IV edycja Kongresu HPV już 12-13 czerwca! Poznaj najnowsze trendy w profilaktyce, diagnostyce i leczeniu raka szyjki macicy i innych schorzeń związanych z HPV | Sprawdź >
Diagnostyka zagadki echo
Echoporada
Mirosław Kowalski
Szanowni Państwo, drodzy Czytelnicy,
Pragnę Państwa powitać jako redaktor działu „Zagadki echo”. Cieszę się, że ta forma upowszechniania techniki ultradźwiękowej cieszy się Państwa zainteresowaniem i że znalazła uznanie nowego Redaktora Naczelnego pisma. Serdecznie dziękuję przy tej okazji Pani Profesor Edycie Płońskiej-Gościniak oraz Profesorowi Grzegorzowi Opolskiemu za możliwość druku zagadek w dziale „Echokardiografia od podstaw”. Pragnę zaznaczyć, że w ciągu pięciu lat mojej współpracy z Kardiologią po Dyplomie ukazało się prawie sześćdziesiąt zagadek dotyczących różnych problemów diagnostyki kardiologicznej: choroby niedokrwiennej serca, wad wrodzonych i nabytych, chorób mięśnia sercowego. Na dotychczasową zagadkę, zajmującą skromną objętość pisma, składał się opis przypadku klinicznego, cztery ryciny oraz podsumowanie, będące komentarzem i rozwiązaniem dyskutowanego problemu. Zagadki, choć krótkie, były przez Państwa czytane i dyskutowane. Nie może być lepszej nagrody dla autora niż tak wyrażane zainteresowanie.Zagadki echokardiograficzne jako niezależny dział pisma to nobilitacja dla tej formy kształcenia echokardiografistów i kardiologów, posługujących się na co dzień techniką ultradźwiękową. Postanowiłem w nowej postaci zagadek nie zmieniać ich założeń. Pragnę, aby nadal dotyczyły wybranego zagadnienia, analizowanego na podstawie dokumentacji obrazowej, a od bieżącego numeru pisma zagadka będzie ilustrowana sześcioma rycinami.Powstanie osobnego działu wymusiło też zmianę nazwy artykułu. Postanowiłem zatytułować go „Echoporada”. Będzie jej towarzyszyła „Echoszarada”, również prezentująca sześć rycin. Tekst w „Echoszaradzie” będzie jednak ograniczony. Zadaniem czytelnika będzie wyszukanie przedstawionych patologii i ich nazwanie. Oczywiście nie nazwiemy patologią implantowanej elektrody czy sztucznej zastawki, ale będzie nią np. zidentyfikowanie cech perforacji, odelektrodowego zapalenia wsierdzia czy dysfunkcji implantowanej zastawki. Do współredagowania „Echoszarady” zapraszam wszystkich Czytelników. Proszę o nadsyłanie sześciu propozycji rycin, zawierających mniej lub bardziej dostrzegalne patologie u badanego pacjenta. Korzystając z okazji, pragnę Państwu złożyć najserdeczniejsze życzenia noworoczne. Oby wszystkie łamigłówki, te na łamach pisma i w praktyce lekarskiej, miały szybkie i łatwe rozwiązania.
