IV edycja Kongresu HPV już 12-13 czerwca! Poznaj najnowsze trendy w profilaktyce, diagnostyce i leczeniu raka szyjki macicy i innych schorzeń związanych z HPV | Sprawdź >
Badania naukowe
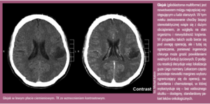
Zrozumieć i osaczyć glejaka
Danuta Pawlicka
Glejak wykazuje przy tym niezwykłą dynamikę wzrostu także po chirurgicznym wycięciu, gdy odrasta w błyskawicznym tempie, w dodatku ze zdwojoną złośliwością. Jego agresywność przejawia się też w wyjątkowej zdolności do angiogenezy i w braku apoptozy.
Doszliśmy do metody, która umożliwiła badanie DNA krwi i tkanki nowotworowej tego samego pacjenta. Ocena całkowitej zawartości drobnocząsteczkowego epigenetycznego znacznika w DNA pobranego materiału pomogła nam dokładnie ustalić jego związek ze złośliwością guza. Obecnie na tej podstawie jesteśmy w stanie dokładnie określić złośliwość guza od I do IV stopnia.
Naukowcy z Poznania pracują nad oryginalną, nowatorską terapią, która szybko przybliża nas do pokonania najgroźniejszego raka mózgu – pierwotnego glejaka wielopostaciowego
Poznański sukces, a tym są pierwsze, udokumentowane i opublikowane wyniki, ma dwóch ojców – prof. dr. hab. med. Stanisława Nowaka, neurochirurga, kierownika Kliniki Neurochirurgii i Neurotraumatologii w Poznaniu i prof. dr. hab. Jana Barciszewskiego, biologa molekularnego kierującego Laboratorium Epigenetyki w Instytucie Chemii Bioorganicznej PAN w Poznaniu. Ich współpraca, trwająca od połowy lat dziewięćdziesiątych, przyniosła już konkretne efekty lecznicze, jakimi nikt inny nie może się wykazać. Pierwszego przełomu dokonali, stosując ATN-RNA (antytenascynę) – nowy preparat opracowany w instytucie poznańskich epigenetyków. Jest to dwuniciowy RNA o sekwencji komplementarnej do mRNA białka macierzy pozakomórkowej tenascyny-C. Sprawdził się jako terapeutyk bezpieczny, skuteczny w leczeniu złośliwych glejaków mózgu, przedłużający życie i poprawiający komfort życia. A to dopiero forpoczta trwających prac.
Trudny przeciwnik
– Obserwowałem wielu chorych z glejakiem i za każdym razem rozkładałem ręce, bo nie mogłem im pomóc – mówi prof. Nowak. – Specyficzna jest też natura glejaka, który charakteryzuje się naciekającym wzrostem, intensywną migracją i szybkim rozrostem.
Do pełnego obrazu nowotworu trzeba dopisać wiele innych cech sytuujących go na czele listy najgroźniejszych. Do nich należy zdolność jednej komórki do skolonizowania otoczenia przez naciekanie bez widocznych granic oraz tworzenie nowych, małych guzków upodabniających się do izolowanych wysepek na wodach oceanu. Glejak wykazuje przy tym niezwykłą dynamikę wzrostu także po chirurgicznym wycięciu, gdy odrasta w błyskawicznym tempie, w dodatku ze zdwojoną złośliwością. Jego agresywność przejawia się też w wyjątkowej zdolności do angiogenezy i w braku apoptozy.
Prof. Nowak szukał czegoś, co zmieniłoby niekorzystne dla chorych leczenie. Kilkanaście lat temu takim światełkiem w tunelu wydawała się terapia genowa, która, szczególnie w USA, znalazła wielu entuzjastów. Szybko jednak zniechęcił się do niej, gdy zaczęto donosić o śmierci pacjentów.
Epigenetyka – to jest to!
Zaczął rozważać inny problem. Kiedy chory zgłaszał się do niego z konkretnymi objawami – bólami głowy, zachwianiem równowagi, sennością, napadami padaczkowymi, guz przekraczał już 3 milimetry, które z łatwością wykrywał rezonans magnetyczny. Poznański neurochirurg wspomina, że któregoś dnia, gdy oglądał kolejne niepomyślne dla chorego wyniki, zaczął się zastanawiać, jak wykryć glejaka, zanim osiągnie rozmiar 2 mm, gdy zaczyna tworzyć własną sieć naczyń krwionośnych i rozpoczyna samodzielne życie niezależne od organizmu człowieka.
– Z takim pytaniem profesor zjawił się u nas w instytucie połowie lat dziewięćdziesiątych. Chciał wiedzieć, co my możemy zrobić, żeby zdiagnozować nowotwór we wczesnym etapie. Doszliśmy do metody, która umożliwiła badanie DNA krwi i tkanki nowotworowej tego samego pacjenta. Ocena całkowitej zawartości drobnocząsteczkowego epigenetycznego znacznika w DNA pobranego materiału pomogła nam dokładnie ustalić jego związek ze złośliwością guza. Obecnie na tej podstawie jesteśmy w stanie dokładnie określić złośliwość guza od I do IV stopnia – opowiada prof. Barciszewski.
Dla prof. Nowaka był to już postęp, ponieważ zyskał metodę molekularną pozwalającą oszacować zmiany. Jednak ciągle nie miał leku, który pokona tak małego glejaka, jakiego namierzał dzięki naukowcom z Instytutu Chemii Bioorganicznej PAN.
– Wtedy przyszedł do nas ponownie i powiedział, że oczekuje skutecznego leku. I najlepiej szybko, bo pacjenci czekają – opowiada prof. Barciszewski.
Opracowano „interferencyjny RNA” – preparat podawany śródoperacyjnie. Pracochłonny cykl przygotowań i badań zespołu, którym kierował, prof. Barciszewski podsumowuje krótko: – Musieliśmy zahamować lub ograniczyć proces nowotworzenia, dlatego należało znaleźć sposób, który powstrzyma odczytywanie informacji genetycznej, niezbędnej do tworzenia guza – tłumaczy.
Cel został osiągnięty. ,,Interferencyjny RNA” ogranicza powstawanie białka tenascyny-C, Komisja Etyki Uniwersytetu Medycznego bez zastrzeżeń zgodziła się na podawanie jej chorym. Teraz eksperymentalnym, ale już opatentowanym preparatem ostrzykuje się miejsce po usunięciu nowotworu, gdzie mogą jeszcze pozostawać komórki guza.
– Sukces leczenia zależy od tego, gdzie jest on ulokowany, bo to determinuje zakres operacji i pokazuje, jaki jest stopień złośliwości – mówi prof. Nowak.
