IV edycja Kongresu HPV już 12-13 czerwca! Poznaj najnowsze trendy w profilaktyce, diagnostyce i leczeniu raka szyjki macicy i innych schorzeń związanych z HPV | Sprawdź >
Diagnostyka tk, mr
Czy rok 2011 zmienił oblicze nieinwazyjnej diagnostyki obrazowej serca?
Magdalena Zagrodzka
Gdy ma się rację o dobę wcześniej od innych ludzi, przez dobę uchodzi się za wariata
Antoine Rivarol
Pytanie tytułowe można uznać za przysłowiową strzelbę, która wisi na ścianie od pierwszych sekund pierwszego aktu sztuki. Jest bardziej niż pewne, że pod koniec ostatniego aktu strzelba wystrzeli. Czy rok 2011 zmienił oblicze nieinwazyjnej diagnostyki serca? Zepsuję Państwu napięcie, które w sztuce powinno być utrzymywane do końca i zacznę od puenty. Owszem, tak, zmienił.
Czy pojawiły się nowe, rewolucyjne technologie?
Tak, ale nie są one na tyle rewolucyjne, aby mogły wpłynąć na bieg historii kardiologii. Do technologii tych zaliczyć należy:
1. Coraz powszechniejsze wprowadzanie protokołów perfuzji mięśnia sercowego w badaniach metodą tomografii komputerowej. Co to wniosło? Otrzymano tzw. metodę one-stop-shop. Podczas jednego badania serca w TK możemy ocenić zarówno tętnice wieńcowe, jak i wpływ stwierdzanych w ścianie naczyń zmian miażdżycowych na ukrwienie mięśnia sercowego. Wstępne wyniki są bardzo ciekawe, ponieważ wskazują, że już 20-30% zmiany mogą istotnie wpływać na wynik hemodynamiczny odnotowywany w obrazach perfuzji mięśnia sercowego w TK. Końcowych wyników pierwszych prac można się spodziewać na przyszłorocznych kongresach AHA i RSNA, które odbywają się pod koniec każdego roku w Stanach Zjednoczonych. Dlaczego protokoły perfuzji nie są wprowadzane do praktyki klinicznej bardziej intensywnie? Mówiąc o perfuzji, myślimy o klasycznym protokole perfuzji, który opiera się na dokładnej analizie napływu tętniczego i odpływu żylnego, i który standardowo jest wykonywany w ocenie ukrwienia narządów nieporuszających się (np. mózgu, wątroby). Perfuzja mięśnia sercowego ze względu na stały ruch nadal opiera się jedynie na pomiarze różnicy gęstości mierzonej w jednostkach Hounsfielda, a nie, jak powinno być, w MTT (mean transit time – czas średniego przejścia), OBF (organ blood flow – narządowy przepływ krwi), OBV (organ blood volume – narządowa objętość łożyska) czy TTP (time to peak – czas maksymalnego napływu). Ze względu na ciągły ruch serca bardzo trudno uzyskać wiarygodne wyniki powyższych parametrów, które są standardem obrazowania perfuzyjnego. Pomiary gęstości pozwalają jednak ocenić napływ krwi do mięśnia sercowego na tyle powtarzalnie i wiarygodnie, że można na nich polegać.
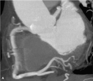
RYCINA 1. Badanie wykonane protokołem SnapShot Freeze GE Healthcare, zmniejszającym artefakty ruchowe wynikające z ruchu tętnic wieńcowych.
RYCINA 2. Obrazowanie widmowe z zastosowaniem różnych energii u pacjenta po wszczepieniu metalowych elementów stabilizujących kręgosłup lędźwiowy.
2. Ocena FFR (fractional flow reserve) metodą tomografii komputerowej. Pojawiły się prace, w których TK jest uznawana za metodę o wysokiej czułości, pozwalającą wykluczyć zwężenia hemodynamicznie istotne.
3. Szersze stosowanie protokołów iteracyjnych oraz prospektywnego bramkowania EKG zmniejszyło łączną dawkę promieniowania w badaniach metodą TK do poniżej 5 mSv, co pod względem dawki i objętości podanego środka cieniującego (60-100 ml) stawia angiografię TK nad diagnostyczną klasyczną inwazyjną koronarografią.
4. Wprowadzenie śledzenia ruchu tętnic wieńcowych podczas badania, aby uniknąć artefaktów ruchowych (ryc. 1).
5. Coraz szersze stosowanie obrazowania widmowego w TK (spectral imaging) umożliwiające oddzielenie obrazów z separacją odpowiednich materiałów, z których się składają. Najczęściej dotyczy to: wody, środków cieniujących jodowych i wapnia. Może to mieć duże znaczenie w kardiologii. Obrazowanie widmowe pozwala wyeliminować artefakty od metalu (stenty, imlanty, zwapnienia, ryc. 2), zmniejszyć objętość podanego środka cieniującego (pacjenci z nefropatią) oraz umożliwia z większą dokładnością diagnozować ubytki środka cieniującego z łożyska naczyniowego (zatorowość).
Do największych zmian w 2011 roku doszło jednak nie w obszarze technologicznym, lecz klinicznym. W tym roku na kongresach AHA i RSNA pojawiły się wyniki pierwszych prac populacyjnych, oceniających rolę koronarografii metodą TK w diagnostyce pacjentów ze wszystkich grup ryzyka choroby wieńcowej.
Jednym z głównych problemów do rozwiązania obecnie jest odpowiedź na pytanie: jak postępować z pacjentem, u którego uwidoczniono w TK blaszkę miażdżycową o małej gęstości, powodującą dodatni remodeling ściany naczynia, ale zwężającą światło do 20-30%?
Jak zmienia to kwalifikację do grup ryzyka? Jakie postępowanie należy wdrożyć u poszczególnych osób? TK pozwala uwidocznić blaszki będące przyczyną ok. 70% zawałów serca, których obecności wcześniej żadną inną nieinwazyjną metodą nie można było potwierdzić. Przez wiele lat badania serca metodą TK uznawane były za badania pomocnicze u osób z grupy małego i umiarkowanego ryzyka, wykonywano je przede wszystkim, by uwidocznić zwężenie światła naczynia.
Obecnie badania serca metodą TK zaczynają mieć podstawowe znaczenie nie tylko w potwierdzaniu lub wykluczaniu choroby wieńcowej, ale przede wszystkim – dzięki wczesnemu wykryciu blaszek o małej gęstości niewidocznych w koronarografii – w zmniejszaniu ryzyka wystąpienia OZW u pacjentów ze wszystkich grup ryzyka. Dzięki temu TK bezpośrednio wpływa na jego określenie.
Rola TK serca w świetle badań klinicznych
Poniżej przedstawiam prace (nie sposób w krótkim artykule omówić wszystkie) potwierdzające zmiany w klinicznym wykorzystaniu TK w kardiologii, z którymi warto się zapoznać:
1. Potential Benefit of Statin Therapy in Patients with Non-Obstructive Coronary Artery Disease (AHA 2011). Grupa badana: 27 125 pacjentów. Badanie potwierdziło, że obecność w ścianie tętnicy wieńcowej w badaniu TK blaszki miażdżycowej o małej gęstości (<50%) zwiększa ryzyko zgonu, a stosowanie statyn (obok kwasu acetylosalicylowego) włączonych na podstawie wyniku badania TK wiąże się z większą przeżywalnością.



