IV edycja Kongresu HPV już 12-13 czerwca! Poznaj najnowsze trendy w profilaktyce, diagnostyce i leczeniu raka szyjki macicy i innych schorzeń związanych z HPV | Sprawdź >
Diagnostyka tk, mr
Przemieszczenie systemu ICD poza światło komory – opis przypadku
Sławomir Boboń,1 Bożydar Sambor,2 Barbara Engel,1 Magdalena Zagrodzka3
Drogie Koleżanki i Drodzy Koledzy,
Poniższym artykułem rozpoczynamy cykl krótkich opisów przypadków, z którymi każdy może spotkać się w codziennej praktyce klinicznej. Głównym walorem cyklu będą przede wszystkim informacje kliniczne oraz ścieżka diagnostyczna, która doprowadziła lekarza prowadzącego do postawienia prawidłowego rozpoznania, oczywiście przy wsparciu nieinwazyjnej diagnostyki obrazowej. Chciałabym również serdecznie wszystkich zaprosić do współtworzenia ze mną tego cyklu, w którym Czytelnicy będą mogli otrzymać dawkę wiedzy praktycznej połączonej z zastosowaniem współczesnych technik obrazowych.
Magdalena Zagrodzka
Doświadczenie – nazwa, którą nadajemy naszym błędom
Oskar Wilde
Pięćdziesięciosiedmioletnia kobieta z rozległym niedokrwiennym i pozawałowym uszkodzeniem mięśnia lewej komory (LVEF 21%) bez możliwości leczenia rewaskularyzacyjnego została przyjęta we wrześniu 2011 roku na Oddział Kardiologii Wojewódzkiego Szpitala Specjalistycznego w Legnicy z objawami zdekompensowanej niewydolności serca (zastój w krążeniu płucnym, hepatomegalia, obrzęki obwodowe oraz płyn w obu jamach opłucnowych). Po wyrównaniu hemodynamicznym chorej zaproponowano w ramach prewencji pierwotnej wszczepienie ICD, na które pacjentka wyraziła zgodę. W dniu 12 września 2011 roku wszczepiono jej urządzenie Maximo II VR firmy Medtronic z elektrodą Sprint Quatro 6947 Medtronic. Zabieg przebiegł bez powikłań. Ze względu na obecność skrzepliny w koniuszku lewej komory opisanej w badaniu echokardiograficznym odstąpiono od wykonania testu defibrylacji, zalecono leczenie doustnym antykoagulantem i zgłoszenie się na oddział po co najmniej czterotygodniowym skutecznym (INR 2,0-3,0) leczeniu przeciwkrzepliwym.
Pacjentka zgłosiła się ponownie 9 listopada 2011 roku. Od zabiegu czuła się dobrze, krążenie było wyrównane, dolegliwości wieńcowe nie występowały. W badaniu przedmiotowym stwierdzono miarową czynność serca, prawidłowo akcentowane i nieco ściszone tony serca oraz szmer 2/6 niedomykalności mitralnej. Nie osłuchiwano zastoju w krążeniu płucnym, nie było obrzęków obwodowych ani hepatomegalii. W badaniu EKG zarejestrowano rytm zatokowy o częstości 64/min z blokiem dwuwiązkowym (RBBB + LAH), patologiczne załamki Q w odprowadzeniach V1-V6 oraz przetrwałe uniesienie odcinka ST-T w odprowadzeniach V3-V6 – zapis podobny do poprzedniego. Parametry elektryczne układu niskonapięciowego ICD były prawidłowe.
W kontrolnym badaniu echokardiograficznym nie stwierdzono opisywanej wcześniej skrzepliny, zwracała natomiast uwagę obecność gęstego płynu w worku osierdziowym, maksymalnie do 15 mm za ścianą tylną z widocznym pogrubieniem blaszki trzewnej osierdzia, sugerującego krew. Radiogram klatki piersiowej nie pozwolił wykluczyć perforacji ściany prawej komory. W celu rozstrzygnięcia wątpliwości pacjentkę skierowano na badanie serca metodą wielorzędowej tomografii komputerowej (multislice computed tomography, MSCT).
