Kongres Akademii po Dyplomie Pediatria 2026 👉 200 zł taniej do 27.02. Spotkajmy się 17-18 kwietnia w Warszawie | Skorzystaj z oferty >
Diagnostyka zagadki echo
Echoporada
Mirosław Kowalski
Szanowni Państwo, drodzy Czytelnicy,
Byłoby dobrze, gdyby pacjent diagnozowany i leczony w danym ośrodku kardiologii czy kardiochirurgii powracał do niego, jeśli zaistnieje taka potrzeba. Rzeczywistość jednak wygląda inaczej. Zdarza się, że chorzy podróżują po Polsce, szukając pomocy u innych specjalistów, często nie dostarczając pełnej dokumentacji prowadzonego wcześniej leczenia. Utrudnia to ocenę, co dotyczy zwłaszcza pacjentów już operowanych. Bieżąca Echoporada jest przykładem takiej sytuacji. Młody mężczyzna przebył w przeszłości dwa zabiegi kardiochirurgiczne, ale nie najlepszy stan jego zdrowia wskazuje na potrzebę wykonania kolejnej. Reoperacja po zabiegu wykonywanym przez innego lekarza lub inny zespół nie budzi entuzjazmu kardiochirurgów. Należy ich rozumieć. Każdy szczegół oceny – dawnej przedoperacyjnej i aktualnej – może mieć znaczenie. Starajmy się pomagać kardiochirurgom. Dostarczajmy jak najpełniejszych danych, nawet tych, które nie zawsze są bezpośrednio związane z przedmiotem interwencji. Życzę interesującej lektury.
Mirosław Kowalski
Mężczyzna, lat 35, przebył w przeszłości nagłe zatrzymanie krążenia. Był skutecznie reanimowany w domu, a następnie diagnozowany w klinice kardiologii w miejscu zamieszkania. Rozpoznano śluzak prawej komory, który usunięto chirurgicznie w trybie pilnym. Kilka lat później opiekujący się chorym lekarze stwierdzili istotną niedomykalność trójdzielną i zdecydowali się poddać chorego operacji wszczepienia zastawki biologicznej Carpentier-Edwards. W ostatnich latach pojawiło się u chorego napadowe migotanie przedsionków. Jeden z napadów został przerwany kardiowersją elektryczną. Od około roku zaburzenia rytmu mają charakter przetrwały i towarzyszy im znaczne pogorszenie tolerancji wysiłku oraz zasłabnięcia. W celu poprawy wydolności fizycznej planowano wykonać kolejną kardiowersję, ale odstąpiono od zabiegu ze względu na stwierdzaną w badaniu echokardiograficznym echogenną krew w jamie prawego przedsionka. W badaniu fizykalnym przy przyjęciu zwracał uwagę turkot rozkurczowy przy brzegu mostka, nieznacznie powiększona wątroba i obrzęki obwodowe. Pacjent przyjmował bisoprolol, lek przeciwzakrzepowy i diuretyk. Mimo dodatniego wywiadu rodzinnego w kierunku nowotworów (oboje rodzice zmarli z powodu raka płuc) chory palił tytoń. Zdjęcie przeglądowe klatki piersiowej wykazało powiększoną sylwetkę serca i niewielki zastój w krążeniu płucnym. W badaniu echokardiograficznym uwidoczniono powiększoną jamę prawej komory i prawego przedsionka (pole powierzchni 46 cm2).
Pytanie:
Jakie jest źródło objawów hemodynamicznych u chorego? Jakie postępowanie należałoby wdrożyć, żeby poprawić jego stan?
