IV edycja Kongresu HPV już 12-13 czerwca! Poznaj najnowsze trendy w profilaktyce, diagnostyce i leczeniu raka szyjki macicy i innych schorzeń związanych z HPV | Sprawdź >
Radiologia
Zmiany w nerkach o cechach torbieli
prof. dr hab. n. med. Ludomir Stefańczyk
OPIS PRZYPADKU
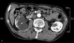
U 75-letniego mężczyzny wykonano w trybie ambulatoryjnym kolejne badanie USG jamy brzusznej. Pacjenta monitorowano ze względu na wcześniejsze uwidocznienie torbieli w obu nerkach. Obraz zmian sugerował występowanie nabytej torbielowatości nerek.1,2 Obserwowano kilka zmian bezechowych, których średnica powolnie przyrastała w kolejnych, wykonywanych co kilka lat badaniach USG. Chory nie zgłaszał żadnych dolegliwości, wydolność nerek oceniana w badaniach laboratoryjnych także była zachowana. Wyniki badań biochemicznych krwi oraz moczu były prawidłowe (u pacjenta wykonywano badania kontrolne ze względu na łagodny przerost gruczołu krokowego). Badanie USG jamy brzusznej wykazało obecność kilku zmian o cechach torbieli różnej wielkości, zlokalizowanych w obrębie obu nerek. Największa zmiana w dolnym biegunie nerki lewej miała typowy obraz – dobrze odgraniczona przestrzeń bezechowa. Zmiana o cechach torbieli opisywana w poprzednich badaniach, zlokalizowana na zewnętrznym obrysie nerki lewej, obecnie miała niejednorodną echostrukturę. W badaniu zastosowano opcję dopplerowską (CD – color doppler), nie wykazano jednak cech patologicznego unaczynienia w obrębie zmiany (ryc. 1).
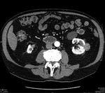
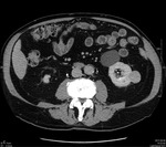
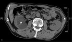
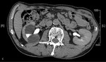
W związku z podejrzeniem występowania rozrostu w obrębie torbieli nerki u chorego w trybie ambulatoryjnym wykonano wielofazowe badanie metodą tomografii komputerowej (TK) jamy brzusznej (faza przeglądowa, faza tętnicza, korowo-rdzeniowa 30-50 s po dożylnym podaniu środka cieniującego i późna faza pokontrastowa, faza wydzielnicza, ok. 3-5 min po podaniu środka cieniującego).1 W badaniu potwierdzono występowanie w obu nerkach kilku zmian o cechach torbieli, zaś w obrębie nerki lewej torbieli z położonym obwodowo obszarem wzmocnienia pokontrastowego (ryc. 2A-D).
Dodatkowo nie stwierdzono cech adenopatii i zmian ogniskowych w wątrobie.
1. Na podstawie obrazu klinicznego i wyników przeprowadzonych badań u chorego można rozpoznać:
a. Nabytą torbielowatość nerek, po stronie lewej powikłaną procesem zapalnym
b. Raka nerkowokomórkowego
c. Torbielakogruczolaka nerki (guz Perlmana)
Proces zapalny obejmujący torbiel nerki może dać bardzo różnorodny obraz (zmiana charakteru płynu w obrębie torbieli znajduje odbicie w badaniach obrazowych). Obwodowe wzmocnienie pokontrastowe może wręcz potwierdzać występowanie ropnia.1 Tej koncepcji przeczy jednak stan kliniczny pacjenta i brak odchyleń od normy w badaniach laboratoryjnych. Rak nerkowokomórkowy przeważnie jest guzem o charakterze litym, jednak w ok. 20% przypadków może zawierać także elementy torbielowate.1 Obecność wzmocnienia obwodowego w fazie pokontrastowej badania TK, zwłaszcza rozmieszczonego nieregularnie, zawsze musi budzić podejrzenie rozrostu nowotworowego. U pacjenta, którego przypadek jest opisywany, na podstawie wyników badania histopatologicznego rozpoznano raka nerkowokomórkowego. Innym przykładem guza nowotworowego o charakterze torbielowatym, który może występować w obrębie nerki, jest torbielakogruczolak, znany także jako nerczak torbielowaty wielokomorowy. Guz najczęściej stwierdza się u małych chłopców i kobiet w wieku 40-70 lat (inaczej niż w prezentowanym przypadku). Składa się on z licznych torbieli wypełnionych śluzowatą treścią. W obrębie guza często występują zwapnienia (szacuje się, że w 10-50% przypadków), natomiast obszary krwotoczne lub martwicy, zazwyczaj obserwowane w rakach nerkowokomórkowych, w nerczakach torbielowatych są rzadkie. Kielichy i miedniczka nerki bywają modelowane przez torbiele, które nie komunikują się z układem wydalniczym. Po podaniu środka kontrastowego wzmocnieniu ulega lita część guza.1 Typowy obraz TK torbielakogruczolaka nerki zaprezentowano na rycinie 3A-C.