W badaniu uwidoczniono:
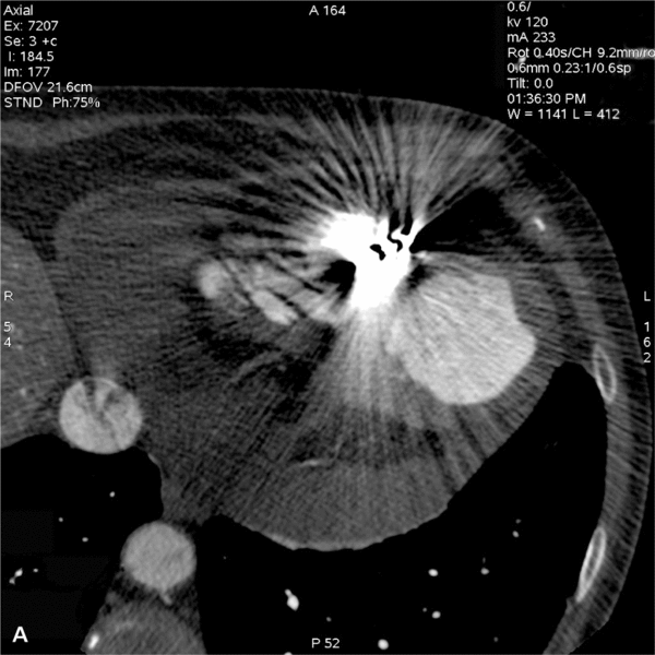
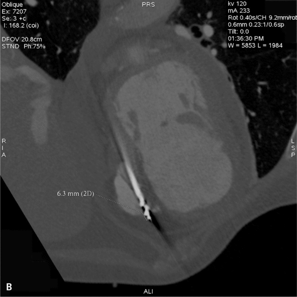
• przemieszczenie końcowego odcinka elektrody poza światło prawej komory uwidocznione dopiero po ponownej prośbie kardiologa, aby zwrócić uwagę na położenie końcówki elektrody, co wymagało zmiany szerokości i długości okna rekonstruowanego (często nie udaje się postawić rozpoznania z powodu masywnych artefaktów od elektrody) (ryc. 1A, B),
RYCINA 1. Badanie serca metodą TK. [A] Warstwa poprzeczna na standardowym oknie. Masywne artefakty od elektrody całkowicie uniemożliwiają ocenę jej położenia względem ściany prawej komory. [B] Warstwa rekonstrukcji MPR w linii elektrody po odpowiednim ustawieniu okna. Dystalny odcinek elektrody nieznacznie przemieszczony o 5 mm poza światło prawej komory.
• krwistą treść w worku osierdziowym (ryc. 2),
RYCINA 2. Badanie serca metodą TK. Warstwa poprzeczna na standardowym oknie. Płyn w worku osierdziowym o niejednorodnej gęstości.
• niedrożną gałąź przednią zstępującą lewej tętnicy wieńcowej (ryc. 3),
RYCINA 3. Badanie serca metodą TK. Rekonstrukcja MIP tętnic wieńcowych. Niedrożna lewa tętnica wieńcowa w segmencie środkowym. Recesywna prawa tętnica wieńcowa. Gałąź okalająca lewej tętnicy wieńcowej dominująca, drożna.
• kardiomiopatię mięśnia serca o podłożu niedokrwiennym (ryc. 4).
RYCINA 4. Badanie metoda TK. Rekonstrukcja VR serca z widocznym poszerzeniem wszystkich jam serca i pozawałowym tętniakiem lewej komory serca.
Chora pozostaje w ścisłej obserwacji oddziału. Po kolejnych trzech miesiącach nie zgłasza dolegliwości, a parametry elektryczne ICD (czułość, impedancja i próg pobudliwości) pozostają na dotychczasowym poziomie.
Uwagi praktyczne radiologa
1. Powikłanie po wszczepieniu systemu ICD w postaci przebicia komory jest częstym znaleziskiem przypadkowym w badaniu TK u pacjentów z chorobami układu krążenia.
2. Masywne artefakty spowodowane metalową konstrukcją końcowego odcinka elektrody ICD uniemożliwiają wiarygodną ocenę obszaru w promieniu 2-5 mm wokół końcówki elektrody. Jest to częsty powód braku możliwości potwierdzenia lub wykluczenia przebicia ściany komory.
3. Ze względu na bardzo trudną ocenę systemu ICD metodą TK prawidłowy wynik badania nie wyklucza przebicia ściany komory.
4. Ze względu na bardzo utrudnioną ocenę struktur wokół elektrody w obrazach TK ważne jest, aby w skierowaniu lekarz kierujący uczulił radiologa na konieczność dokładnej oceny położenia końca elektrody. W innym przypadku nawet 5-6 mm przemieszczenia końca poza światło komory może być niewidoczne bez wykonania szczegółowej oceny w odpowiednio dostosowanych oknach i rekonstrukcjach.

