IV edycja Kongresu HPV już 12-13 czerwca! Poznaj najnowsze trendy w profilaktyce, diagnostyce i leczeniu raka szyjki macicy i innych schorzeń związanych z HPV | Sprawdź >
Diagnostyka zagadki echo
Echoporada
Mirosław Kowalski
Szanowni Państwo, drodzy Czytelnicy,
Wynik quizu przeprowadzony wśród asystentów kliniki był dobry. Większość pytanych potrafiła znaleźć rozwiązanie Echoporady i Echoszarady. Moi rozmówcy jednak na co dzień zmagają się z trudnymi problemami diagnostyki kardiologicznej i są doświadczeni. Ufam, że część z Państwa napotka w prezentowanych zagadkach mniej znane zagadnienia i uzna dołączone ryciny za dydaktyczne.
W marcowym numerze Echoporada dotyczy przypadku chłopca poddanego leczeniu operacyjnemu w klinice kardiochirurgii dorosłych, a pozostającego do niedawna pod opieką zespołu kardiologów dziecięcych. Opisany problem dowodzi, jak bardzo potrzebujemy wspólnej wymiany myśli i prezentacji doświadczeń. W takich warunkach współpraca, nawet po osiągnięciu przez pacjenta pełnoletności, zaowocuje podjęciem optymalnej decyzji.
W Echoszaradzie, zgodnie z założeniami tego podrozdziału, pytam o ukryte na rycinach patologie i nieprawidłowości. Nie określam ich liczby, może być ich zarówno mniej, jak i więcej niż prezentowanych rycin.Ponownie apeluję o nadsyłanie ciekawego materiału, mogącego stanowić test dla oka, czujności i wiedzy czytelnika. Łączę serdeczne, wiosenne już pozdrowienia.
Mirosław Kowalski
Dane kliniczne:
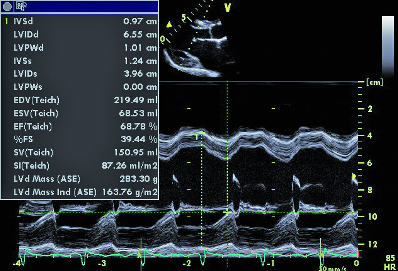
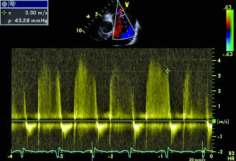
U chłopca, obecnie 16-letniego, wykonano w okresie noworodkowym zabieg operacyjny walwuloplastyki zastawki aortalnej z powodu wrodzonej stenozy. Uzyskano zmniejszenie gradientu maksymalnego z 50 do 16 mm Hg. W ciągu wielu lat obserwacji w ośrodku kardiologii dziecięcej gradienty przepływu przez zastawkę były niskie, a stan kliniczny pacjenta dobry. Sytuacja zmieniła się przed kilkoma miesiącami. Chłopiec został przyjęty do szpitala z powodu męczliwości, szybkiej częstości serca (do 90/min w rytmie zatokowym z pojedynczą ekstrasystolią komorową). Prawdopodobną przyczyną pogorszenia stanu zdrowia była przebyta wcześniej infekcja górnych dróg oddechowych. W badaniu przedmiotowym zwracał uwagę szmer holosystoliczny na koniuszku, promieniujący do pachy. W EKG rejestrowano cechy przerostu i przeciążenia mięśnia lewej komory. Wykonano cewnikowanie serca, stwierdzając nadciśnienie płucne ze średnim ciśnieniem w kapilarach płucnych 29 mm Hg. Pacjent był leczony intensywnie lekami moczopędnymi, beta-adrenolitykami i amiodaronem. Wobec braku poprawy skierowano go na oddział kardiologii dorosłych w celu rozważenia wskazań do leczenia operacyjnego. W badaniu echokardiograficznym zwracały uwagę wąskie strumienie niedomykalności zastawki aortalnej z czasem PHT wynoszącym 206 ms, istotnie powiększona jama lewego przedsionka z powierzchnią około 50 cm2, ciężkie nadciśnienie płucne z ciśnieniem skurczowym w jamie prawej komory 114 mm Hg!, rejestrowanym z małej fali zwrotnej trójdzielnej. Nie stwierdzono wady przeciekowej.
Pytanie:
Jaką decyzję należy podjąć? Czy chłopiec rzeczywiście powinien być operowany? Jeśli tak, co należy skorygować?
Odpowiedź:
Chłopiec przebył w okresie noworodkowym zabieg walwuloplastyki aortalnej powikłany niedomykalnością zastawki (ryc. 1). Wada miała charakter przewlekły i spowodowała pojawienie się mechanizmów wyrównawczych. Jednym z nich jest zwiększenie objętości lewej komory i przyspieszenie rytmu serca. Frakcja wyrzutowa lewej komory jest zachowana (ryc. 2). Z pewnością infekcja górnych dróg oddechowych była czynnikiem inicjującym niekorzystny dla chorego przebieg zdarzeń. Ocena ciężkości niedomykalności aortalnej na podstawie parametrów ilościowych jest w tym przypadku trudna. Czas połowicznego spadku gradientu ciśnień PHT (aorta – lewa komora) oraz strumień fali zwrotnej w badaniu kolorowego doplera mogłyby wskazywać na umiarkowaną niedomykalność. Nie można jednak zapominać o możliwości zwiększenia ciśnienia rozkurczowego w jamie lewej komory, istotnie zmniejszającego gradient wsteczny i zakres fali zwrotnej. W przypadku dwustrumieniowej fali zwrotnej (jak w tym przypadku) talii cząstkowych niedomykalności nie sumuje się. Podobnie ograniczone zastosowanie w tym wypadku (ekscentryczne fale zwrotne) ma metoda ERO. Najprawdopodobniej wtórną do niedomykalności aortalnej wadą jest niedomykalność mitralna wynikająca z poszerzenia jamy lewej komory i poszerzenia pierścienia zastawki mitralnej. Niedomykalność mitralna także wydaje się co najwyżej umiarkowana (ryc. 3). Należy pamiętać, że i w tym wypadku szerokość strumienia fali zwrotnej zależy od wysokości ciśnienia w jamie przyjmującej, czyli w lewym przedsionku. Na podstawie przedstawionego materiału (ryc. 4-6) można stwierdzić, że nadciśnienie płucne u chłopca (postkapilarne) jest ciężkie, a ciśnienia uległy istotnemu zwiększeniu w porównaniu z wartościami stwierdzanymi wcześniej podczas cewnikowania serca (ciśnienie rozkurczowe płucne 54 mm Hg, średnie 74 mm Hg!). Warto zwrócić uwagę na profil spływu z żył płucnych. Zaznacza się w nim bardzo krótka faza odzwierciedlająca wyłącznie rozkurczowy napływ krwi do lewego przedsionka. Zwiększona objętość jamy przedsionka, wysokie ciśnienie krwi w niej panujące oraz ograniczona podatność ściany sprawiają, że w fazie skurczu komory nie rejestruje się napływu do jamy przedsionka. Podobnie bardzo wysokie ciśnienie w układzie żył płucnych sprawia, że nie obserwuje się przepływu wstecznego w związku z ciągle zachowanym skurczem przedsionka (rytm zatokowy). Chłopca zakwalifikowano do operacji dwuzastawkowej z powodu ciężkiej niedomykalności aortalnej i mitralnej. Zabieg implantacji zastawki biologicznej o średnicy 23 mm w ujście aortalne oraz pierścienia o średnicy 32 mm w ujście mitralne przyniósł dobry efekt.





