IV edycja Kongresu HPV już 12-13 czerwca! Poznaj najnowsze trendy w profilaktyce, diagnostyce i leczeniu raka szyjki macicy i innych schorzeń związanych z HPV | Sprawdź >
Sympozjum: immunologia kliniczna
Czy pacjent cierpi na niedobór odporności?
Aarnoud P. Huissoon1, Mamidipudi Thirumala Krishna2
Prawdopodobnie większość lekarzy w ostatnim roku miała do czynienia z pacjentem z niedoborem odporności. Celem niniejszego opracowania jest dostarczenie wskazówek pomocnych w ustaleniu, czy pacjent wymaga diagnostyki w kierunku niedoboru odporności, jakie badania należy wykonać i jakie powinno być dalsze postępowanie w zależności od ich wyników. Dokładną charakterystykę konkretnych jednostek chorobowych związanych z niedoborem odporności można znaleźć w piśmiennictwie.1-3 Niedobory odporności u dzieci wymagają odrębnego podejścia i dlatego tematyka ta nie została uwzględniona w artykule.
Epidemiologia i błędne rozpoznania
Zakażenie ludzkim wirusem niedoboru odporności (HIV – human immunodeficiency virus) wg danych epidemiologicznych jest najczęstszą przyczyną wtórnego niedoboru odporności. Szacuje się, że w Wielkiej Brytanii zakażonych HIV jest 0,2% mężczyzn i 0,1% kobiet, z czego u ok. 1/4 osób zakażenie nie jest rozpoznane.4 Neutropenia oraz inne wtórne i jatrogenne niedobory odporności są powszechne, ale częstość ich występowania jest trudna do oszacowania. Pospolity zmienny niedobór odporności (CVID – common variable immunodeficiency), najczęstszy pierwotny niedobór przeciwciał, występuje w Wielkiej Brytanii u co najmniej jednej na 50 tys. osób, ale najprawdopodobniej wiele przypadków pozostaje niewykrytych. Według danych międzynarodowych częstość występowania CVID wynosi 1/10 000. Izolowany niedobór IgA jest częsty (1/500-700), ale u większości pacjentów przebiega bezobjawowo i nie stwierdza się u nich zakażeń. Choroby związane z niedoborem składowych dopełniacza oraz pierwotnym zaburzeniem funkcji limfocytów T i neutrofilów są stosunkowo rzadkie.
Niedobory odporności rozpoznawane są ze znacznym opóźnieniem. Przykładowo 52% dorosłych zakażonych HIV diagnozowanych jest późno, a 30% bardzo późno. W przypadku pierwotnych niedoborów przeciwciał często upływa nawet 7 lat pomiędzy pierwszymi objawami a właściwym rozpoznaniem. Mimo że pacjenci ci są często konsultowani przez wielu lekarzy, w diagnostyce nie uwzględnia się możliwości występowania niedoboru odporności. Opóźnienie w ustaleniu właściwego rozpoznania i wdrożeniu leczenia wiąże się z niekorzystnym rokowaniem.
Kluczowe zagadnienia
• U pacjentów z niedoborem odporności często stwierdza się zakażenia, przy czym nie muszą one mieć nietypowego lub ciężkiego przebiegu.
• Niedobór odporności ujawniający się w wieku dorosłym może mieć charakter wtórny (np. może rozwinąć się w przebiegu zakażenia HIV, chłoniaka lub w wyniku działania leków) albo pierwotny (najczęściej niedobór przeciwciał).
• Podstawowe badania w kierunku niedoborów odporności to morfologia krwi obwodowej, oznaczenie stężenia immunoglobulin i składowych dopełniacza.
• Dorośli mogą mieć ciężki niedobór odporności, mimo że wstępne badania nie wykazały nieprawidłowości: w przypadku dużego prawdopodobieństwa występowania takiego niedoboru wskazane jest skierowanie pacjenta do immunologa klinicznego.
• Choroby niezwiązane z zakażeniami, takie jak: splenomegalia, ziarniniaki i choroby autoimmunologiczne (np. samoistna plamica małopłytkowa), zwiększają prawdopodobieństwo występowania niedoboru odporności.
Kiedy należy podejrzewać niedobór odporności?
