IV edycja Kongresu HPV już 12-13 czerwca! Poznaj najnowsze trendy w profilaktyce, diagnostyce i leczeniu raka szyjki macicy i innych schorzeń związanych z HPV | Sprawdź >
Diagnostyka zagadki echo
Echoporada
Mirosław Kowalski
Szanowni Państwo, drodzy Czytelnicy,
Zagadki echokardiograficzne zagościły na łamach Kardiologii po Dyplomie jako niezależny dział. Mam nadzieję, że dwa bogato ilustrowane podrozdziały, Echoporada i Echoszarada, zyskają Państwa zainteresowanie. Echoporada jest opisem przypadku i ma pomóc klinicyście postawić właściwe rozpoznanie i wybrać optymalny sposób postępowania. Część druga – Echoszarada – ma charakter łamigłówki i polega na wyszukiwaniu ukrytych na zdjęciach patologii. Poziom trudności zagadek echokardiograficznych bywa różny i odpowiada szerokiemu zakresowi Państwa wiedzy i doświadczenia. Zadaniem działu jest prezentacja wielu nieprawidłowości, których dostrzeżenie z pewnością ułatwi Państwu rozwiązywanie trudnych problemów diagnostyki kardiologicznej. Zapraszam do współredagowania Echoszarady. Jeśli dysponują Państwo ciekawymi badaniami, które obrazują mnogość patologii i charakteryzują się wyrazistą szatą graficzną, proszę o ich przesłanie na adres: miroslaw.kowalski@ikard.pl. Tymczasem życzę, żeby poniższe zagadki motywowały do myślenia i niosły interesującą dla Państwa treść.
Mirosław Kowalski
Dane kliniczne:
Chłopiec, lat 16, z niedoborem masy ciała (waga 55 kg, wzrost 176 cm), deformacją klatki piersiowej, palący tytoń, został przyjęty do kliniki po dwóch incydentach omdleń podczas pobierania krwi. Pacjent wcześniej był pod opieką ośrodka kardiologii dziecięcej z powodu zmian morfologicznych zastawki trójdzielnej typowych dla anomalii Ebsteina. Wobec niewielkiego nasilenia patologii kardiolodzy dziecięcy nie proponowali rodzicom leczenia operacyjnego i zalecili okresową kontrolę. W badaniu przedmiotowym stwierdzono prawidłowe zabarwienie powłok i uwypuklenie lewej połowy klatki piersiowej. Podczas osłuchiwania zwracała uwagę wielotonowość, częstość serca była miarowa i wynosiła ok. 60 uderzeń na minutę, słyszalny był szmer skurczowy o głośności 3/6 w dolnej części mostka. Wykluczono hepatosplenomegalię. W EKG rejestrowano rytm zatokowy miarowy. W teście wysiłkowym chłopiec osiągnął 75% limitu tętna (obciążenie 150 W=8,6 MET). Po zakończeniu wysiłku saturacja wynosiła 98%, pojawiła się ekstrasystolia nadkomorowa o łagodnym nasileniu. W żadnym z badań nie obserwowano istotnej bradyarytmii. W zdjęciu przeglądowym klatki piersiowej serce było powiększone, a rysunek naczyniowy skąpy.
Pytanie:
Jaką decyzję powinien podjąć kardiolog opiekujący się chorym? Czy echokardiograficzne badanie przezklatkowe powinno być uzupełnione badaniem przezprzełykowym lub cewnikowaniem serca?
Odpowiedź:
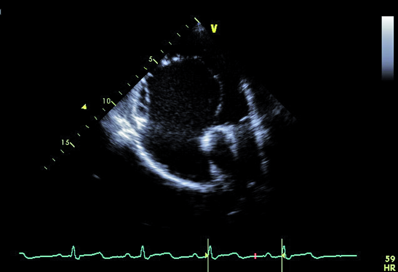
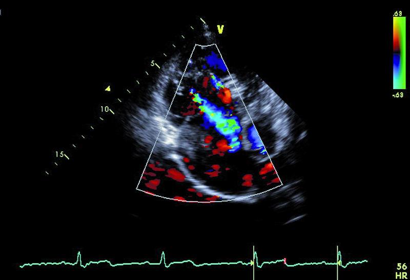
Cechy anomalii Ebsteina łatwo zidentyfikować. Należy zwrócić uwagę na odległość między przyczepem płatka przegrodowego zastawki trójdzielnej a przyczepem przedniego płatka zastawki mitralnej (ryc. 1). Fizjologiczne przesunięcie płatków jest niewielkie i zwykle nie przekracza 5-10 mm. Za kryterium rozpoznania anomalii uważa się wartość 20 mm (w przedstawionym przypadku 50 mm). Przemieszczone płatki są zwykle zmienione organicznie, pogrubiałe, często pociągane przez struny ścięgniste. Płatek przedni jest prawidłowo przyczepiony do pierścienia zastawki trójdzielnej, natomiast jest zwykle powiększony i kształtem może przypominać żagiel (ryc. 1-3). Cechą płatka przedniego w anomalii Ebsteina jest także jego nadmierna ruchomość i liczne perforacje powodujące zwykle więcej niż jedną falę zwrotną (ryc. 4). Zatrializowana część prawej komory znajduje się między przemieszczonymi przyczepami płatków przegrodowego i tylnego, a właściwa jama ma zmniejszoną pojemność. To, czy wada daje objawy, zależy od nasilenia niedomykalności trójdzielnej i od współistniejących anomalii. Niedomykalność trójdzielna u tego pacjenta, mimo dużego przemieszczenia płatka przegrodowego, była mała (ryc. 4). Zarejestrowany metodą doplerowską profil prędkości z jednego ze strumieni niedomykalności wskazywał na niepodwyższone ciśnienie w jamie prawej komory (ryc. 5). Funkcja mięśnia prawej komory określona za pomocą pomiaru przemieszczenia bocznej części pierścienia zastawki trójdzielnej była prawidłowa (ryc. 6). Diagnostykę można na tym etapie zakończyć i uznać, że chory kwalifikuje się do dalszej obserwacji. Badanie przezprzełykowe jest potrzebne u pacjentów, u których nie można ocenić dokładnie morfologii zastawki trójdzielnej. Może też być konieczne w przypadku desaturacji krwi tętniczej i podejrzenia często towarzyszącego anomalii ubytku przegrody międzyprzedsionkowej. Warto zaznaczyć, że ubytek zwykle charakteryzuje się przeciekiem prawo-lewym, na skutek dysfunkcji jam prawego serca i wzrostu ciśnienia w jamie prawego przedsionka. W tym przypadku, wobec braku sinicy, badania przezprzełykowego nie wykonano. Cewnikowanie serca także nie jest konieczne, ponieważ chory ma małą niedomykalność trójdzielną i dobrą wydolność fizyczną, a więc nie kwalifikuje się do leczenia operacyjnego.