Mirosław Kowalski
Dane kliniczne:
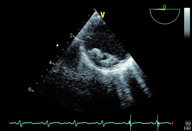
Pacjent, lat 60, z wywiadem nadciśnienia tętniczego, wieloletni palacz, został przyjęty do kliniki w celu oceny układu krążenia po przebytym rok wcześniej udarze mózgu. W przebiegu udaru obserwowano afazję ruchową, niedowład centralny nerwu VII, niedowład prawej kończyny górnej. Chory był intensywnie rehabilitowany, co przyczyniło się do stopniowego ustąpienia zaburzeń mowy oraz istotnej poprawy ruchomości prawej kończyny górnej. W tomografii komputerowej stwierdzono obszar hipodensyjny na pograniczu płata ciemieniowego i potylicznego lewej półkuli mózgu. Spektralne badanie doplerowskie tętnic szyjnych i kręgowych nie wykazało istotnych hemodynamicznie zaburzeń przepływu. Opiekujący się pacjentem neurolodzy podejrzewali, że przyczyną udaru mógł być przetrwały otwór owalny (patent foramen ovale, PFO). W wykonanych w klinice badaniach echokardiograficznych – przezklatkowym i przezprzełykowym – przegroda międzyprzedsionkowa była szczelna. Jama lewej komory była niepowiększona, a grubość mięśnia graniczna. Zwracało uwagę nieznaczne upośledzenie kurczliwości mięśnia komory (EF=50%) oraz poszerzenie aorty do 42 mm.
Pytanie:
Czy zamieszczone ryciny mogą wskazywać na przyczynę udaru mózgu? Jak należy postąpić w przedstawionej sytuacji?
Odpowiedź:
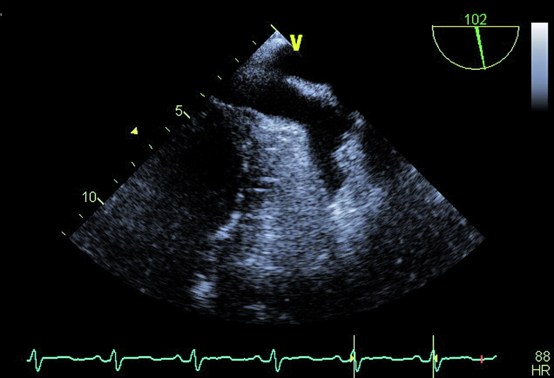
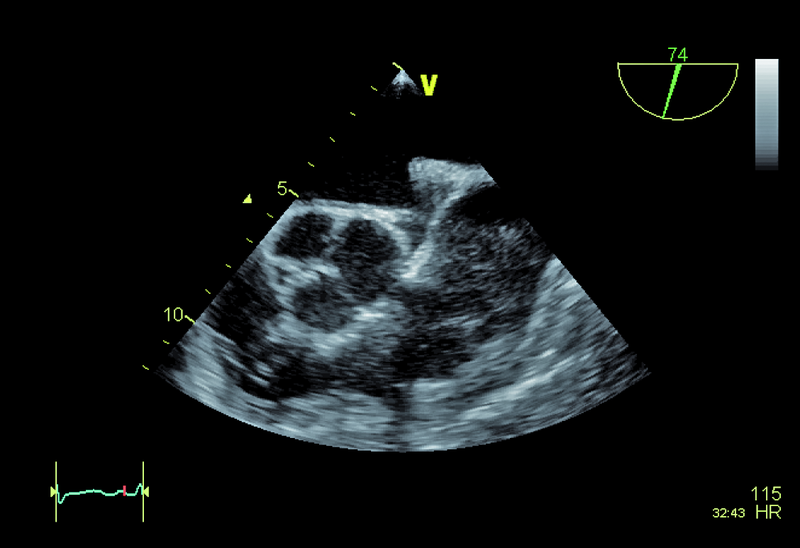
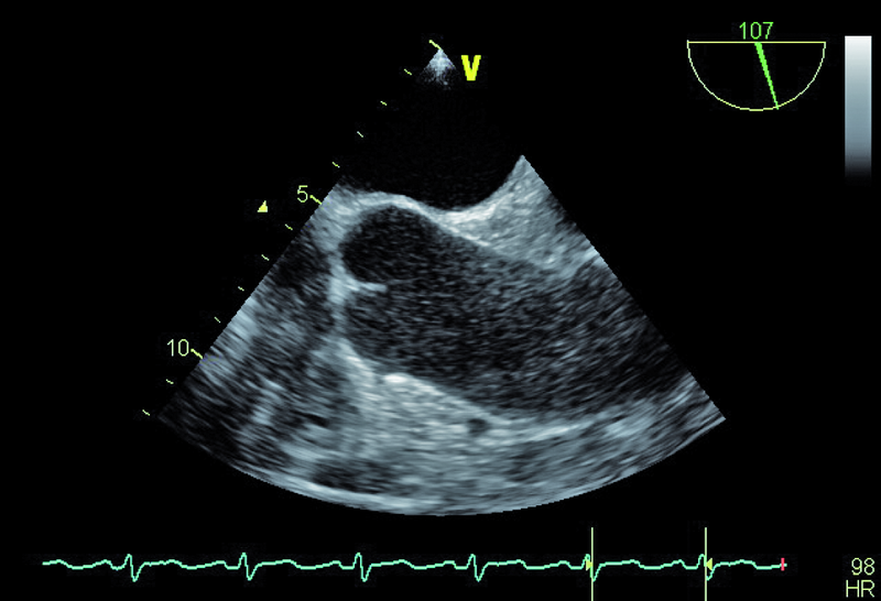
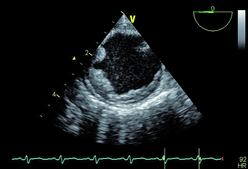
Wiek pacjenta, palenie tytoniu oraz chwiejne nadciśnienie tętnicze nakazują wykluczyć a priori tzw. kryptogenny udar mózgu. Przegroda międzyprzedsionkowa u chorego była szczelna, choć w badaniu przezprzełykowym (TOE) opisano śladowy kanał przetrwałego otworu owalnego (PFO), bez przechodzenia kontrastu ze strony prawej na lewą. Badanie