IV edycja Kongresu HPV już 12-13 czerwca! Poznaj najnowsze trendy w profilaktyce, diagnostyce i leczeniu raka szyjki macicy i innych schorzeń związanych z HPV | Sprawdź >
Diagnostyka tk, mr
Euromedic Diagnostics Polska
Pacjent z bólem w klatce piersiowej – pomyślmy o tomografii komputerowej
Magdalena Zagrodzka
Wielokrotnie pisałam o wykorzystaniu tomografii komputerowej (TK) w diagnostyce pacjentów z niejednoznacznym obrazem klinicznym, u których podstawowym objawem jest ból w klatce piersiowej przy ujemnych lub granicznych wynikach innych testów diagnostycznych. Wracam do omówienia tej tematyki z dwóch powodów. Po pierwsze, pacjenci z rozpoznaniem „ból w klatce piersiowej” w skierowaniach od Państwa stanowią jedną z największych grup pacjentów kierowanych do pracowni wykonujących badania kardiologiczne metodą tomografii komputerowej. Drugim powodem jest zakończenie kolejnego etapu wieloośrodkowego badania ROMICAT II (Rule Out Myocardial Ischemia/Infarction Using Computer Assisted Tomography), którego interesujące wyniki opublikowano w lipcowym numerze New England Journal of Medicine.
Pacjenci z bólem w klatce piersiowej stanowią znaczący odsetek osób przyjmowanych na Szpitalne Oddziały Ratunkowe, izby przyjęć, do przychodni internistycznych, kardiologicznych, przez lekarzy pierwszego kontaktu, reumatologów, diabetologów i hipertensjologów. Jest to tzw. pacjent interdyscyplinarny. W dobie tomografii wielorzędowej dysponującej bramkowaniem EKG różnicowanie podstawowych, groźnych dla życia przyczyn bólu w klatce piersiowej nie stanowi technicznego problemu. W Polsce jest duża dostępność do pracowni wyposażonych w co najmniej 64-rzędowe tomografy komputerowe. Obecnie problemem jest jedynie doświadczenie zespołu w wykonywaniu diagnostycznych badań i w ich właściwej interpretacji.
Podstawowymi wskazaniami do wykonania tzw. badania potrójnego wykluczenia (tripple rule out, TRO) jest różnicowanie zatorowości płucnej, choroby wieńcowej, dysfunkcji pomostów wieńcowych i chorób aorty piersiowej. Badanie wymaga podania większej objętości środka cieniującego oraz naraża pacjenta na większą dawkę promieniowania. Dzięki takiemu badaniu często unikamy jednak mnożenia procedur (również narażających pacjenta zarówno na promieniowanie, jak i na środki cieniujące), natomiast zyskujemy niezmiernie ważny CZAS. Po wykonaniu 7-10-sekundowego badania lekarz otrzymuje informacje potwierdzające lub wykluczające stan zagrożenia życia.
Rola TK u pacjentów z bólem w klatce piersiowej w świetle badań klinicznych
W badaniu ROMICAT II wykonano ponad 1000 badań TK klatki piersiowej bramkowanych zapisem EKG u pacjentów z bólem w klatce piersiowej w celu potwierdzenia lub wykluczenia choroby wieńcowej. Pacjenci, u których rozpoczynano diagnostykę metodą TK, opuszczali szpital o ok. 8 godzin wcześniej niż pacjenci diagnozowani klasyczną ścieżką. Połowa chorych z tej grupy (w porównaniu z 12% przy standardowym trybie postępowania) była ponadto wypisywana do domu bezpośrednio z SOR-u, bez konieczności hospitalizacji. W badanej grupie nie stwierdzono przypadków OZW w obserwacji 4-tygodniowej od diagnostyki wykonanej metodą TK.
W pierwszym etapie badania ROMICAT potwierdzono dużą wartość predykcyjną ujemną tomografii komputerowej w wykluczaniu ostrych zespołów wieńcowych u pacjentów z bólem w klatce piersiowej, która została potwierdzona w 2-letnim okresie obserwacji. To i inne badania sugerują, że TK może być traktowana jako wczesny test wystąpienia choroby wieńcowej w grupie pacjentów małego ryzyka i przekonują, że badanie metodą TK może szybciej wykluczyć chorobę wieńcową niż SPECT.
