IV edycja Kongresu HPV już 12-13 czerwca! Poznaj najnowsze trendy w profilaktyce, diagnostyce i leczeniu raka szyjki macicy i innych schorzeń związanych z HPV | Sprawdź >
Program edukacyjny
Próchnica wtórna – wybrane aspekty
Dr hab. n. med. Izabela Strużycka1
Dr hab. n. med. Marta Wróblewska2
Lek. dent. Artur Wierciński1
Obecność ubytku tkanek, konsystencja lub twardość oraz kolor zębiny i szkliwa są uważane za najlepsze kliniczne parametry do oceny aktywności i rozległości zarówno próchnicy pierwotnej, jak i wtórnej
Próchnica wtórna nie została dotychczas jednoznacznie zdefiniowana klinicznie i histopatologicznie. Nie ma też zgodności w literaturze odnośnie do jej patogenezy, a jej wykrycie stanowi ciągle ogromny problem dla lekarzy klinicystów, powodując często niepotrzebne usuwanie wypełnień i leczenie określane w piśmiennictwie jako over treatment, szczególnie wtedy, gdy diagnoza opiera się jedynie na podstawie obecności nieprawidłowości brzegu wypełnienia lub przebarwień. Badania epidemiologiczne prowadzone od wielu lat dowodzą, że diagnoza kliniczna próchnicy wtórnej bywa najczęstszą przyczyną wymiany wypełnień w ogólnej praktyce stomatologicznej.[1-3] Ponad połowa wszystkich zabiegów stomatologicznych przeprowadzanych u pacjentów polega na wymianie bezpośrednio lub pośrednio wykonanych uzupełnień, nie wyłączając np. wypełnień szkło-jonomerowych czy uzupełnień typu inlay/onlay oraz koron protetycznych (ryc. 1).[4,5] Z danych tych wynika również, że z powodu próchnicy wtórnej, niezależnie od zastosowanego materiału, wymianie podlega aż 60 proc. wypełnień zakładanych u dorosłych pacjentów i 70 proc. u dzieci. Szacuje się, że każda wymiana wypełnienia zwiększa średnio zarys ubytku i tym samym wielkość kolejnego wypełnienia przy obecności próchnicy wtórnej o 0,52 mm, a przy jej braku o 0,25 mm. Powoduje to wzrost rozległości wypełnienia od 0,50 mm do 1,04 mm, a po kilku jego wymianach znaczne osłabienie tkanek doprowadzające w konsekwencji do usunięcia zęba. Próchnica wtórna diagnozowana jest najczęściej przy wypełnieniach od II-V klasy ubytków, zlokalizowanych w okolicy przydziąsłowej.[6] Jak wynika z obserwacji w przypadku wypełnień amalgamatowych, 94 proc. wszystkich wykrywanych zmian próchnicowych zlokalizowanych bywa przydziąsłowo, a tylko 6 proc. dotyczy powierzchni żującej wypełnień. Podobne obserwacje dotyczą wypełnień kompozytowych na bazie żywic. Innymi powodami wymiany wszystkich wypełnień bywają niedoskonałe właściwości materiału, jego niska jakość, odłamanie tkanek zęba, powikłania ze strony miazgi, błędy popełniane podczas opracowania i odbudowy ubytku próchnicowego oraz nieestetyczny wygląd wypełnienia.
Co mówią badania
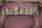
Ryc. 2. Pacjent z niedostateczną higieną jamy ustnej oraz aktywną próchnicą wtórną wokół widocznych wypełnień. Konieczne leczenie.
