Kongres Akademii po Dyplomie Pediatria 2026 👉 200 zł taniej do 27.02. Spotkajmy się 17-18 kwietnia w Warszawie | Skorzystaj z oferty >
Neurofizjologia kliniczna
Ultrasonografia nerwów obwodowych
Katarzyna Jachińska,1 Grzegorz Witkowski1,2
Wprowadzenie
Złotym standardem w diagnostyce chorób obwodowego układu nerwowego jest badanie neurograficzne, które pozwala stwierdzić zaburzenia przewodzenia potencjałów czynnościowych we włóknach nerwów obwodowych. Jest to narzędzie o wartości niepodlegającej dyskusji – interpretacja wyników neurografii pozwala na dokładną lokalizację miejsca uszkodzenia nerwu. Badanie neurograficzne nie spełnia jednak wszystkich oczekiwań diagnostycznych, posiada również pewne ograniczenia. Po pierwsze, badanie nie zapewnia informacji o zmianach strukturalnych w obrębie nerwu, pozwala ocenić tylko ich skutek. Po drugie, nie pozwala ocenić stosunków anatomicznych w bezpośrednim sąsiedztwie nerwu. Po trzecie, czułość i swoistość neurografii nie osiągają 100%. W około 10-20% przypadków chorych z typowymi objawami klinicznymi mononeuropatii z ucisku wynik badania neurofizjologicznego może być prawidłowy. Wreszcie, badanie jest zazwyczaj nieprzyjemne dla chorego, dość czasochłonne i drogie. Od około 20 lat na łamach literatury medycznej toczy się dyskusja, czy w związku z powyższym zasadne byłoby uzupełnienie lub nawet zastąpienie neurografii badaniem ultrasonograficznym nerwów obwodowych. Podejmowana jest także próba odpowiedzi na pytanie, czy wynik badania ultrasonograficznego może potwierdzić patologię nerwu w wypadku występowania typowych objawów klinicznych i ujemnego wyniku neurografii. Od roku 1990 tylko w odniesieniu do zespołu cieśni kanału nadgarstka ukazało się około 800 publikacji opisujących wykorzystanie badania USG. Ich podsumowaniem było opracowanie w 2012 roku wytycznych AANEM (American Asociation of Neuromuscular and Electrodiagnostic Medicine) dotyczących stosowania ultrasonografii w diagnostyce zespołu cieśni nadgarstka, w których stwierdzono, że istnieją aktualnie dowody doświadczalne na uznanie tej metody za użyteczną diagnostycznie. Coraz więcej doniesień dotyczy wykorzystania ultrasonografii w diagnostyce innych mononeuropatii z ucisku oraz pozostałych ogniskowych chorób nerwów obwodowych. Celem niniejszego artykułu jest krótki przegląd aktualnych wytycznych i wiedzy na temat zastosowania badań ultrasonograficznych w diagnostyce najczęstszych mononeuropatii z ucisku.
Techniczne aspekty badania ultrasonograficznego nerwów obwodowych
Ogromną zaletą badania USG nerwów obwodowych jest to, że nie wymaga specjalnie do tego przeznaczonego sprzętu. Prawidłowej oceny większości nerwów w obrębie kończyn można dokonać, wykorzystując zwykłą sondę liniową, jaka w neurosonologii stosowana jest do badania przepływu krwi w tętnicach szyi. Ocena dopplerowska może stanowić dodatkowy atut badania. W większości doniesień wykorzystywano sondy o częstotliwości 7-12 MHz, przy czym ogólną zasadą jest, że do diagnostyki nerwów położonych powierzchownie (np. nerwu pośrodkowego przed wejściem do kanału nadgarstka), lepiej stosować sondy o wyższych częstotliwościach. Najlepsze są sondy o częstotliwościach 15-18 MHz, które umożliwiają bardzo dokładną ocenę nawet drobnych elementów anatomicznych płytko położonych tkanek miękkich. Nie są one jednak zwykle standardowym wyposażeniem aparatów USG duplex Doppler, gorzej też sprawdzają się w ocenie nerwów położonych głębiej.1 Udogodnienia techniczne ostatnich lat, takie jak poprawa wydajności aparatów i lepsze algorytmy obróbki obrazu stosowane już standardowo, sprawiają, że wizualizacja dość drobnych struktur, jakimi są nerwy obwodowe, staje się łatwiejsza.
