IV edycja Kongresu HPV już 12-13 czerwca! Poznaj najnowsze trendy w profilaktyce, diagnostyce i leczeniu raka szyjki macicy i innych schorzeń związanych z HPV | Sprawdź >
Strukturalne choroby serca i kardiomiopatie
Niedopasowanie zastawki – ważny problem kliniczny
Maria Olszowska
Wprowadzenie
Sztuczne zastawki serca stosowane są od lat 60. ubiegłego wieku w leczeniu operacyjnym u chorych z wadami zastawkowymi serca. Mimo że operacje te poprawiają stan kliniczny i jakość życia, to jednak nie likwidują wszystkich problemów u chorych. Pacjenci po tych operacjach wymagają dalszej troskliwej opieki kardiologicznej ze względu na możliwość wystąpienia powikłań krwotocznych i zakrzepowo-zatorowych związanych z leczeniem przeciwkrzepliwym, duże ryzyko wystąpienia infekcyjnego zapalenia wsierdzia, a także możliwość rozwoju dysfunkcji wszczepionej zastawki. Szczególnym problemem u tych chorych jest niedopasowanie protezy zastawkowej. Pojęcie niedopasowania protezy zastawkowej (prosthesis-patient mismatch) wprowadził w 1978 r. Rahimtoola [1]. Polega na wszczepieniu zastawki, której efektywna powierzchnia jest mniejsza niż powierzchnia prawidłowej zastawki ludzkiej, dlatego wszczepiona, strukturalnie prawidłowa proteza zastawkowa funkcjonuje jak zastawka stenotyczna. Zmniejszenie efektywnej powierzchni wszczepionej zastawki jest zwykle małe lub umiarkowane, dlatego objawy zwężenia nie pojawiają się natychmiast po wszczepieniu. U tych chorych nie obserwuje się spodziewanej poprawy po operacji, a w miarę upływu czasu może dochodzić nawet do pogorszenia stanu klinicznego [2-5].
Etiologia i patogeneza
Przyczyn niedopasowania zastawki może być kilka. Jedną z nich jest fakt, że efektywna powierzchnia wszczepianych zastawek serca in vitro jest z reguły mniejsza niż powierzchnia zdrowych zastawek ludzkich, a dodatkowo po wszczepieniu może ulec jeszcze zmniejszeniu z powodu endotelializacji. Ponadto wszczepienie zastawki jest zdeterminowane średnicą pierścienia zastawki pacjenta oraz wielkością jamy serca, w której wszczepiona zastawka będzie funkcjonować [1].
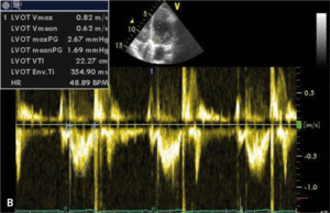
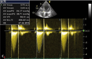
Rycina. Pomiar efektywnego pola ujścia protezy zastawkowej u chorej z wszczepioną sztuczną zastawką aortalną St Jude Medical 21A.
Wieloletnie obserwacje udowodniły, że niedopasowanie zastawki jest częstsze u osób otyłych, dlatego wprowadzono nową definicję tego zjawiska. Według niej niedopasowanie protezy zastawkowej charakteryzuje się nieadekwatnym efektywnym polem powierzchni wszczepionej zastawki w stosunku do pola powierzchni pacjenta [6].
Problem niedopasowania protezy dotyczy częściej ujść o małym polu powierzchni, głównie zastawki aortalnej, zdecydowanie rzadziej zastawki mitralnej. U chorych ze stenozą aortalną często dochodzi do zwapnień i zwłóknień pierścienia aortalnego, a także znacznego przerostu mięśnia lewej komory. Ten patologiczny proces może dodatkowo zmniejszać średnicę pierścienia i przyczyniać się do niedopasowania protezy u tych chorych.
Dobrze dopasowana proteza zastawkowa nie stanowi oporu dla przepływającej przez nią krwi, gradient przez zastawkę jest mały, co zapewnia właściwą objętość wyrzutową i pojemność minutową u pacjentów.
Wszczepienie zbyt małej zastawki skutkuje zmniejszeniem objętości wyrzutowej, rzutu serca, a w odległej obserwacji brakiem regresji mięśnia lewej komory, występowaniem dolegliwości klinicznych o typie męczliwości i duszności wysiłkowej oraz rozwojem niewydolności serca i gorszym rokowaniem.
Diagnostyka zjawiska niedopasowania protezy zastawkowej
Ocenę funkcji wszczepionej zastawki umożliwia echokardiografia (ryc. 1). Ocena protezy zastawkowej wszczepionej w pozycję aortalną powinna uwzględniać analizę maksymalnej prędkości przepływu przez zastawkę (VmaxAo), średniego przezzastawkowego gradientu ciśnień (PmeanAo), całki prędkości przepływu w czasie przez zastawkę aortalną (VTIAo) i w drodze odpływu lewej komory (VTILVOT), indeksu prędkości przepływu proksymalnie do zastawki i prędkości na poziomie zastawki (DVIAo), efektywnego pola ujścia protezy zastawkowej (EOAAo), a także czasu akceleracji przepływu przez protezę zastawkową (ATAo) (tab. 1).
Liczne obserwacje i badania pozwoliły na opracowanie metody stosowanej do oceny wielkości wszczepianej zastawki w celu przeciwdziałania zjawisku niedopasowania [8-10]. Do ilościowej oceny stopnia niedopasowania zastawki aortalnej możemy posłużyć się tzw. indeksem efektywnego pola ujścia protezy zastawkowej aortalnej (EOAIAo), obliczanym z przekształconego wzoru ciągłości przepływu przez zastawkę aortalną:
W którym EOAAo oznacza efektywne pole ujścia protezy zastawkowej aortalnej, LVOTd – wymiar drogi odpływu lewej komory, VTILVOT – całkę prędkości przepływu w czasie w drodze odpływu lewej komory, a VTIAo – całkę prędkości przepływu w czasie przez zastawkę aortalną.
Zatem:
Przy czym EOAIAo oznacza indeks efektywnego pola ujścia protezy zastawkowej aortalnej, EOAAo – efektywne pole ujścia protezy zastawkowej aortalnej, a BSA – powierzchnię pacjenta.