Badania naukowe dowodzą, że w etiologii próchnicy wtórnej odgrywają rolę podobne czynniki jak w przypadku próchnicy pierwotnej.[7,8] Częste spożycie węglowodanów oraz niedostateczna higiena jamy ustnej powodują powstanie zmiany próchnicowej pod pokrywającym powierzchnię zęba biofilmem bakteryjnym (ryc. 2). Drobnoustroje stanowiące składnik biofilmu bakteryjnego, odpowiedzialne za powstanie próchnicy pierwotnej, bywają również przyczyną rozwoju próchnicy wtórnej. Wiadomo, że większość bakteryjnej flory jamy ustnej jest niepatogenna, jednakże zasiedlając szczeliny pomiędzy wypełnieniem a ścianą zęba, bakterie mogą spowodować próchnicę wtórną lub mieć toksyczny wpływ na miazgę.[9] Jak wynika z danych literaturowych, czołową rolę w tym procesie odgrywają bakterie z gatunku Streptococcus mutans, inne paciorkowce zaliczane do grupy tzw. non-mutans streptococci, Actinomyces i Lactobacillus. Spośród tych drobnoustrojów za inicjowanie procesu próchnicowego odpowiedzialny jest gatunek Streptococcus mutans, natomiast pozostałe drobnoustroje biorą udział w procesie pogłębiania się i progresji ubytku.
Rolę drobnoustrojów próchnicotwórczych potwierdzają badania E. Kidd i wsp., które wykazały, że flora bakteryjna wyizolowana z ubytków próchnicowych nie różni się od tej wykrywanej w próchnicy występującej wokół wypełnień.[7,10] Gonzales-Cabezas w badaniach z zastosowaniem mikroskopu konfokalnego oraz technik immunofluorescencji stwierdził obecność Streptococcus mutans, Actinomyces naeslundii i Lactobacillus w zaawansowanych przypadkach próchnicy wokół wypełnień amalgamatowych. Mejare i wsp.[12] wykryli obecność Actinomyces spp. i Streptococcus pod wypełnieniami kompozytowymi, co potwierdza rolę tych drobnoustrojów w rozwoju próchnicy wtórnej. Obserwacje naukowe wykazują ponadto, że bakterie próchnicotwórcze zdolne są do przeżycia pod wypełnieniami nawet do kilku miesięcy.[11]
Dalsze badania mikrobiologiczne połączeń szkliwno-zębinowych związanych z ubytkiem wypełnionym amalgamatem, przeprowadzone przez Kidd i wsp.[13] wykazały obecność większej liczby bakterii Streptococcus mutans i Lactobacillus spp. w ubytkach z aktywną próchnicą wtórną niż w ubytkach z próchnicą nieaktywną lub zatrzymaną. Zauważono również, że szerokie rowki lub szczeliny przy wypełnieniach (> 0,4 mm) zawierają więcej bakterii Streptococcus mutans, Lactobacillus niż obrzeża z węższymi szczelinami. W konkluzji autorów znalazła się sugestia, że szerokie szczeliny w sąsiedztwie wypełnienia wskazują na konieczność jego wymiany. Natomiast węższe szczeliny nie powinny być uważane za powód do wymiany uzupełnień. Ponadto sugerowano, że obserwowane zmiany koloru w samym szkliwie nie zawsze mogą odzwierciedlać stopień infekcji zębiny, aktywność procesu próchnicowego przy wypełnieniach, więc nie powinny skutkować wymianą wypełnienia.[14]
Ciekawe badania przeprowadził Svanberg i wsp.,[15] wykazując, że próbki płytki pobranej z obrzeża wypełnienia amalgamatowego, kompozytowego oraz szkło-jonomerowego różnią się pod względem składu bakterii. Zaobserwowali również, że niska liczba Streptococcus mutans w ślinie nie wyklucza wysokiego stężenia tych mikroorganizmów w biofilmie na krawędzi poszczególnych wypełnień.[16] Zjawisko to jest przedmiotem dalszych badań nad występowaniem biofilmu na wypełnieniach różnego typu.
W cytowanych badaniach klinicznych i mikrobiologicznych dotyczących styku zęba z wypełnieniem próbki bakteriologiczne były pobierane z obrzeża wypełnienia oraz z połączenia szkliwno-zębinowego po tym, jak wypełnienie zostało usunięte. Badane obrzeża były klasyfikowane na przebarwione lub wolne od przebarwień, a także na szczelne oraz mające wąskie lub szersze bruzdy. Grupę kontrolną stanowiły próbki z miejsc z aktywną próchnicą wtórną. Uzyskane wyniki stanowią ważną dla lekarzy praktyków informację. Żadne z klinicznych kryteriów uwzględnionych w badaniach nie pozwalało przewidzieć obecności aktywnej próchnicy wtórnej pod wypełnieniem. Tylko rzeczywista próchnica – otwarty ubytek z odsłoniętą zębiną – na krawędzi wypełnienia została uznana za realny wskaźnik wtórnej próchnicy wymagającej usunięcia wypełnienia lub jego naprawy (ryc. 3).[14,15]
Jak zdefiniować próchnicę wtórną?