Nerwy obwodowe uwidacznia się w przekroju poprzecznym i podłużnym.1-3 W przekroju poprzecznym nerw ma owalny elipsoidalny lub bardziej spłaszczony i nieregularny zarys oraz charakterystyczną siatkowatą strukturę, która wiąże się z obecnością pęczków włókien nerwowych (aksonów), otoczonych hiperechogennym onerwiem (perineurium). Delikatna tkanka, która oddziela od siebie poszczególne aksony w pęczku (śródnerwie, endoneurium) w obrazie USG wysokiej rozdzielczości jest hipoechogenna. Nerw otoczony jest grubszą błoną – nanerwiem (epineurium), łatwą do uwidocznienia na obrazie ultrasonograficznym, na którym jest hiperechogeniczna. W przekroju podłużnym wyraźne hiperechogenne, równolegle położone linie wyznaczają nanerwie. Między nimi znajdują się równoległe linie o nieco mniejszej echogeniczności, które odpowiadają poszczególnym pęczkom włókien w obrębie nerwu (ryc. 1). Mięśnie charakteryzują się nieco mniejszą, a ścięgna – nieznacznie większą echogenicznością od nerwu.
Diagnostyka ultrasonograficzna zespołu cieśni kanału nadgarstka
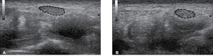
Przyczyną tej najczęstszej mononeuropatii jest ucisk nerwu pośrodkowego w kanale nadgarstka, spowodowany stanem zapalnym nerwu, zmianami zwyrodnieniowymi lub rzadziej pourazowymi (np. po złamaniu stawu promieniowo-nadgarstkowego). Główne objawy to uczucie mrowienia i drętwienia w obrębie nadgarstka, palca wskazującego i środkowego, dodatnie objawy Tinela i Phalena, zanik mięśni kłębu kciuka, osłabienie siły i precyzji ruchów dłoni. Z ultrasonograficznego punktu widzenia istotnym elementem patofizjologii jest wtórny do niedokrwienia związanego z uciskiem, obrzęk nerwu pośrodkowego, zaznaczony najbardziej w odcinku tuż przed wejściem do kanału nadgarstka. Dlatego najważniejszym punktem ultrasonograficznej diagnostyki zespołu cieśni nadgarstka jest ocena pola powierzchni przekroju poprzecznego nerwu (cross-section area, CSA) (ryc. 2). W klasycznej publikacji Buchbergera i wsp. z 1991 roku4 do pozostałych ultrasonograficznych objawów zespołu cieśni nadgarstka, poza powiększeniem pola powierzchni przekroju poprzecznego nerwu, zaliczono łukowate wygięcie troczka zginaczy i spłaszczenie nerwu w obrębie kanału.
Celem licznych badań, których wyniki opublikowano w ostatnich latach,5-8 było określenie najwłaściwszego miejsca oceny oraz norm dla pola powierzchni przekroju nerwu. W doniesieniach opartych na największym materiale i o prawidłowej metodologii (rozpoznanie zespołu cieśni nadgarstka zweryfikowane badaniem neurofizjologicznym), kwalifikowanych jako badania klasy 1 i 2 wg AAN (American Academy of Neurology),9 za najlepszą uznano ocenę pola powierzchni przekroju poprzecznego nerwu pośrodkowego tuż przed wejściem do kanału nadgarstka sondą liniową umieszczoną prostopadle do nerwu. Graniczna wartość pola powierzchni przekroju poprzecznego, powyżej której można postawić rozpoznanie zespołu cieśni nadgarstka, była różna i wahała się od 8,5 do 12 mm2. Czułość metody oceniano w zakresie 65-97%, a swoistość od 50 do 98%. Według wspomnianych we wstępie wytycznych AANEM9 dane te sugerują uznanie badania ultrasonograficznego za rekomendowane w rutynowej diagnostyce zespołu cieśni nadgarstka (poziom dowodów A).
Mimo pozytywnej opinii AAN wielu autorów10 sceptycznie odnosi się do uznania oceny ultrasonograficznej za równorzędną badaniu neurofizjologicznemu. Podkreślane są duży zakres czułości i swoistości badania, brak standardów stosowania optymalnej częstotliwości sondy ultrasonograficznej, duża subiektywność oceny, zależna od doświadczenia i umiejętności badającego, zmienność wynikająca z indywidualnych różnic w masie ciała i płci. Wreszcie wątpliwości budzi interpretacja wyników pozostających w tzw. szarej strefie, a więc pola przekroju poprzecznego o powierzchni 9-12 mm2. Nie ma jasności, czy wyniki w tym zakresie kwalifikować jako stan prawidłowy, czy patologiczny. Kwestie te skłoniły wielu badaczy do poszukiwania alternatywnych metod i parametrów oceny. Jednym z bardziej obiecujących jest stosunek pola powierzchni przekroju nerwu na poziomie wejścia do kanału nadgarstka do pola powierzchni przekroju tego nerwu na poziomie przedramienia (około 1/2 długości przedramienia, lokalizacja zmienna w zależności od autorów).11-13 We wspomnianych doniesieniach autorzy sugerują, że wprowadzenie współczynnika pomiaru może zwiększyć czułość, swoistość i dokładność badania. Według Hobsona-Webba i wsp.11 stosunek pola powierzchni przekroju nerwu pośrodkowego przed wejściem do kanału nadgarstka i na przedramieniu, w odległości 12 cm od nadgarstka, przekraczający 1,4 pozwala na rozpoznanie zespołu cieśni z 100% czułością.
