chłopiec, odkąd zaczął chodzić do przedszkola, częściej chorował. Infekcje wirusowe miały jednak łagodny przebieg. Lekarz uznał, że ma do czynienia z kaszlem poinfekcyjnym i zalecił nebulizacje z soli fizjologicznej. Wytłumaczył, że kaszel za kilka tygodni powinien samoistnie ustąpić. Zalecił kontrolę.
Po dwóch tygodniach kobieta zjawiła się ponownie. Nie zgłaszała poprawy. Twierdziła, że kaszel jest coraz bardziej dokuczliwy, szczególnie w nocy. Była przekonana, że jej dziecko łatwiej się męczy niż dotychczas i w związku z tym unika jakiegokolwiek wysiłku fizycznego. Lekarz uznał, że jest to efekt osłabienia po przebytej infekcji i zalecił nebulizacje glikokortykosteroidem wziewnym. Gdy po kolejnych dwóch tygodniach kaszel nie ustępował, włączył antybiotykoterapię.
Po następnych dwóch tygodniach kobieta z dzieckiem zgłosiła się ponownie. Stan chłopca nie uległ poprawie. Lekarz POZ skierował go na konsultację laryngologiczną, tam po dokładnym zbadaniu pacjenta i zebraniu wywiadu od matki wykluczono przerost migdałka gardłowego jako przyczynę przewlekającego się kaszlu. Kolejnym celem wizyt u specjalistów był gastroenterolog. Wytłumaczył matce, że często przyczyną kaszlu u dzieci jest refluks żołądkowo-przełykowy i że w tym upatruje źródła problemu.
Konsultacja gastrologiczna nie wykazała jednak niczego, co mogłyby tłumaczyć kaszel.
Gdy konsultacje wielospecjalistyczne nie przyniosły żadnego rozpoznania, lekarz wysunął przypuszczenie, że kaszel ma charakter psychogenny i zalecił kontakt z psychologiem. Matka poczuła się dotknięta i oburzona takimi sugestiami. Stwierdziła, że jej dziecko nie ma problemów psychicznych. I nie wyraziła zgody na konsultację.
W związku z tym lekarz zasugerował kontakt z pulmonologiem, ale matka nie chciała czekać, bo termin wizyty był odległy i postanowiła sama nadać kierunek dalszym konsultacjom.
Kaszel jest jednym z objawów najbardziej niepokojących rodziców. Na Zachodzie przyjmuje się, że kaszel poinfekcyjny może trwać do ośmiu tygodni. W Polsce rodzice najczęściej szukają pomocy już po czterech tygodniach od pojawienia się pierwszych objawów. A gdy pediatra czy lekarz POZ sugerują cierpliwość lub w opinii rodziców bagatelizują objawy, próbują dojść do prawidłowej diagnozy na własną rękę. Tak też było w tym wypadku.
Kilka dni później kobieta zgłosiła się do prywatnego gabinetu poleconego lekarza alergologa. Wykonał on punktowe testy skórne z alergenami powietrznopochodnymi, które wykazały silną alergię na roztocze kurzu domowego. Na podstawie wywiadu rozpoznał astmę oskrzelową i włączył typowe postępowanie farmakologiczne (wziewne GKS, leki: antyleukotrienowe, rozszerzające oskrzela, przeciwhistaminowe).
W czasie kolejnej wizyty zaproponował odczulanie. Matka wyraziła zgodę i cieszyła się, że znaleziono rozwiązanie problemu. Jednak kaszel nadal się utrzymywał. Chłopiec przychodził na regularne wizyty co cztery-sześć tygodni. Lekarz wobec braku poprawy zwiększał dawkę leków.
Stan chłopca coraz bardziej się pogarszał. Czuł się osłabiony, miał bardzo niską tolerancję wysiłku. Pocił się w nocy, miał coraz gorszy apetyt. Stronił od rówieśników, stał się apatyczny. Stan zdrowia nie pozwalał mu na samodzielne wejście na pierwsze piętro, gdzie mieścił się gabinet alergologa. Gdy jego matka zgłosiła ten fakt lekarzowi, usłyszała, że jest to częste u alergików i że chłopiec musi otrzymać silniejsze leki, które pozwolą na ustabilizowanie jego stanu. Jednak matka uznała, że dalsze leczenie u tego specjalisty nie ma sensu.
Została sama z coraz poważniejszym problemem. Nie wiedziała, do jakiego lekarza udać się po pomoc. Wróciła więc do pediatry, który jako pierwszy badał chłopca. Okazało się, że specjalista jest nieobecny. Zastępował go inny lekarz, który po osłuchaniu go natychmiast zdecydował o hospitalizacji. I w ten sposób właśnie chłopiec trafił do Kliniki Pediatrii i Immunologii z Pododdziałem Nefrologii CZMP w Łodzi.
Jak doszedłem do prawidłowej diagnozy
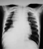
Już przy osłuchiwaniu dało się zauważyć wyraźną różnicę w szmerze oddechowym pomiędzy jedną a drugą częścią klatki piersiowej. Po stronie z osłabionym szmerem oddechowym wyraźnie słabiej uwidocznione były ruchy oddechowe. Zwracało uwagę zniesienie drżenia piersiowego i stłumienie wypuku. Węzły chłonne podżuchwowe i szyjne były powiększone, podobnie jak śledziona. Można się było spodziewać, że mamy do czynienia z zapaleniem płuc z wysiękiem do jamy opłucnej. Zdjęcie RTG klatki piersiowej uwidoczniło olbrzymi guz w śródpiersiu (ryc. 1.).