przezprzełykowe pozwoliło także wykluczyć skrzeplinę w jamach serca (ryc. 1 – uszko lewego przedsionka) oraz istotne zmiany organiczne zastawki aortalnej (ryc. 2, 3). Prawdopodobną przyczyną udaru były nasilone zmiany miażdżycowe w łuku aorty z towarzyszącymi owrzodzeniami ściany naczynia (ryc. 4, 5). Warto zaznaczyć, że zmiany będące zgrubieniem błony wewnętrznej bywają dynamiczne i nie można wykluczyć powstawania ruchomych składowych (skrzeplin) na dużych elementach owrzodzenia. W diagnostyce miażdżycowego uszkodzenia aorty metodą z wyboru jest badanie przezprzełykowe, pozwalające zidentyfikować dzięki wysokiej rozdzielczości obrazu drobne, nawet kilkumilimetrowe owrzodzenia. Warto zaznaczyć, że badanie przezklatkowe nie dostarcza tak wyraźnego i jednoznacznego obrazu (ryc. 6). Korzyść z badania echokardiograficznego jest bez wątpienia większa niż z badania TK czy MR, ze względu na możliwość oceny ruchomości blaszek w czasie rzeczywistym. W rutynowej ocenie zwraca się uwagę na grubość blaszki miażdżycowej, obecność owrzodzeń, zwapnień oraz nałożonych ruchomych ech odpowiadających skrzeplinom – stanowiących tzw. potencjał zatorowy blaszki. Uważa się, że średnica blaszki przekraczająca 4 mm ma większy potencjał zatorowy niż owrzodzenie płytkie (w przedstawionym przypadku średnica blaszki wynosiła 7 mm). Dowiedziono ponadto, że w przypadku blaszek nieuwapnionych – jak w opisanej sytuacji – ryzyko zatoru jest większe niż w przypadku blaszek uwapnionych. Leczenie antykoagulacyjne w takim wypadku jest uzasadnione. Konieczne jest także włączenie dużej dawki statyn mimo braku zmian miażdżycowych w tętnicach wieńcowych (wykonano koronarografię). Ocena układu krążenia u pacjenta po przebytym incydencie zatorowym do OUN powinna być kompleksowa i powinna uwzględniać wszystkie możliwe nieprawidłowości.