Definicja próchnicy wtórnej (caries secundaria, secondary caries, recurrent caries) mimo znacznej częstości jej występowania nie jest dobrze sprecyzowana. Próchnica wtórna manifestuje się klinicznie jako plama próchnicowa, przebarwienie tkanek wokół wypełnienia, przebarwienie brzegów wypełnienia, szczelina brzeżna, ubytek z odsłoniętą zębiną próchnicową oraz w skrajnych przypadkach jako utrata części lub całego wypełnienia. Najczęściej określa się ją jako próchnicę w postaci ostrej lub przewlekłej przy brzegach istniejących wypełnień. Rozróżniamy również próchnicę wtórną aktywną i zatrzymaną.[17]
Ryc. 4. Wypełnienie na powierzchni żującej zęba 26. Ze względu na aktywną próchnicę widoczną na powierzchni mezjalnej konieczne jest całkowite lub częściowe usunięcie wypełnienia.
Pierwsze badanie histopatologiczne próchnicy wtórnej zostało przeprowadzone in vivo na zębie z wypełnieniem amalgamatowym. Badanie mikroskopem polaryzacyjnym uwidoczniło, że zmiana próchnicowa wokół wypełnienia jest „dwupiętrowa” i składa się z dwóch łączących się na granicy wypełnienia obszarów: próchnicy wtórnej zewnętrznej (ang. outer lesion) i próchnicy wtórnej wewnętrznej, przyściennej (ang. wall lesion).[18,19]
- Próchnica wtórna zewnętrzna powstaje w szkliwie sąsiadującym z wypełnieniem, podobnie jak próchnica pierwotna, głównie w wyniku retencji biofilmu bakteryjnego wokół wypełnienia i działania próchnicotwórczych drobnoustrojów. Próchnica wtórna zewnętrzna jest próchnicą pierwotną występującą przy wypełnieniu i ma cechy próchnicy pierwotnej, tj. pierwsza kliniczna oznaka może przybrać postać białej plamki zaburzającej przezierność szkliwa. Matowy biały kolor wczesnej próchnicy wtórnej dobrze kontrastuje z połyskliwym nienaruszonym szkliwem, może jednak być zmieniony przez kolor lub składowe istniejącego materiału wypełniającego, np. przez składowe lub produkty rozpadu wypełnienia amalgamatowego. Wczesna próchnica wtórna zewnętrzna będzie się rozwijać zgodnie z charakterystycznymi stopniami histologicznymi. Stopnie są rozpoznawane w oparciu o rozmiar porów pojawiających się w szkliwie w wyniku demineralizacji. W miarę jak ubytek się powiększa, warstwy powierzchniowe załamują się i pojawia się ubytek przylegający do wypełnienia ryc. 4.[6]
- Koncepcje dotyczące patomechanizmu próchnicy wtórnej wewnętrznej są różne. Problem ten nie jest do końca wyjaśniony. Według jednych autorów zasadniczą rolę odgrywa w jej powstaniu mikroprzeciek bakteryjny.[19,20] Zmiana wewnętrzna rozwija się wzdłuż ścian ubytku z powodu obecności szczeliny między wypełnieniem i tkankami zęba. Autorzy badań podkreślają jednak, że sam mikroprzeciek bez biofilmu bakteryjnego nie przyczyni się do powstania próchnicy wtórnej.[10,21] W innej koncepcji uważa się, że powstanie próchnicy wewnętrznej nie zależy od obecności mikroprzecieku,[1] jest kontynuacją próchnicy wtórnej zewnętrznej, gdzie proces przebiega zgodnie z układem pryzmatów szkliwa. Badania udowodniły ponadto, że próchnica wtórna wewnętrzna nie rozwija się in vivo bez obecności próchnicy wtórnej zewnętrznej.