Niedobór odporności należy podejrzewać zawsze u pacjentów z ciężkimi, uporczywymi, nietypowymi lub nawracającymi zakażeniami. Badanie w kierunku zakażenia HIV powinno być wykonane w przypadku takich schorzeń, jak gruźlica, atypowe zapalenie płuc, chłoniak, zakażenie wirusem zapalenia wątroby typu B lub C, a także chorób wskaźnikowych dla AIDS (mięsak Kaposiego, pneumocytoza, kryptokokoza lub toksoplazmoza, kandydoza przełyku). Jeżeli wyniki badań w kierunku HIV w takich przypadkach są ujemne, wówczas uzasadniona jest szersza diagnostyka w kierunku niedoboru odporności. Zakażenia oraz inne stany patologiczne wymagające szczególnej uwagi przedstawiono w tabeli 1.
|
Tabela 1. Wskazania do wykonania podstawowych badań w kierunku niedoboru odporności5 |
|
|
Schorzenia |
Sytuacje kliniczne |
|
Układu oddechowego |
Rozstrzenie oskrzeli, nawracające zakażenia górnych i dolnych dróg oddechowych, potrzeba wykonania testu potowego, choroba ziarniniakowa, sarkoidoza, gruźlica, obustronne nacieki w płucach, atypowe zapalenie płuc, pneumocystoza, brak odpowiedzi na szczepionkę przeciwpneumokokową |
|
Otorynolaryngologiczne |
Nawracające zapalenie ucha środkowego, wysiękowe zapalenie ucha środkowego, potrzeba założenia drenu wentylacyjnego przez błonę bębenkową, nawracająca lub przewlekająca się kandydoza, ziarniniakowe zapalenie ślinianek przyusznych |
|
Układu pokarmowego |
Biegunka, utrata masy ciała, choroba zapalna jelit, celiakia, enteropatia z zanikiem kosmków jelitowych niezwiązana z celiakią, nawracająca salmonelloza, giardioza lub kryptosporydioza, zakażenie HBV lub HCV, brak odpowiedzi na szczepionkę przeciwko WZW typu B, kandydoza jamy ustnej lub przełyku, leukoplakia włochata |
|
Hematologiczne |
Podwyższone OB, limfadenopatia, splenomegalia, niedokrwistość, małopłytkowość, neutropenia, limfopenia, limfocytoza, chłoniak, brak izohemaglutynin |
|
Reumatologiczne |
Zapalenie stawów, choroby tkanki łącznej o wczesnym początku lub występujące rodzinnie, choroba związana z obecnością ANCA, zakażenie po zastosowaniu przeciwreumatycznych leków modyfikujących przebieg choroby |
|
Neurologiczne |
Zapalenie opon mózgowych, zapalenie mózgu, toksoplazmoza, chłoniak mózgu, kryptokokowe zapalenie opon mózgowych |
|
Dermatologiczne |
Nawracające ropnie, mięsak Kaposiego, nawracające lub uporczywe brodawki, nawracający lub rozległy półpasiec, łysienie |
|
Onkologiczne |
Chłoniak, narażenie na promieniowanie |
ANCA (antineutrophil cytoplasmic antibody) – przeciwciało przeciwko cytoplazmie neutrofilów
Wystąpienie jatrogennego, wtórnego niedoboru odporności jest często związane z określonymi sytuacjami klinicznymi (np. stosowana ostatnio chemioterapia lub leczenie immunosupresyjne). Do innych, mniej znanych przyczyn wtórnych niedoborów odporności należy hipogammaglobulinemia w przebiegu stosowania leków przeciwpadaczkowych i leków przeciwreumatycznych (np. sulfasalazyny, preparatów złota). W przypadku nowych preparatów biologicznych (np. inhibitorów TNF-α, rytuksymabu) nawet po kilku latach od ich rejestracji ryzyko podatności na zakażenia może nie być w pełni poznane.
Wbrew powszechnie panującej opinii pierwotny niedobór odporności często pojawia się po raz pierwszy w wieku dorosłym. W najnowszych brytyjskich wytycznych dotyczących postępowania w rozstrzeniu oskrzeli zaleca się w każdym przypadku przeprowadzenie diagnostyki w kierunku niedoboru odporności. Taka diagnostyka zalecana jest także w przypadku innych chorób, takich jak sarkoidoza (lub podobne zmiany ziarniniakowe), choroba zapalna jelit, chłoniak, immunologiczna plamica małopłytkowa i neutropenia.
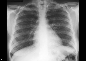
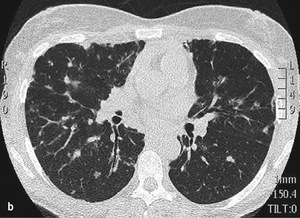
W niektórych przypadkach nie samo zakażenie, ale inne objawy powinny skłonić do przeprowadzenia diagnostyki w kierunku niedoboru odporności. Paradoksalnie procesy autoimmunologiczne nasilają się w stanie niedoboru odporności. Zakażenia występujące u pacjentów ze splenomegalią, cytopenią (neutropenią, limfopenią, małopłytkowością), przewlekłą biegunką, sarkoidozą lub chorobą trzewną wymagają dalszej diagnostyki (ryc.).
