IV edycja Kongresu HPV już 12-13 czerwca! Poznaj najnowsze trendy w profilaktyce, diagnostyce i leczeniu raka szyjki macicy i innych schorzeń związanych z HPV | Sprawdź >
Diagnostyka zagadki echo
Echoporada
Mirosław Kowalski
Szanowni Państwo, drodzy Czytelnicy,
Kolejne Echoporada i Echoszarada dotyczą dwóch różnych problemów diagnostyki ultradźwiękowej. Prezentowany w Echoporadzie przypadek odnosi się do zatorowości płucnej – choroby zagrażającej życiu, w której wdrożenie właściwego postępowania poprawia przeżycie i wpływa korzystnie na rokowanie u chorego. W podjęciu optymalnej decyzji ważne jest badanie echokardiograficzne, pełniące rolę uzupełniającą wobec innych metod oceny – klinicznej, biochemicznej, radiologicznej. Ryciny i załączony komentarz podkreślają wartość echokardiografii oraz przypominają o ograniczeniach metody. Ryciny Echoszarady, ukrywające wybrane nieprawidłowości i patologie układu krążenia, dowodzą, że nierzadkie jest współistnienie różnych rodzajów obciążeń lewej komory – ciśnieniowego i objętościowego, co może skutkować szczególnie nasiloną dysfunkcją mięśnia. Prezentowany w Echoszaradzie przypadek był z częścią Państwa szczegółowo dyskutowany w trakcie marcowej konferencji Kardiologii po Dyplomie. Życzę wielu sukcesów diagnostycznych.
Mirosław Kowalski
Dane kliniczne:
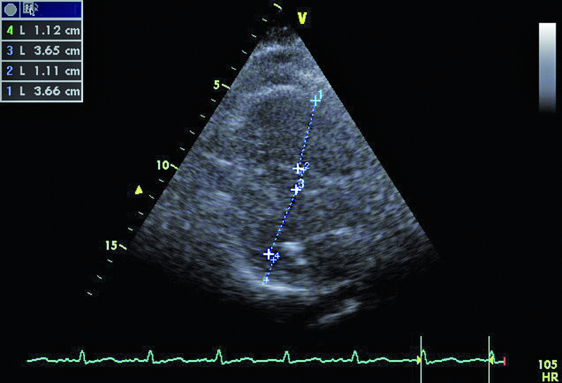
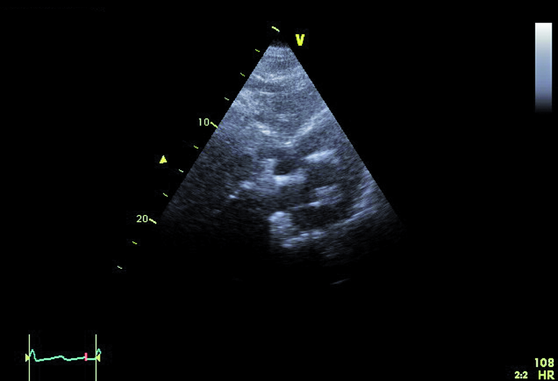
Powodem hospitalizacji 74-letniej kobiety był wielogodzinny ból w klatce piersiowej z towarzyszącą dusznością i niskim ciśnieniem tętniczym (90/60 mm Hg). W dniu hospitalizacji wystąpiło także krótkotrwałe omdlenie. W EKG zwracały uwagę cechy przebytego zawału serca ściany dolnej oraz brak progresji załamka R w odprowadzeniach V1-V4. Pacjentka od kilku lat chorowała na cukrzycę i nadciśnienie tętnicze. Po krótkotrwałym pobycie na oddziale szpitala rejonowego chorą przeniesiono do ośrodka referencyjnego. W wykonanej w trybie pilnym koronarografii uwidoczniono nieistotne zmiany miażdżycowe w naczyniach wieńcowych – maksymalnie do 40%. Wywiad, dziesięciokrotnie podwyższone stężenie d-dimeru i troponiny oraz powiększenie jamy prawej komory w badaniu echokardiograficznym stanowiły podstawę do poszukiwania zatorowości płucnej. Wykonane badanie TK klatki piersiowej pozwoliło uwidocznić skrzeplinę obejmującą pień oraz gałęzie płucne do poziomu tętnic segmentalnych. Ze względu na brak poprawy klinicznej w trakcie podawania heparyny zastosowano leczenie fibrynolityczne (alteplaza). Z powodu gorączki zastosowano także antybiotyk. W USG jamy brzusznej nie stwierdzono procesu nowotworowego, a badanie układu żylnego kończyn dolnych uwidoczniło skrzeplinę w żyle podkolanowej. Po kilku dniach od podania leku fibrynolitycznego obserwowano stopniowe ustępowanie duszności, stabilizację ciśnienia tętniczego, zmniejszenie parametrów zapalnych i stężenia d-dimeru. Rejestrowano także wzrost ciśnienia parcjalnego tlenu we krwi obwodowej. Dziesięć dni później wykonano kontrolne badanie echokardiograficzne (ryciny).