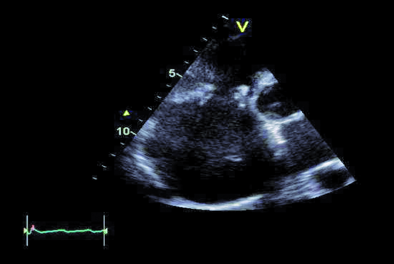
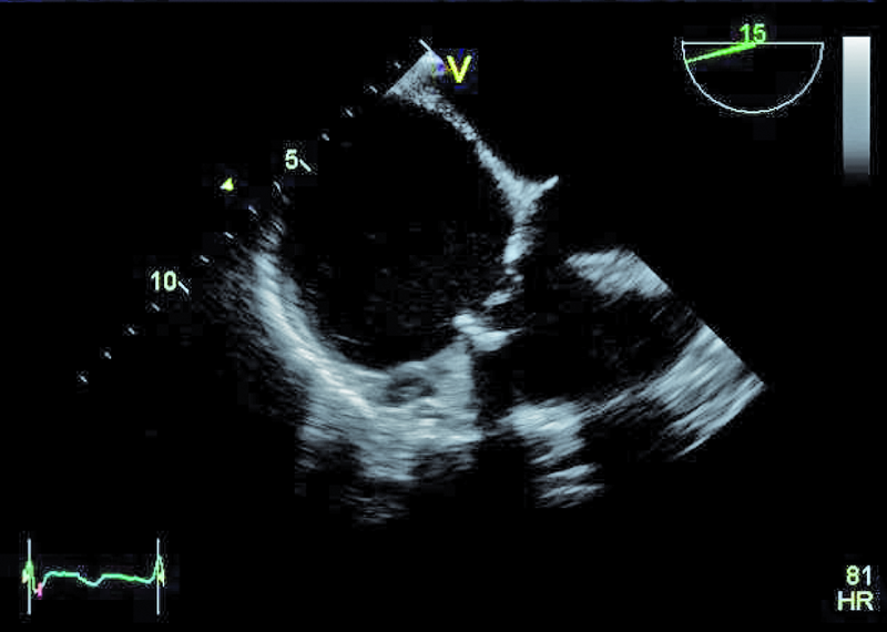
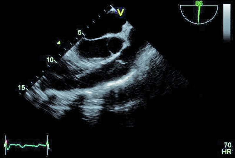
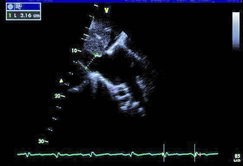
Odpowiedź:
Szczegóły oceny układu krążenia z okresu przeprowadzanych operacji nie były znane. Można było jedynie przypuszczać, że śluzak prawej komory mógł zaburzać funkcję zastawki trójdzielnej, a jego resekcja pozostawiła stopniowo narastającą nieszczelność zastawki. Wymiana zastawki na biologiczną była konieczna, ale spowodowała dalsze problemy u chorego. Degeneracja zastawek biologicznych u osoby młodej może postępować dynamicznie, nawet bez obecności dodatkowych czynników nasilających to zjawisko, jak niewydolność nerek czy nadczynność przytarczyc. Kolejnym czynnikiem, poza wiekiem, wpływającym na odpowiedź immunologiczną, może być samo ujście trójdzielne, w którym procesy wapniowo-fosforanowe w odpowiedzi na rozciąganie płatków są silne. Warto także nadmienić, że zastawki biologiczne stentowe, jak użyta w tym wypadku, charakteryzują się szybszym tempem zwyrodnienia niż zastawki bezstentowe. Rozpoznanie strukturalnego zwyrodnienia bioprotezy w ujściu trójdzielnym nie powinno nastręczać trudności. Wczesnymi objawami procesu jest pogrubienie i usztywnienie płatków, które stają się w obrazie ultradźwiękowym jaśniejsze i nieregularne w zarysie (ryc. 1, 2). Ponieważ proces postępuje, włóknienie i zwapnienia obejmują najpierw spoidła, a następnie całe płatki i pierścień zastawki. W przedstawionym przypadku zwyrodnienie prowadzi zarówno do stenozy, jak i niedomykalności. O stenozie zastawki w ujściu trójdzielnym zawsze należy myśleć, gdy gradient średni napływu przekracza 6 mm Hg (ryc. 3). Niedomykalność trójdzielna uważana jest za istotną, kiedy talia strumienia ma szerokość co najmniej 6 mm (ryc. 4). Warto dodać, że rejestrowane zmiany hemodynamicznie są podobne do tych, jakie obserwuje się w natywnej zastawce trójdzielnej np. w rzadkim uszkodzeniu poreumatycznym. Chory ma wskazania do kolejnej interwencji kardiochirurgicznej i operacja w tym wypadku nie powinna być odkładana, żeby nie doprowadzić do narastającej niewydolności jam prawego serca. By uzupełnić ocenę, zarejestrowano projekcję na drogę odpływu prawej komory (ryc. 5). Wykluczono cechy nadciśnienia płucnego i niedomykalność zastawki płucnej. Zwrócono uwagę na istotnie poszerzone jamę prawego przedsionka i żyłę główną dolną (ryc. 6), odpowiadające nieprawidłowościom w badaniu fizykalnym – hepatomegalii i obrzękom obwodowym. Poza operacją można rozważyć wykonanie zabiegu techniką przezcewnikową i wszczepienie zastawki Edwards SAPIEN lub Melody (valve-in-valve). W tym wypadku na decyzji o leczeniu operacyjnym zaważyły jednak preferencja chorego i doświadczenie ośrodka.