Rycina. (a) Zdjęcie RTG klatki piersiowej wykonane u 26-letniej kobiety z powodu suchego kaszlu wykazuje obustronne powiększenie węzłów chłonnych wnęk i okołownękowe miąższowe zmiany guzkowe. (b) Tomografia komputerowa lepiej uwidocznia guzki miąższowe rozmieszczone wokół naczyń limfatycznych oraz cechy zapalenia ziarniniakowego.
Nawracające zapalenie opon mózgowych jest oznaką niedoboru składowych układu dopełniacza, ale nie wszystkie niedobory w jego zakresie manifestują się zakażeniami. U pacjentów z silnie obciążającym wywiadem rodzinnym czy też u osób, u których wcześnie rozwinął się toczeń układowy lub choroby kompleksów immunologicznych, powinno się wykonać badanie całkowitej aktywności hemolitycznej dopełniacza (CH50) w celu wykrycia niedoborów jego składowych. U pacjentów z niedoborem inhibitora C1 (wrodzonym lub nabytym) zakażenia nie są charakterystyczne – występuje u nich nawracający obrzęk naczynioruchowy.
Badania laboratoryjne
Niedobór odporności może być rozpoznany przypadkowo, na podstawie wyników rutynowo wykonywanych badań laboratoryjnych przeprowadzanych z powodu niejasnych objawów klinicznych. Neutropenia i szczególnie limfopenia są często ignorowane, przypisywane innym przyczynom i nie są dalej diagnozowane. Niskie stężenie globulin w surowicy (obliczane ze wzoru: białko całkowite minus albuminy; wartości prawidłowe powinny wynosić >20 g/l) może występować w przypadku hipogammaglobulinemii. Podwyższone stężenie globulin (>40 g/l) może występować w przebiegu zakażenia HIV oraz szpiczaka i powinno skłaniać do dalszej diagnostyki. Upośledzona zdolność do produkcji przeciwciał w odpowiedzi na szczepienie lub zakażenie, a także brak izohemaglutynin (przeciwciał skierowanych przeciwko antygenom grupowym krwi) mogą być wskaźnikami niedoboru przeciwciał.
Przypadek 1
30-letni mężczyzna zgłosił się do lekarza rodzinnego z powodu utrzymujących się od 6 miesięcy jadłowstrętu i uogólnionych dolegliwości bólowych. Badania laboratoryjne nie wykazały nieprawidłowości w zakresie morfologii krwi oraz parametrów czynności wątroby i nerek. Stwierdzono natomiast bardzo podwyższone stężenie białka całkowitego w surowicy (95 g/l), przyspieszone OB (35 mm/h) oraz uzyskano słabo dodatni wynik oznaczenia przeciwciał przeciwjądrowych. Ze względu na podwyższone stężenie globulin oznaczono stężenie immunoglobulin w surowicy, które wykazało hipergammaglobulinemię poliklonalną (IgG 45 g/l [6-16], IgA 10 g/l [0,8-2,8], IgM 6 g/l [0,5-1,9]), mającą potwierdzenie w wyniku elektroforezy. Po zebraniu krótkiego wywiadu wykonano badania, które potwierdziły późne stadium zakażenia HIV ze znacznym spadkiem stężenia limfocytów CD4 (150 komórek/mm3). Jest to przykład rozpoznania ustalonego bardzo późno.
Podstawowe badania w kierunku niedoboru odporności
Decyzja o tym, jakie badanie należy wykonać, zależy od najbardziej prawdopodobnej przyczyny niedoboru odporności, podejrzewanej na podstawie objawów klinicznych i częstości występowania. Na przykład meningokokowe zapalenie opon mózgowych jest typową manifestacją niedoboru składowych dopełniacza, ale bardziej prawdopodobne jest rozpoznanie jednego z niedoborów przeciwciał ze względu na ich częstsze występowanie. Na szczęście większość powszechnych niedoborów odporności można wykryć za pomocą prostych i ogólnodostępnych badań. Jako badania pierwszego rzutu należy wykonać morfologię krwi obwodowej, ocenę stężenia immunoglobulin i składowych C3/C4 dopełniacza oraz test w kierunku HIV. Ta wstępna diagnostyka zwykle ukierunkowuje sposób dalszego postępowania, a czasami już tylko na jej podstawie można ustalić właściwe rozpoznanie (tab. 2a).