Pytanie:
Jakie informacje niosą przedstawione ryciny? Jak należy postąpić z chorą?
Odpowiedź:
Dowodem klinicznym masywnej zatorowości płucnej był u chorej epizod omdlenia, utrzymująca się duszność, niskie ciśnienie tętnicze. Wiodącą rolę w rozpoznaniu choroby pełni tomografia komputerowa. Badanie echokardiograficzne uznawane jest za uzupełniające. Powiększenie jamy prawej komory stwierdzane w dniu hospitalizacji mówiło o możliwości istotnej dysfunkcji łożyska płucnego. Masywna zatorowość jest wskazaniem do włączenia leczenia fibrynolitycznego, zmniejszającego śmiertelność i zapobiegającego nawrotom choroby. Stan kliniczny pacjentki w wyniku zastosowanej alteplazy poprawił się. Rejestrowano zmniejszenie stężenia d-dimeru i troponiny. Czy jednak sytuacja chorej nie budzi już niepokoju? Mimo ograniczonej jakości przedstawionych rycin można dostrzec, że jama prawej komory jest przeciążona (ryc. 1, 2), a ciśnienie w łożysku tętnic płucnych szacowane z czasu akceleracji wypływu (66 ms!) jest podwyższone (ryc. 3). Im większa jest obstrukcja łożyska płucnego, tym więcej cech dysfunkcji prawej komory stwierdza się w badaniu ultradźwiękowym. Warunki obrazowania utrudniały odniesienie się do odcinkowej kurczliwości ściany wolnej i potwierdzenie lub wykluczenie objawu McConnella, czyli dysfunkcji segmentu środkowego. Ze względu na trudność w wizualizacji wsierdzia nie można było także ocenić zmiany pola powierzchni prawej komory (RV FAC). Mimo zachowanej funkcji kurczliwej prawej komory mierzonej wartością przemieszczenia pierścienia trójdzielnego (ryc. 4) uważny czytelnik z pewnością dostrzeże tkwiącą w prawej tętnicy płucnej skrzeplinę (ryc. 5, 6). Rzadko udaje się bezpośrednio uwidocznić skrzeplinę w łożysku tętnic płucnych. Kontrolne badanie TK klatki piersiowej potwierdziło obecność tzw. zatoru jeźdźca w pniu płucnym ze skrzeplinami w gałęzi prawej i gałęziach segmentalnych do płata dolnego prawego płuca. Obserwowano jedynie częściową regresję skrzeplin z tętnic płatowych i segmentalnych. Mamy więc do czynienia z nieskutecznością leczenia fibrynolitycznego (no clot resolution). Dobry stan kliniczny chorej nie wskazywał na potrzebę zastosowania leczenia chirurgicznego i embolektomii. Nie podjęto także decyzji o powtórnym leczeniu fibrynolitycznym z użyciem innego środka. Postanowiono kontynuować leczenie przeciwkrzepliwe i przeprowadzić po kilku tygodniach ponowną ocenę stanu klinicznego pacjentki i stanu łożyska tętnic płucnych. Wobec wieku chorej i licznych obciążeń internistycznych interesującą opcją leczenia (ale niestosowaną w tutejszym ośrodku) byłaby trombektomia za pomocą cewnika z miejscowym podaniem leczenia fibrynolitycznego.