Wprowadzenie badania metodą TK do ścieżki diagnostycznej bezsprzecznie może jednak podnieść liczbę procedur i koszty związane z wykonywaniem dodatkowego badania. Pojawił się zatem pomysł dokładnego wyliczenia zarówno kosztów, jak i dawek promieniowania ścieżki uwzględniającej TK i obecnie stosowanej w badaniu ROMICAT II. Wyniki dają pewien pogląd na sprawę.
Liczba wykonywanych procedur
Włączenie badania TK oczywiście zwiększyło liczbę wykonywanych procedur. W grupie pacjentów diagnozowanych metodą TK odnotowano nieistotny statystycznie wzrost liczby badań diagnostycznych i zabiegów rewaskularyzacyjnych w porównaniu z grupą diagnozowaną w sposób standardowy. Udo Hoffman skomentował ten wynik już podczas marcowego spotkania American College of Cardiology w Chicago: „Zwiększona liczba procedur związana jest z wysoką czułością TK w wykrywaniu choroby wieńcowej, dlatego u chorych wykonywano więcej badań”.
Dawka pochłoniętego promieniowania
Poruszając kwestię narażenia na promieniowanie stwierdzono, że 97% pacjentów randomizowanych do grupy kierowanej na badanie metodą TK było poddanych działaniu promieniowania jonizującego, podczas gdy w grupie pacjentów randomizowanych do grupy standardowego trybu postępowania odsetek ten wynosił 33%. Hoffman i wsp. ustalili jednocześnie, że mimo iż pacjenci w grupie, której nie poddawano badaniu TK, rzadziej byli eksponowani na promieniowanie, to ich dawki promieniowania były większe. W grupie pacjentów badanych metodą TK średnia dawka ekspozycyjna wynosiła 11,3±5,3 mSv w porównaniu z 14,1±4,8 mSv (p <0,001) dla SPECT. Jednocześnie badacze podkreślają, że obecnie za pomocą powszechnie dostępnych na rynku aparatów TK można wykonać badanie tętnic wieńcowych przy dawce ekspozycyjnej poniżej 5 mSv.
Średni czas pobytu w szpitalu
Niezaprzeczalną zaletą badania metodą TK zdaniem autorów było skrócenie czasu hospitalizacji. Zarówno czas do postawienia rozpoznania, jak i średni czas hospitalizacji uległy skróceniu. Pacjentów badanych metodą TK częściej też wypisywano do domu z SOR-u bez hospitalizacji w porównaniu z grupą diagnozowaną w trybie standardowym. Hoffman i wsp. ustalili, że w grupie diagnozowanej w trybie standardowym obserwowano więcej poważnych zdarzeń kardiologicznych niż w grupie badanej w TK, mimo że badanie nie miało wystarczającej mocy statystycznej, aby stwierdzić, że dzięki badaniu TK można ograniczyć częstość występowania poważnych zdarzeń kardiologicznych. Jednocześnie według autorów badania potwierdzenie obecności zmian morfologicznych w tętnicach wieńcowych może wpływać na decyzję o wykonaniu klasycznej angiografii inwazyjnej. Informacje te są zgodne z danymi dotyczącymi populacji pacjentów Medicare, sugerującymi, że badanie TK wykonane w trybie planowym poza SOR-em wpływało na zwiększenie liczby późniejszych badań i procedur w porównaniu z czynnościowymi próbami wysiłkowymi.
Podsumowując, autorzy stwierdzili, że u chorych z bólem zamostkowym badanie TK jest bardziej efektywne niż diagnostyka w trybie standardowym. Dodali też, że dane te powinny pomóc pacjentom i świadczeniodawcom w podejmowaniu trafniejszych decyzji dotyczących wykorzystania technologii TK jako opcji w procesie diagnostycznym u chorych z objawami sugerującymi ostry zespół wieńcowy.
