IV edycja Kongresu HPV już 12-13 czerwca! Poznaj najnowsze trendy w profilaktyce, diagnostyce i leczeniu raka szyjki macicy i innych schorzeń związanych z HPV | Sprawdź >
Stomatologia dziecięca
Replantacja wybitego siekacza stałego
Lek. dent. Natalia Wielusińska-Opałko
Lek. dent. Agnieszka Orlińska
Powodzenie zabiegu w dużej mierze zależy od prawidłowo udzielonej pierwszej pomocy
Ryc. 1. Stan w dniu zgłoszenia się pacjentki do Poradni Stomatologii Dziecięcej PUM – pusty zębodół po wybitym zębie 11.
Całkowite zwichnięcie zęba (wybicie, luxatio dentis totalis) jest jednym z najpoważniejszych urazów stomatologicznych. Charakteryzuje się ono utratą kontaktu zęba z zębodołem na skutek przerwania ciągłości więzadeł ozębnej i pęczka naczyniowo-nerwowego.[1] Według piśmiennictwa stanowi 0,5-3 proc. wszystkich uszkodzeń ciała.[2] Dochodzi do niego podczas bójek, upadków, uprawiania sportów, zajęć szkolnych oraz wypadków komunikacyjnych.[1] Właściwa diagnoza oraz szybkie i prawidłowe wszczęcie leczenia warunkują powodzenie zabiegu replantacji.
Opis przypadku
Dziewięcioletnia pacjentka 22 maja 2014 roku w godzinach popołudniowych podczas biegu upadła, uderzając brodą o chodnik. Nie straciła przytomności. Doszło jednak do całkowitego zwichnięcia zęba 11 wraz ze złamaniem jego korony oraz złamania korony zęba 21 (II klasa wg Ellisa).
Siekacz był przechowywany przez około trzy godziny, zawinięty w suchą chusteczkę. Po tym czasie dziecko trafiło na pogotowie stomatologiczne w Szczecinie, gdzie zaopatrzono złamane korony zębów 11 i 21 oraz dwukrotnie podjęto próby replantacji siekacza. Zakończyły się one niepowodzeniem ze względu na brak odpowiedniego unieruchomienia. Wdrożono antybiotykoterapię.
Następnego dnia (23 maja 2014 roku) ok. godziny 9.00 pacjentka zgłosiła się do Poradni Stomatologii Dziecięcej PUM w Szczecinie. Ząb 11 był przechowywany w plastikowym pudełku z mlekiem. W badaniu stomatologicznym zaobserwowano stłuczenie bródki, nie było naruszenia ciągłości wargi górnej i dolnej, uszkodzenia dziąsła ani złamania wyrostka zębodołowego. Stwierdzono natomiast pusty zębodół po wybitym siekaczu (ryc. 1). Higiena jamy ustnej była zadowalająca. Wywiad ogólnomedyczny nie wskazywał na wystąpienie ogólnych i miejscowych przeciwwskazań do zabiegu replantacji.
Długi czas przebywania zęba w suchym środowisku oraz wcześniejsze próby replantacji mogły decydować o niepowodzeniu dalszego leczenia. Ze względu na młody wiek pacjentki, uwarunkowania estetyczne i psychologiczne podjęto jednak próbę wykonania zabiegu. Rodzice dziecka zostali poinformowani o możliwych powikłaniach.
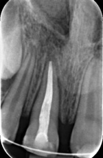
W celu replantacji ząb przemyto jałowym roztworem soli fizjologicznej. Za pomocą gazy korzeń oczyszczono z resztek ozębnej. Następnie umieszczono w żelu Elmex na 20 minut, aby spowolnić ewentualną następową resorpcję (ryc. 2).[3] Kanał został opracowany i wypełniony metodą kondensacji bocznej gutaperki oraz pastą AH PLUS poza jamą ustną. (ryc. 3). Po leczeniu endodontycznym ząb zabezpieczono materiałem Ketac-Fil. Wierzchołek korzenia nieco wygładzono. W znieczuleniu nasiękowym preparatem 4-proc. Ubistesin forte zębodół zbadano i przepłukano solą fizjologiczną. Ząb replantowano z delikatnym naciskiem, zwracając uwagę na zachowanie prawidłowych kontaktów zwarciowych (ryc. 4). Następnie założono ligaturę drucianą, włączając do unieruchomienia zęby 53, 12, 21, 22, 63 (ryc. 5). Wykonano kontrolne zdjęcie RTG (ryc. 6). Ze względu na długi okres przebywania zęba poza jamą ustną w niekorzystnym środowisku oraz wakacyjny wyjazd pacjentki, unieruchomienie pozostawiono na pięć tygodni.
Zalecono też szczególną dbałość o prawidłową higienę jamy ustnej, dwukrotne w ciągu dnia stosowanie płukanki z chloroheksydyną oraz miękką dietę. Rodzice dziecka zostali poinformowani o konieczności sprawdzenia ważności szczepienia przeciwtężcowego.
Przeciwwskazania do replantacji
► immunosupresja,
► cukrzyca,
► zapalenie wsierdzia,
► skaza krwotoczna,
► choroba nowotworowa,
► wirusowe zapalenie wątroby,
► choroba reumatyczna,
► stany z obniżeniem odporności,
► zła higiena jamy ustnej,
► choroby przyzębia,
► złogi nazębne,
► liczne ubytki próchnicowe i braki zębowe,
► złamania korzenia w wybitym zębie.[1,2]