Innym sposobem zwiększenia czułości i swoistości diagnostycznej jest uzupełnienie oceny w trybie B o badanie dopplerowskie. Ghasemi-Esfe i wsp.14 uzupełnili pomiar pola powierzchni przekroju poprzecznego o ocenę dopplerowską nerwu w przekroju poprzecznym oraz podłużnym. Pomiarów dokonywano w opcji power Doppler, przy niskiej wartości PRF (pulse repetitive frequency) i największym możliwym do zastosowania wzmocnieniu, tak aby zmaksymalizować możliwość wykrycia przepływu żylnego w obrębie nerwu. W opinii autorów obecność uchwytnych cech przepływu żylnego sugeruje hiperwaskularyzację nerwu związaną z przewlekłym stanem zapalnym i obrzękiem. Połączenie badania dopplerowskiego z oceną powierzchni przekroju poprzecznego w opinii autorów pozwala osiągnąć czułość i swoistość porównywalną do neurografii. Częstym podejściem w najnowszych doniesieniach jest łączenie wszystkich trzech sposobów oceny (pomiar przekroju poprzecznego nerwu przed wejściem do kanału nadgarstka, ocena stosunku pola powierzchni nerwu w nadgarstku i na przedramieniu, ocena dopplerowska).13,14 W interesującym doniesieniu Ghasemi-Esfe i wsp.15 wykazali przy zastosowaniu trzech wspomnianych parametrów obecność ultrasonograficznych cech zespołu cieśni nadgarstka u osób z objawami klinicznymi i prawidłowym wynikiem badania neurofizjologicznego.
Domanasiewicz i wsp.16 w doniesieniu podsumowującym badania z udziałem prawie 90 pacjentów opisali u ok. 70% osób z zespołem cieśni nadgarstka objaw ześlizgu nerwu pośrodkowego na stronę promieniową dookoła ścięgien zginaczy powierzchownych palców II i III. W opinii autorów objaw ten jest cechą zaawansowanego stadium schorzenia i nie był obserwowany u osób zdrowych.
Należy jednak podkreślić, że obecnie brakuje w piśmiennictwie rzetelnej oceny znaczenia diagnostycznego parametrów ultrasonograficznych innych niż pole powierzchni przekroju nerwu pośrodkowego.
Niewątpliwą zaletą badania ultrasonograficznego jest możliwość uwidocznienia patologii lub anomalii anatomicznych przyczyniających się do wystąpienia objawów ucisku na nerw pośrodkowy. Należą do nich: torbiel galaretowata (ganglion), guzy, zapalenie pochewek ścięgien (synovitis), ropnie, blizny, dodatkowe brzuśce mięśni, przetrwała tętnica nerwu pośrodkowego, rozdwojony nerw pośrodkowy (występujący pod postacią dwóch gałązek [bifid median nerve]).1-3 Część z tych patologii ma istotny wpływ na wybór i sposób leczenia. Według wytycznych AANEM uzupełnienie diagnostyki zespołu cieśni nadgarstka o badanie ultrasonograficzne jest uznane za wartościowe i może być rekomendowane (poziom dowodów B).9
Zespół kanału łokciowego
Zespół kanału łokciowego jest drugą co do częstości neuropatią uciskową po zespole kanału nadgarstka. Do ucisku nerwu łokciowego może dojść praktycznie na całym jego przebiegu. Najczęściej do uszkodzenia z ucisku z zewnątrz dochodzi w wyniku przewlekłego i powtarzalnego podpierania okolicy łokciowej na przykład podczas pracy przy komputerze. Inne przyczyny uszkodzenia nerwu łokciowego to urazy w wyniku uderzenia, stany zapalne lub guzy kanału nerwu łokciowego.17,18
W licznych publikacjach informowano o istnieniu pięciu punktów możliwego uszkodzenia nerwu łokciowego na odcinku 5 cm dystalnie i 10 cm proksymalnie od nadkłykcia przyśrodkowego kości ramiennej.19-21
Do objawów klinicznych występujących najczęściej w zespole kanału łokciowego należą: bóle kończyny, częściej pojawiające się w nocy, osłabienie zgięcia dłoniowego ręki, zaburzenia czucia w obrębie skóry unerwionej przez nerw łokciowy (palec V i IV ręki), osłabienie przywodzenia i odwodzenia palców związane z atrofią i dysfunkcją mięśni.22 Asami opisał kilka podziałów nasilenia zespołu kanału łokciowego. Najczęściej wymieniany jest trójstopniowy podział, w którym w stopniu I opisywane są zaburzenia czucia, w stopniu II i III osłabienie i zanik mięśni.23