Zamykając na ten moment dyskusję, czy włączać tomografię komputerową do ścieżki diagnostycznej u pacjentów z bólem w klatce piersiowej, zacytuję wypowiedź Mathiew Budoffa z Los Angeles Biomedical Research Institute, pioniera nieinwazyjnej diagnostyki serca, wypowiedzianą w Chicago podczas spotkania ACC. Dr Budoff stwierdził, że ROMICAT II był już trzecim wieloośrodkowym randomizowanym badaniem porównującym bezpieczeństwo i efektywność TK ze standardowym trybem diagnostycznym: „Zarówno ACRIN-PA przedstawiane wcześniej na konferencji, jak i CT-STAT są spójne z wynikami otrzymanymi w niniejszym badaniu. Wszystkie trzy doniesienia wykazują, że badanie TK jest szybką, bezpieczną i efektywną metodą diagnostyczną”.
Przypadek 1
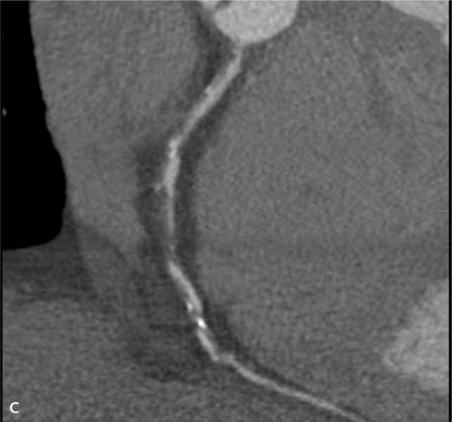
Mężczyzna, lat 68, z niecharakterystycznymi bólami w klatce piersiowej zgłosił się do specjalistycznej przychodni kardiologicznej. W wywiadzie rodzinnym podawał chorobę wieńcową w rodzinie, a osobniczym – nadciśnienie tętnicze i zwiększone stężenie cholesterolu. Wykonana próba wysiłkowa była niediagnostyczna (4,6 MET). Badanie echokardiograficzne nie wykazało istotnych nieprawidłowości. Badanie TK wykonane w trybie ambulatoryjnym uwidoczniło wielopoziomowe zmiany w prawej i lewej tętnicy wieńcowej (ryc. 1A), 50% zwężenie pnia lewej tętnicy wieńcowej z blaszką małej gęstości z remodelingiem dodatnim ściany naczynia (ryc. 1B) oraz niedrożność prawej tętnicy wieńcowej w segmencie 2/3 i wielopoziomowe zmiany w gałęzi diagonalnej i okalającej (ryc. 1C).
RYCINA 1. [A] Rekonstrukcja MIP Inversion. Niedrożność prawej tętnicy wieńcowej. [B] Rekonstrukcja MPR 2D – widoczne światło pnia lewej tętnicy wieńcowej (czerwona strzałka) oraz blaszka o niskiej gęstości powodująca bardzo dużego stopnia remodeling dodatni ściany naczynia (strzałka biała). [C] Rekonstrukcja MPR po krzywej wzdłuż osi długiej prawej tętnicy wieńcowej – wielopoziomowe zmiany niskiej gęstości z niedrożnością segmentu 2.
Przypadek 2
Mężczyzna, lat 54, zgłosił się do poradni z powodu napadowych silnych bólów w klatce piersiowej bez związku z porą dnia i wysiłkiem. Wywiad rodzinny chorego był obciążający – ojciec i brat przebyli zawał przed 40 r.ż. W badaniach dodatkowych (EKG, próbie wysiłkowej, badaniu echokardiograficznym) nie stwierdzono odchyleń od normy. W wykonanej w trybie ambulatoryjnym TK klatki piersiowej uwidoczniono tętnice wieńcowe bez zmian o charakterze miażdżycowym z drobnym mostkiem mięśniowym w segmencie 8 lewej tętnicy wieńcowej oraz przepuklinę wślizgową rozworu przełykowego przepony o średnicy 66 mm (ryc. 2 A, B).


